Часто пациенты задают вопрос: «Почему не назначают рентген при бронхите, все сразу стало бы ясно?» Все дело в том, что при бронхите этот метод не эффективен. Бронхит на рентгеновском снимке не виден.
Рентген – это вспомогательный метод исследования органов дыхания. Он позволяет диагностировать или исключить обструкцию или пневмонию, а также туберкулез или онкологию. Это обусловлено тем, что рентгеновские лучи не отображают и не показывают бронхи. По рентгеновскому снимку можно увидеть только косвенные патологии. Поэтому, поставить диагноз «бронхит» по рентгеновскому снимку невозможно. Даже опытный пульмонолог бронхит может предположить методом исключения. Если нет патологий легких, значит симптомы можно отнести к бронхиту.
Это происходит потому что активируется иммунная система при любом воспалительном процессе, и в кровь выбрасываются так называемые медиаторы воспаления. Он способствуют увеличению проницаемости сосудов и миграции иммунных клеток в место патологии. Это провоцирует развитие отека и утолщение стенок бронхов, из-за чего снижается видимость при просвечивании рентгеновскими лучами.
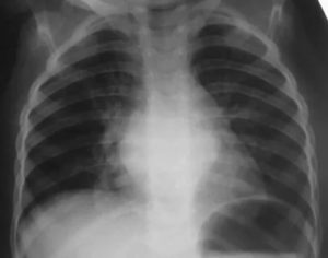
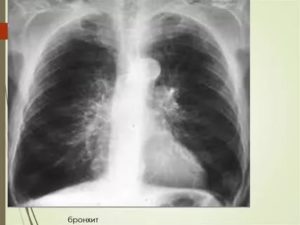
Бронхит на рентгеновском снимке
Рентгеновский снимок по-разному отображает каждый орган, сердце человека вообще выглядит как световое пятно. Здоровые легкие имеют однородный цвет на снимке, если присутствует патология, она будет отображаться пятнами различной интенсивности. На легких очаги темного цвета говорят об отеке и воспалении.
Флюорография не показывает полную картину заболевания, этот метод диагностики применяют в качестве профилактического обследования. По нему можно узнать, в каком состоянии находятся ткани органа, увидеть фиброз и чужеродных агентов. Флюорография менее опасна в плане облучения, но при обнаружении патологии, врач все равно назначает рентген грудной клетки.
Как выглядит бронхит на снимке и как его диагностировать:
- рисунок легких изменен – мелкие сосуды незаметны;
- можно увидеть очаги спадения ткани;
- корень легкого теряет четкий контур и увеличивается;
- стенки бронхов становятся утолщенными;
- становятся заметны очаги инфильтратов;
- контур теряет свою четкость;
- могут быть заметны участки тканей без сосудов;
- в нижней части легких могут локализоваться светлые пузырьки, светлый цвет говорит о их воздушности.
Если профессиональный язык рентгенолога перевести на простой, понятный любому человеку, то по снимку можно выяснить – присутствует ли отек легкого, есть ли рубцовая ткань или деформированы ли бронхи.
Рентген не покажет сам бронхит, он отобразит диффузные изменения в тканях, позволит обнаружить изменение формы и содержимого органов дыхания. Если бронхит запущен, можно заметить признаки эмфиземы.
При бронхите на снимке отмечаются деформация (искривление) бронхов, а также разрастание соединительной ткани. При хроническом бронхите область патологических изменений больше, поэтому его лучше видно на снимке. Заметны прикорневые просветы легких, которые сверху оттеняются узкими полосками, в целом рисунок напоминает рельсы.
Бронхит – это тяжелое воспалительное заболевание бронхов. Установлено, что мужчины чаще подвергаются этой болезни, чем женщины. В группе риска находятся люди пожилого возраста, курильщики и профессии, связанные с засорением органов дыхания.
Обструктивный бронхит на снимке
Рентген грудной клетки позволяет обнаружить обструкцию. Это опасный симптом, который характеризует процесс закупорки дыхательных путей и нарушение вентиляции легких. При обструктивном бронхите картина снимка несколько меняется, все перечисленные признаки дополняются следующими характеристиками:
- заметно утолщение и смещение диафрагмы;
- сердце располагается вертикально, сто плохо влияет на главный орган;
- ткани легких становятся прозрачными и воздух не заметен;
- заметно ухудшение кровоснабжения, что и вызывает застой в легких;
- рисунок легких становится очаговым, в нижней доли заметно искривление;
- бронхи сильно уплотнены, структура нарушена;
- контуры сильно размыты, рисунок бронхиального дерева ярко выражен.
При сложной диагностике или подозрении на туберкулез, назначают рентген в нескольких плоскостях или МРТ грудной клетки. Кроме того, рентгеновский снимок может показать ряд косвенных симптомов, которые позволят поставить более точный диагноз.
Важно понимать, как должно выглядеть сердце человека на снимке при бронхите. Это позволит выявить легочную гипертонию. При бронхите размер сердца уменьшается из-за нарушения кровообращения в малом круге, а при других патологиях этого не происходит.
Показания к рентгену грудной клетки
Если бронхит простой, не осложнен обструкцией, на снимке его видно не будет. Поэтому, для направления на рентген должны быть определенные показатели:
- высокая температура, сопровождающаяся лихорадкой и одышкой;
- лабораторные исследования показали изменение состава крови;
- предварительно уже было проведено лечение, но оказалось не эффективным;
- лечение проведено, но необходимо закрепить результат и проверить, не осталось ли скрытых воспалительных процессов.
Как таковых противопоказаний рентген не имеет. Единичные случаи, когда человек находится в тяжелом состоянии. Если необходимость в рентгене остается, после стабилизации состояния больного процедуру проводят.
Во время беременности, чтобы не облучать плод, не назначают рентген. Но если угроза здоровью матери существенная, исследование проводят, закрыв специальным экраном живот.
Многих интересует, сколько безопасных сеансов облучения можно проводить ежегодно. Это зависит от показаний и рекомендаций врача. В норме облучение для человека составляет 100 рентген в год.
Рентген с применением контрастного вещества
Если возникают сложности в диагностике заболевания, проводят бронхографию. Эта процедура проводится крайне редко, под местным наркозом.
Больному в бронхи вводится контрастное вещество в теплом виде и с помощью рентгена врач может рассмотреть, что происходит в дыхательных путях, какой тяжести патология, где локализуется и какие изменения произошли.
Бронхография на сегодняшний день дает самое точное представление о патологиях в органах дыхания. Кроме этого проводится бронхоскопия, которая тоже позволяет изучить бронхи изнутри. Но все эти мероприятия мало приятны, поэтому их назначают только в крайних случаях.
Если с помощью рентгенографических исследований был диагностирован бронхит, врач назначает лечение, которое обычно имеет положительный прогноз. Главное – это своевременно обратиться в клинику.
Источник: https://zdorovie-legkie.ru/bronhit-na-rentgenovskom-snimke/
При заболеваниях органов дыхания, сопровождающихся приступами кашля и повышенной температурой, что может быть признаками бронхита, врач, наряду с другими анализами, назначает рентгенологическое исследование.
Зачастую рентген при бронхите используется при диагностике как дополнение к другим методам.
Врач в первую очередь учитывает результаты лабораторных исследований крови и мокроты, наличие шумов в легких, смотрит на общее состояние пациента.
Рентген необходим для исключения других заболеваний дыхательных путей. Это обследование ускоряет процесс постановки верного диагноза, а значит, способствует успешному лечению.
Бронхитом называется процесс воспаления, поражающий слизистые оболочки бронхиального дерева. Воспаление провоцирует отек и уплотнение тканей и, как следствие, сужение бронхиальных просветов.
Часто этот недуг появляется на фоне перенесенных пациентом простудных заболеваний, также может быть следствием воздействия на дыхательную систему токсичных веществ.
Различают три формы течения заболевания:
- Острая. Резкое ухудшение состояния при респираторном заболевании. Сначала появляется сухой, лающий кашель, через несколько дней появляется трудно отходящая мокрота. Температура тела повышается до 39 градусов.
- Хроническая. Стертые симптомы, не проходящие длительное время — более трех недель. Влажный кашель с мокротой, температура тела колеблется в диапазоне 37-37,5 градусов.
- Обструктивная. Отличается приступами изнуряющего кашля, закупоркой бронхов, приводящей к удушью, и тяжелым течением болезни. При дыхании появляется характерный свистящий звук.
Диагноз ставится на основании жалоб пациента и результатов клинического обследования. Главный симптом заболевания — это кашель, сухой вначале, а затем, с развитием недуга, переходящий во влажный, с отхождением мокроты.
Кроме того, появляются такие симптомы, как повышение температуры, затруднение дыхания, слабость.
Врач для постановки диагноза:
- выясняет, когда появились первые симптомы, в какой форме они проявляются;
- прослушивает грудную клетку пациента при помощи стетоскопа;
- проводит анализы крови, мочи, мокроты, определяющие, какая инфекция стала причиной заболевания — вирусная или бактериальная;
- назначает рентгенографическое исследование: при бронхите на снимке легких будет виден четкий прикорневой рисунок бронхов и усиленный контраст крупных бронхов.
Бытует мнение, что рентгеновское исследование опаснее для здоровья, чем флюорография. На самом деле доза облучения при флюорографическом обследовании больше. Хотя и в этом случае она не выходит за рамки допустимой для здоровья нормы.
Рентгенография как метод обследования более информативна, так на флюорографическом снимке различаются тени от 5 мм, а на рентгене — от 2 мм.
Таким образом, рентгенограмма лучше поможет в постановке наиболее верного диагноза. Поэтому флюорография при бронхите обычно не назначается, а применяется для профилактических обследований один раз в год.
Флюорография, как и рентгеновское обследование, показывает состояние тканей легких, помогает различить фиброз или наличие чужеродных тел, увидеть признаки патологических изменений.
Эти методы диагностики похожи, но при выявлении признаков некоторых патологий доктор назначит рентген, так как этот метод даст более точный результат, позволит поставить верный диагноз и назначить адекватное лечение.
Бронхит на флюорографии можно заподозрить по таким изменениям:
- усилен рисунок легких — это признак острого воспаления как легких, так и бронхов;
- корни бронхиального дерева деформированы — свидетельство вероятной деструкции тканей и воспаления бронхов;
- тяжистый рисунок корней — обычно наблюдается у многолетних курильщиков, которые находятся в группе риска развития хронического бронхита.
Однако врач не может утверждать, виден ли именно бронхит на флюорографии. Только по флюорографическому снимку нельзя поставить точный диагноз, полной картины заболевания это исследование не дает.
Рентгенография — более информативное и эффективное в плане постановки верного диагноза обследование. Оно покажет детально и точно то, что нельзя определить при флюорографии. На рентгеновском снимке при бронхите можно увидеть:
- очаги инфильтрации небольших размеров, представляющие собой скопление жидкости в легочных тканях;
- увеличение толщины тканей бронхов;
- из-за воспаления мелкие сосуды не видны на снимке, контуры самих легких размываются на изображении;
- очаговые и пластинчатые ателектазы — деформации в виде спадания части легкого;
- корни легких расплываются и увеличиваются.
При запущенной болезни появляются признаки эмфиземы: рисунок легких значительно искажен из-за скопления большого объема воздуха.
Рентгенологическое обследование органов грудной клетки показано в следующих ситуациях:
- при гипертермии с ознобом и затруднением дыхания;
- при отклонениях от нормы показателей анализа крови;
- для уточнения диагноза, чтобы отличить бронхит от пневмонии;
- при признаках обструкции;
- при кашле, не поддающемся терапии длительное время;
- в случае отсутствия терапевтического эффекта от назначенного лечения;
- для контроля действия препаратов.
В этих случаях врач назначает исследование, чтобы на рентгеновском снимке при бронхите увидеть точную картину заболевания и вовремя скорректировать лечение.
Рентгеновский снимок при подозрении на бронхит делается в прямой проекции, при этом человек должен стоять. Такое положение гарантирует наиболее полный обзор легких. Иногда необходим снимок в боковой проекции.
По результатам рентгенографии врач оценивает такие параметры легких:
- наличие очагов затемнения или светлых областей в тех местах, где в норме их быть не должно;
- степень четкости рисунка легких;
- наличие или отсутствие признаков увеличения объема воздуха в легких;
- состояние корней легких.
Если рентген-снимок показывает очаги затемнения или светлые области, не характерные для бронхита, то назначаются дополнительные обследования.
Рентгенологические признаки наличия бронхита у пациента проявляются в виде спадения тканей легких, эти участки на снимках видны в форме пластинчатых образований.
При этом рисунок бронхов видоизменяется. В здоровом состоянии рисунок слабо выражен, а при воспалении выраженность его увеличивается, рисунок становится резким. Ярко выраженный, увеличенный рисунок корня легкого подтверждает диагноз «бронхит».
Рентгенография позволяет врачу определить присутствие отека, рубцовой ткани, наличие деформаций органов. Бронхит на снимке диагностируется при наличии таких патологий:
- искривление бронхов;
- увеличение толщины ткани;
- наличие повышенного объема воздуха в легких, что указывает на сужение просветов в бронхах.
Рентген покажет признаки бронхита, поможет дифференцировать его от других легочных заболеваний, скорректировать терапевтические мероприятия.
При затяжном течении бронхита из-за хронического воспаления утолщаются ткани бронхиального дерева и подвергаются склерозированию, особенно ярко это проявляется на корне легкого.
Признаки заболевания дополняются более опасными проявлениями. Обструктивный бронхит на рентгене выявляют по:
- увеличенной прозрачности и воздушности легких;
- признакам застоя крови в легочных тканях;
- смещению диафрагмы под действием воспаления;
- размытости структуры и расширению корня легкого.
Заболевание бронхитом влияет и на состояние сердца пациента — оно сжимается вследствие сбоя кровообращения в малом круге, чего не случается при иных заболеваниях.
Это отображается на рентгеновском снимке и является еще одним признаком, по которому можно подтвердить, что у пациента бронхит.
При хронической форме площадь поражения тканей значительно больше, чем при острой форме, поэтому на рентгеновском снимке проявления более заметны:
- прикорневые просветы легких оттенены узкими полосами сверху, рисунок которых напоминает трамвайные рельсы;
- при фиброзе тканей рисунок легких приобретает сетчатую структуру;
- повышается прозрачность фона легких — объем воздуха в альвеолах возрастает, а воздушная среда прозрачна для рентгена.
При остром бронхите рентгеновское исследование недостаточно информативно, так как изменения бронхов на данном этапе заболевания не столь существенны и не видны на снимках.
При затяжном течении болезни, признаках осложнений и нарастании дыхательной недостаточности рентген поможет выявить локализацию очага.
Понятно беспокойство родителей при назначении рентгенографии детям. Вредное воздействие лучей кажется более опасным для организма маленького ребенка, чем для взрослого.
На самом деле это не так. Доза облучения при рентгенологическом обследовании совершенно безопасна как для детей, так и для взрослых.
Родитель присутствует при процедуре, которая не занимает много времени, и помогает ребенку сохранять неподвижность, что необходимо для качественного снимка.
На сегодняшний день рентген остается самым эффективным методом дифференциальной диагностики.
При бронхите на рентгеновском снимке четко видно наличие изменений, вызванных воспалением, их локализация.
Поэтому лечение, скорректированное по результатам диагностики, обычно дает положительные результаты в кратчайшие сроки.
Источник: https://respiratornie-bolezni.com/bronhit/provedenie-rentgena-pri-diagnostike-bronhita.html
Вирусные простудные заболевания очень часто сопровождаются появлением незначительного кашля, который с каждым днём принимает всё более серьёзные масштабы. Несвоевременное обращение к врачу может спровоцировать развитие серьёзных осложнений в различных органах дыхательной системы. Одним из них является бронхит.
Это заболевание, которое сложно точно диагностировать, опираясь только на данные внешнего осмотра. В сомнительных случаях лечащий врач может назначить рентген грудной клетки. Бронхит на стандартном рентгеновском снимке проявляется перечнем определённых признаков, которые позволяют сделать заключение о начавшейся болезни.
Рентген дает возможность определить вид бронхита по присущим ему симптомам и признакам. Опытный специалист по рисунку бронхиальной ткани, толщине стенок и контурам, наличию инфильтратов и другим параметрам «прочитает» рентгенограмму и назначит соответствующее лечение.
Рентгенологическое исследование при бронхите – это вспомогательный метод диагностики. С его помощью можно выявить или исключить обструкцию, очаговую пневмонию, а также диагностировать серьёзные болезни, такие как туберкулёз или рак лёгких, которые очень часто скрываются за симптомами воспаления бронхов.
Рентген-излучение не отображает ткань и состояние этих разветвлений дыхательного горла. Оно позволяет зафиксировать только некоторые отклонения от нормы. Подтвердить заболевание бронхитом в таких случаях доктор может только путём исключения видимых патологий легких.
Если их нет, значит, это – симптомы и проявления бронхита.
На рентгеновском снимке изображение здоровых тканей лёгких имеет однородный светлый оттенок. Наличие патологических процессов, выражающихся в нетипичных тенях, может говорить о начинающемся отёке лёгких и серьёзном воспалении.
Флюорография при бронхите не является эффективной, так как её результаты не могут показать полную картину болезни. По ней можно только определить состояние тканей, которые поражены фиброзом или чужеродными агентами.
Если рассматривать с точки зрения безопасности для организма, то флюорографическое исследование является более приоритетным, чем рентген.
Однако недостаточность информативности о течении заболевания делает её бесполезной на фоне рентгена грудной клетки.
Бронхит – это воспалительный процесс в органах дыхательной системы, который поражает долевые, сегментарные, междольковые, дольковые и внутридольковые бронхи, бронхиолы. Он может наблюдаться как самостоятельный процесс или как осложнение на фоне перенесённых вирусных или инфекционных простудных заболеваний.
Бронхит характеризуется воспалением слизистых тканей дерева бронхов. При этом начавшемуся воспалительному процессу могут сопутствовать отёчность тканей, их уплотнение, и всё это в сумме приводит к сужению дыхательного просвета.
Течение заболевания бронхов может выступать в разных формах:
- острое воспаление – имеет явные признаки резко начавшегося заболевания, общая продолжительность не превышает 14 дней. Недуг проявляется сухим раздражающим кашлем. Спустя пару дней появляется сложно отхаркиваемая мокрота. Наблюдается повышение температуры тела больного до 39 градусов;
- хроническое воспаление – слабовыраженная симптоматика проявляется на протяжении длительного периода, который может продолжаться три недели и более. Появление влажного кашля с мокротой характерно для утреннего времени суток (сразу после пробуждения). Температура тела сохраняется в пределах субфебрильной – не выше 37,5 градусов;
- обструктивное воспаление – тяжелое течение заболевания осложняется сильными приступами кашля и нехватки кислорода (удушьем). Наличие обструкции можно определить по свистящему дыханию и изменению дыхательных движений. Дополнительно привлекаются к участию мышцы шеи и брюшного пресса.
Составление диагностической картины заболевания бронхов включает несколько мероприятий.
- Опрос или сбор анамнеза заболевания. Необходимо упомянуть об образе жизни, месте работы, сопутствующих заболеваниях и окружении.
- Аускультация дыхания с применением стетоскопа. Позволяет выявить посторонние шумы, наличие которых может характеризовать то или иное заболевание.
- Перкуссия органов дыхательной системы. Определяет наличие мокроты в бронхиальном теле и служит для определения тяжести воспаления.
- Комплекс лабораторных исследований биологических материалов (кровь, моча, мокрота). Позволяет выявить возбудителя для определения активных в его отношении препаратов и назначения курса лечения.
В случаях длительного течения воспалительного процесса, сопровождающегося ухудшением общего состояния и лихорадкой, а также при неудовлетворительных результатах лабораторных исследований и недостаточной эффективности назначенного ранее лечения, для исключения серьёзных патологий лечащим врачом может быть назначен рентген бронхов и лёгких. При бронхите делать флюорографию нецелесообразно в связи с тем, что её результаты не имеют диагностической ценности.
В качестве причин, которые могут спровоцировать воспаление бронхов, могут выступать:
- развитие осложнений перенесённых острых респираторных заболеваний или острых респираторных вирусных инфекций;
- попадание в организм различных инфекционных агентов в форме грибов, хламидий, микоплазмы и прочих. Распространена ситуация, когда после гнойной ангины бактерии и токсины скапливаются в бронхах (особенно во время сна, при подавлении кашлевого эффекта) и, размножаясь на оболочке органов дыхания, поражают их;
- чрезмерное пристрастие к вредным привычкам (курению);
- работа на производстве, сопровождающемся выбросом вредных загрязняющих частиц;
- одна из форм проявления аллергии.
Правильная постановка диагноза и выявление причин заболевания позволяют в короткие сроки и с наименьшими последствиями вылечить начавшееся недомогание и предупредить трансформацию острого бронхита в хронический.
К числу запретов на проведение рентгенографии лёгких относятся детский возраст пациентов (до 15 лет в соответствии с законодательством страны), тяжёлое состояние, когда доза полученного рентген-облучения может спровоцировать развитие серьёзных патологических процессов или стать причиной снижения иммунной защиты организма. Рентген при бронхите во время беременности также нежелателен. Он способен вызвать нарушение нормального развития плода и стать причиной появления патологий, вплоть до смерти плода. Риск осложнений необходимо соотносить с реальными угрозами для жизни матери.
Заболевание бронхитом часто характерно осложнениями у детей первых трёх лет жизни. У грудничков до года при развитии бронхита может присутствовать одышка в умеренной форме. При простукивании проявляется коробочный лёгочный звук. Прослушиваются сухие и влажные диффузные хрипы. Возможно появление свиста при выдохе.
Острый (простой) бронхит на снимке, полученном в результате флюорографии у детей, представляется изменениями в виде усиления схемы легочной текстуры, при этом значительно расширены корни бронхиального дерева. Возможно увеличение воздушности тканей лёгких. Очаговые изменения в органах дыхания отсутствуют.
Если при бронхите рентген лёгких у детей не выявил никаких изменений, это не является доказательным признаком отсутствия серьёзных заболеваний.
Бронхит в детском возрасте проявляется усилением лёгочного рисунка в прикорневой области лёгких. Могут быть зафиксированы обструктивные нарушения умеренного характера.
Расшифровка результатов рентгена у детей также должна быть дифференцирована с пневмонией, наличием инородного тела в бронхах, бронхиальной астмой и другими заболеваниями.
Если бронхит выявлен на снимке ФЛГ или рентгена легких, подтверждён лабораторными исследованиями, доктор незамедлительно назначает эффективный курс лечения медикаментозными препаратами.
Препараты назначаются, исходя из основных причин возникновения заболевания.
Бактериальный бронхит лечат путём назначения антибактериальных средств. Это препараты: Азитромицин, Цефтриаксон, Аугментин. При вирусном течении используются противовирусные лекарства: Гриппферон, Кипферон, Арбидол. При высокой температуре тела назначаются жаропонижающие средства: Нурофен, Панадол, Парацетамол.
Важно понимать, что ингаляции разрешены только при отсутствии повышенной температуры тела.
Укрепление иммунной системы выступает основным способом противостояния различным факторам, которые могут спровоцировать начало заболевания. Тренировка местного иммунитета должна включать следующие действия:
- ведение активного образа жизни с умеренными физическими нагрузками в соответствии с возрастом;
- частые пешие прогулки на свежем воздухе, желательно в лесопарковой зоне;
- употребление в пищу только качественных продуктов с большим содержанием витаминов и минералов;
- соблюдение в жилом помещении норм состояния воздуха – он должен быть свежим, прохладным и умеренной влажности;
- в период заболевания простудой необходимы своевременное лечение и строгое соблюдение рекомендаций по приёму лекарственных препаратов.
К числу мер профилактики заболеваний дыхательной системы относится регулярная скрининговая флюорография органов грудной клетки. Ежегодная рентгенография не наносит существенного вреда организму, но помогает на ранних стадиях выявить такие болезни, как бронхиальная астма, туберкулёз, онкологические процессы.
В случаях невозможности применения медикаментозных средств для лечения воспаления бронхов рекомендована эффективная альтернатива – рецепты народной медицины.
Суть методов заключается в оказании местного прогревающего эффекта, который способствует расширению бронхов и отхождению мокроты.
Использование наработок домашней медицины допустимо при уверенности в отсутствии аллергической реакции на входящие компоненты.
Чтобы приготовить компресс, отваривают пару картофелин среднего размера «в мундире» до готовности. В миске растолочь картофель до состояния однородной массы.
Компресс можно применять в чистом виде или с добавлением натуральных разогревающих веществ – мёда, горчичного порошка и других. Для пластичности в картофельную массу добавляют чайную ложку растительного или оливкового масла.
Компресс прикладывают со стороны бронхов, покрыв плёнкой и укутав больного в тёплое одеяло.
Сок отваренного в течение 10 минут в цедре лимона отжимают и смешивают с 4 чайными ложками глицерина и натурального мёда. Полученную смесь принимают внутрь по ½ столовой ложки в течение всего дня.
У чистого корнеплода удаляют верхнюю часть и делают углубление, в которое выкладывают натуральный мёд. Необходимо оставить немного места, потому что редька начинает с течением времени выделять сок. Настаивать необходимо около суток. Затем полученную смесь сливают и принимают внутрь трижды в течение дня по 1 столовой ложке. Детям дозировку необходимо снизить до 1 чайной ложки.
Источник: https://iDiagnost.ru/issledovaniya/rentgen/viden-li-bronhit-na-rentgenovskom-snimke
Бронхит на флюорографии не всегда заметен, определить его можно по ряду косвенных признаков. Врачи прибегают к иным, более точным методам исследования, чтобы вовремя диагностировать заболевание и назначить эффективное лечение. Своевременная диагностика заболеваний бронхов и лёгких предотвращает осложнения патологии.
Бронхит представляет собой воспаление слизистой оболочки, выстилающей бронхи изнутри. Типичное заболевание вызывает отёчность слизистой и появление патологического отделяемого, в виде слизи на стенках бронхов. При стенозе затрудняется дыхание, сокращаются объёмы воздуха, поступаемого в лёгкие.
Зачастую бронхит является следствием острой респираторной вирусной инфекции, лечение которой было начато слишком поздно, или терапия не проводилась до конца.
Такое осложнение появляется после ОРВИ не чаще одного раза в год, а при более частых случаях говорят о хроническом обструктивном бронхите.
Иногда болезнь возникает из-за работы на вредном производстве, связанном с повышенной запылённостью помещения.
Признаки бронхита — это в первую очередь затруднённость дыхания, ухудшение общего состояния, повышение температуры тела, спазмы, хрипы в горле.
Бронхит на рентгеновском снимке
Однако, эти признаки дают и другие патологии, например, сердечные. Чтобы диагностировать воспалительный процесс в бронхах, врачи назначают дополнительные обследования, которые позволяют чётко поставить диагноз.
Показанием к прохождению рентгенологического исследования органов грудной клетки считается подозрение врача на патологию, на основании субъективных данных. При наличии у больного признаков отклонения есть смысл сделать рентген. Рекомендован он следующим больным:
- пациентам с повышенной температурой тела и общим недомоганием;
- при затруднённом дыхании, приступах удушья, одышке;
- при подозрении на хронический бронхит курильщика с характерными симптомами;
- если у пациента появился нетипичный свист или хрипы в лёгких или бронхах;
- длительное время сохраняется тяжёлый кашель (сухой, надрывный, или с отделяющейся мокротой);
- выражена дыхательная недостаточность (поверхностное дыхание, уменьшение объёма лёгких и т. д.);
- при необходимости контроля здоровья больного после проведённого лечения.
При наличии этих симптомов, врачи рекомендуют пройти рентгеновское исследование. А также рентген назначается с целью дифференцирования бронхита от воспаления лёгких, что часто бывает затруднено при помощи других методов исследования.
Прибегают к рентгеновской диагностике и в том случае, если появились осложнения, которые другими методами не визуализируются. Например, обструкция, при которой бронхи закупориваются патологическим отделяемым — слизью, что нарушает нормальный газообмен в лёгких.
Рентген лёгких и бронхов показывает осложнения, возникшие на его фоне. При наличии у пациента непосредственно воспалительного процесса в бронхах, на снимке будут заметны следующие особенности:
- снижение структурности корня лёгкого — на снимке его увидеть непросто. Лучше визуализируется правый корень, а вот левый прикрыт тенью от сердца. Сам корень изначально неоднородный, внешне он будет образован сплетением сосудов и бронхов. При бронхите нормальная структурность корня нарушается, поскольку бронхи «смазывают» картину из-за имеющейся патологии;
- расплывчатость и нечёткость контуров корня лёгкого — также последствие воспалённых бронхов, что легко диагностируется на снимке;
- усиление лёгочного рисунка — лёгочный рисунок представляет собой тень от кровеносных сосудов. Усиление лёгочного рисунка провоцирует патологические изменённые бронхи, которые в норме практически не видны;
- утолщение стенок бронхов — наиболее специфический признак, который видно на снимке лёгких. Он является определяющим в совокупности с другими данными исследования при постановке диагноза. Хронический бронхит
Помимо типичных признаков, таких как снижение структурности корня, усиление лёгочного рисунка и утолщение бронхов, возможны другие описания снимка. Например, снимок покажет искривление бронхов по их ходу, что связано с развитием воспалительного процесса, отёчностью.
Бронхит на рентгене характеризуется разрастанием соединительнотканных образований на стенках бронхов, а также с наружной стороны. Типичной может быть и картина осложнений:
- бронхообструкции (наличие закупорки бронхов, которая визуализируется светлыми «горошинками»);
- эмфиземы — прозрачные лёгкие из-за скопившегося в них воздуха, который пропускает рентгеновские лучи.
Дополнительно диагноз устанавливается по аномальному состоянию диафрагмы.
Флюорограф цифровой сканирующий (самый безопасный и современный метод диагностики)
Диагностику органов грудной клетки при помощи рентгеновского исследования или флюорографии проводят часто.
Простым и менее вредным методом исследования считается флюорография, поэтому её рекомендуют делать в целях профилактики, а в некоторых странах это узаконено. В России флюорография с этой целью применяется с тридцатых годов прошлого века.
Сегодня флюорография даёт существенно меньшую нагрузку на пациента. Выполняется исследование как традиционным методом, путём получения снимка лёгких на плёнку, так и цифровым, когда изображение выводится на монитор. Последний, более современный метод, позволил ещё больше снизить вредность дозы облучения. Заметим, что показаниями к флюорографии являются такие основания, как:
- наличие у пациента ВИЧ;
- оформление на службу в армию;
- диагностика окружения, проживающего с беременной женщиной;
- первичное обращение в клинику.
Как видно из показаний к флюорографии, они являются профилактическими и не связаны с определёнными патологиями. Даже туберкулёз и пневмония на флюорографии потребуют дополнительного, более пристального изучения с помощью других методов лучевой диагностики.
Флюорография легких на аппарате Програф-5000
При подозрении на бронхит флюорография оказывается малоинформативной, поэтому пациентам проводят рентгенографию.
Действительно, доза такого исследования будет намного выше, чем при флюорографии, однако и чёткость полученного изображения позволяет поставить точный диагноз.
Показания к проведению исследования — это подозрения на конкретные отклонения, такие как онкологическое поражение органов грудной клетки, воспаление лёгких, туберкулёз и т. д.
Обычно рентгенографии достаточно, чтобы установить диагноз. Бронхит на снимке однозначен и не вызывает сомнений. Однако, при обнаружении сопутствующих патологий может потребоваться дополнительное исследование другими лучевыми методами диагностики:
- магнитно-резонансная томография;
- компьютерная томография;
- бронхография с контрастом. Самый безопасный метод диагностики
Все эти методики имеют определённую диагностическую ценность и позволяют установить правильный диагноз.
Диагностика бронхита лучевыми методами исследования — наиболее точный способ определить наличие патологии, степень её тяжести, возможные осложнения.
Главным исследованием на сегодня является рентгенография, а при необходимости — бронхоскопия с контрастным веществом, которые проводятся в любой современной клинике.
https://youtu.be/3AUznb9wlxc
Источник: https://osnimke.ru/organy-grudnoj-kletki/flyuorografiya-pokazyvaet-bronhit.html
Приветствую всех подписчиков блога Алексея Шевченко «Здоровый образ жизни». Рентген при бронхите, нужна ли эта устаревшая процедура жителю современного мира? Причиной разобрать эту тему стала ситуация, увиденная мной в осеннем парке.
Осень медленно, но верно, шаг за шагом отвоевывает свое место у знойного лета. Воздух, особенно по утрам, становиться прозрачным и холодным.
Вдыхаешь, и тысячи прозрачных иголочек, вонзаются в наши отравленные техническим прогрессом легкие. В осенние дни прогулки в парке становятся особенно завораживающими.
Не хочется думать ни о чем, хочется замереть вместе с готовящейся к долгому зимнему сну природой.
В один из таких дней я стал случайным свидетелем разговора молодой семейной пары, расположившихся на соседней лавке. У их ног, девочка лет пяти беззаботно собирала яркие листики, усыпавшие дорожки парка, гармония прерывались лишь приступами навязчивого кашля. Из разговора родителей стало понятно – малышка, страдает хроническим бронхитом.
Расположившись в осеннем парке, взрослые разгорячено спорили, о том, стоит или нет девочке, проходить в очередной раз процедуру рентгенологического исследования легких.
Действительно, стоит или нет делать рентгенографию при бронхите, если заболевание хроническое, и вообще, насколько безопасна такая процедура, особенно у детей? Давайте разбираться вместе.
Бронхит — первое по значимости и распространенности, воспалительное заболевание нижних дыхательных путей.
Болезнь опасна неконтролируемым развитием весьма тяжелых осложнений, одним из которых является массивный отек легких, представляющий смертельную угрозу в любом возрасте.
Обширные воспалительные изменения бронхов, сопровождаются не только отеком, но и нарушением дренажной функции всего бронхиального древа. Отсюда повышение вязкости секрета и появление трудноотделимой мокроты.
Основной симптом бронхита — мучительный кашель различной интенсивности и характера. (Об основных методах лечения кашля читайте тут).
Отличить острый бронхит от хронического достаточно просто: если симптомы бронхита продолжаются три недели и дольше, можно с уверенностью утверждать, что острая форма плавно перетекла в хроническую стадию.
Появление одышки свидетельствует об обструкции бронхов (утолщение и слипании стенки бронхов вследствие затяжного воспалительного процесса).
Как правило, бронхит заболевание вторичное. Чаще всего воспаление бронхов проявляется как осложнение:
- Вирусных инфекций
- Бактериальных инфекций
- Аллергических реакций
- Бесконтрольного употребления табака (бронхит курильщика)
Бронхит — заболевание с явно выраженным сезонным уклоном. Осень и весна – это пик заболеваемости среди всех возрастных групп. Женщины болеют бронхитом гораздо меньше мужчин, и это уже доказанный факт. Но как понять, болен человек бронхитом, либо другим заболеванием бронхолегочной системы? Для постановки более верного диагноза на сегодня используются следующие виды диагностики:
- Рентгеновский снимок легких
- Бронхоскопия
- Бронхография
- Томография легких
- Флюорография
Несмотря на обилие методов обследования, именно рентгеновская диагностика по-прежнему занимает лидирующие позиции в правильной постановке диагноза. Она наиболее дешевая и информативная, среди современных дорогостоящих диагностических процедур. Остается проверить, действительно ли виден бронхит на рентгене?
Для того чтобы понять, что такое бронхит на рентгенограмме, прежде всего следует понять, какие отличия имеет острая форма бронхита от хронической стадии, затем провести анализ косвенных признаков. (О диагностике бронхита читайте в статье «Как диагностировать бронхит»).
Начнем с того, что даже в нашем современном мире, напичканном различными технологиями, рентгеновская диагностика остается одной из самых востребованных методик обследования пациентов.
Рентгеновская диагностика позволяет выявить наличие воспалительных процессов на разных участках дыхательных путей.
Именно она чаще всего позволяет рано диагностировать наличие патологии, при которой происходит так называемая закупорка (обструкция) бронхиол и альвеол.
И все же рентгенография при бронхите носит второстепенный характер, так как рентгеновские лучи не могут в полной мере отразить всю структуру бронхиального древа, просвечивая его насквозь.
Острый бронхит чаще всего проявляется следующими признаками:
- Влажный кашель
- Одышка
- Повышение температуры до 39° C
- Общее недомогание организма
У обратившегося на прием пациента выявляются влажные хрипы и жесткое дыхание. При опросе пациента, выявляется, наличие вирусной или другой инфекции, продолжительностью около двух недель. В зависимости от защитных сил организма наличие вышеперечисленных симптомов у каждого человека индивидуально.
Хронический бронхит проявляется наличием:
- Постоянного (нудного) смешанного характера кашля
- Общее недомогание организма более двух недель
- Температура не выше 37° C
- Резкие приступы одышки, после разрешения которых, отходит скудная мокрота
В большинстве случаев хронический бронхит, последствие недостаточной терапии острого воспаления бронхов. Правильно установленный диагноз позволяет назначить правильное лечение, и в хороших условиях минимизировать развитие тяжелых осложнений, приводящих к инвалидизации.
Многие задаются вопросом, — зачем делать рентген дыхательных путей, когда можно обойтись обычной флюорографией? А вот рентгенологи так не считают, предпочитая делать именно рентген грудной клетки. Эти два вида диагностики очень похожи, и можно даже сказать, взаимозаменяемы.
Многие из нас до сих пор считают, что флюорография менее безопасна.
Так ли это на самом деле? Да, действительно, доза облучения при ней действительно меньше, но при рентгенографии она также не превышает установленную санитарными врачами норму.
Несомненный плюс рентгеновской диагностики — способность установить большее количество проблем в дыхательных путях. Например: наличие опухоли бронхов.
Обструктивный бронхит наиболее информативен из всех стадий заболевания. При этой форме патологии, на снимке, отчетливо прослеживаются следующие симптомокомплексы:
- Легочная гипертензия
- Повышенная воздушность бронхиол и альвеол
- Увеличение соединительной ткани в бронхиолах
В ходе длительного воздействия инфекции происходит утолщение и воспаление стенок бронхов, которые постепенно замещается соединительной тканью. В здоровом состоянии соединительная ткань присутствует весьма в ограниченном количестве.
На снимке этот процесс наиболее заметен около корней легких и выглядит как небольшой просвет, окруженный узкими неровными тенями.
При остром бронхите, на рентгеновском снимке, прозрачность легких практически не изменена. Совсем другая картина видна на снимке у людей с обструкцией. Основные признаки обструкции на рентгеновском снимке:
- Повышение воздушности и как следствие прозрачности бронхиол и альвеол
- Нарушение кровообращения в малом круге в виде застоя
- Деформация в виде сгущения корней легкого
В отдельных случаях у пациентов с нелеченным хроническим обструктивным бронхитом на рентгеновском снимке зоны пневматизации, настолько выражены, что смело можно говорить о развитии эмфиземы легких.
Если смотреть на снимок, на котором бронхи имеют поперечное сечение, то можно заметить обилие кольцевидных теней с неровными краями.
Изучив все так обстоятельно, понимаем, что процедура рентгеновской диагностики при бронхите не оказывает негативных последствий для организма. Иногда рентгеновскую диагностику можно проводить и беременным, и детям, в этом случае живот просто экранируют.
Острый бронхит не является показанием для проведения рентгеновской диагностики грудной клетки.
При хронической обструктивной форме бронхита показаниями для лучевой диагностики являются:
- Изменение формулы крови
- Лихорадка в течение двух и более недель
- Одышка
- Неэффективность ранее проводимого консервативного лечения.
Бронхит — одно из самых коварных заболеваний дыхательных путей. При неадекватном лечении человек становиться инвалидом. Вот поэтому так важно вовремя обследоваться.
Одной из самых доступных и точных процедур был и остается — рентген грудной клетки.
При соблюдении всех правил, не стоит бояться проходить эту процедуру, так как вред от поздно диагностируемого заболевания может в сотни раз превышать, вред от данной диагностики.
А я желаю Вам доброго здоровья и не болеть. Прошу не обделять статью своим вниманием, активно комментировать, оставлять лайки и делиться ей со своими друзьями.
Источник: https://dolgo-zivi.ru/rentgen-pri-bronhite
Поделиться:




