Пневмония – это острое вирусное и инфекционное заболевание, которое распространяется воздушно-капельным путем. Она может иметь ярко выраженную симптоматику или же протекать без каких-либо признаков.
В процессе распространения патогенных микроорганизмов поражаются верхние и нижние отделы легких. Мокрота располагается внутри альвеол, тем самым приводя к воспалительному процессу. У больного отмечают ухудшение состояния и общее недомогание.
Основной причиной данного заболевания считаются следующие виды патогенных организмов. К ним относят:
Главными возбудителями считаются пневмококковые типы инфекций. Они включают в себя:
- стрептококк;
- пневмококк;
- гемофильная палочка;
- микоплазмы;
- легионнема;
- хламидии.
Для постановки этимологии происхождения проводят тщательное медицинское обследование, которое позволяет правильно определить возбудителя патогенного процесса.
Грибковая пневмония чаще всего связана с грибком рода Кандида. Он распространяется в процессе общения, чиханья и кашля больного. При попадании на слизистые оболочки он ведет пассивный образ жизни до момента снижения иммунной защиты организма.
Что способствует развитию пневмонии? Выделяют ряд факторов, которые провоцируют данное заболевание. К ним относят:
- переохлаждение;
- частые стрессовые ситуации;
- неправильное питание;
- наличие вредных привычек: алкогольная и табачная зависимость;
- наркомания;
- хронический бронхит;
- возраст больного;
- слабый иммунитет.
В медицине выделяют несколько видов пневмонии у взрослых. Каждая из них имеет разную симптоматику и способы проявления. К ним относят:
- первичная. Она возникает в ходе хронических заболеваний легких;
- вторичная. Заболевание возникает в результате присоединения патогенной микрофлоры грибкового или вирусного происхождения;
- аспираторная. Данный вид напрямую связан с вирусными заболеваниями: грипп, ОРВИ, простуда;
- послеоперационная. Этот тип связан с резким снижением иммунной защиты организма. Болезнь быстро прогрессирует и проводит к отёчности легочной ткани;
- посттравматическая. Она имеет некоторое сходство с послеоперационным видом недуга.
По этиологии она делится на две группы:
- типичная. Пневмонию вызывает пневмококковая и вирусная среда;
- атипичная. Возбудителями являются грибковые виды инфекции: хламидии, микоплазма.
Морфологические признаки пневмонии представляют собой:
- очаги;
- крупозные участки.
Выделяют ряд симптомов пневмонии у взрослых. Они включают в себя:
- сухой кашель;
- высокая температура тела;
- общее недомогание;
- слабость мышц.
Некоторые виды патологии не проявляются длительное время. Они не имеют характерной симптоматики. Заболевание протекает медленно.
Пневмония без кашля у взрослого человека проявляется на 14 сутки после начала вирусного заболевания.У больного отмечают слабость и недомогание. У него появляется сильная одышка, которая приводит к кратковременному удушью.
Выявить патологический процесс можно при помощи рентгеновского излучения. На снимках легкие имеют крупозные очаги.
Лечение пневмонии у взрослых должен проводить опытный пульмонолог. Для постановки правильного диагноза необходимо пройти тщательно медицинское обследование. Оно включает в себя:
- анализ крови и мочи;
- рентген легких;
- анализ мокроты.
Основными признаками пневмонии у взрослых считается сильная одышка в процессе движения. Для борьбы с возбудителем назначают курс медицинских препаратов:
- противовирусные средства;
- антибиотики;
- отхаркивающие сиропы;
- теплое питье из травяных настоев;
- антисептическая обработка слизистых.
Антибиотики при пневмонии назначаются курсом до 7 дней. Они оказывают противомикробный эффект и очищают альвеолы в легочной ткани. Помимо этого, больному необходимо делать ингаляции на основе препаратов, отделяющих слизь и мокроту.
Для борьбы с вирусной пневмонией подбирают курс противовирусной терапии. Она поможет блокировать рост и распространение патогенной микрофлоры внутри организма.
Для очищения легких проходят физиопроцедуры. Они способствуют нормализации кровообращения в районе грудной клетки. Для быстрого выведения мокроты проводят массаж спины.
Для того чтобы предотвратить возникновение инфекционного заболевания, рекомендуется сделать прививку от пневмонии взрослым. Данная процедура помогает сократить риск заражения в период эпидемии.
Вакцина содержит в себе пневмококковую и гемофильную палочку, которая чаще всего становится причиной воспаления легких среди взрослых и детей. В осенний и весенний период времени, рекомендуется избегать общественных мест и массового скопления людей.
Также рекомендуем просмотреть: Помогите проекту, раскажите друзьям:
Источник: https://doktoradvice.ru/pnevmoniya-u-vzroslyx/
Пневмония – инфекционная патология в легких, вызванная бактериями, вирусами или (реже) грибами. Существует более 100 типов микробов, которые, как известно, вызывают пневмонию. В статье можно посмотреть фото, как выглядит пневмония на снимке рентгена.
Пневмонию вызывают микробы. Бактерии, наиболее вероятно приводящие к пневмонии, включают:
- Пневмококки.
- Микоплазму.
- Гемофильный грипп.
- Хламидии.
- Легионеллы.
Люди, которые живут или работают в переполненных местах, таких как школы, приюты и тюрьмы, скорее всего, получат микоплазменную пневмонию.
Вирусы, которые вызывают пневмонию:
- Вирус гриппа.
- Вирус парагриппа.
- Метапневмовирус человека.
- Респираторный синцитиальный вирус (RSV).
- Аденовирус.
- Тяжелый острый респираторный синдром (SARS).
- Вирус герпеса.
Грибки, вызывающие пневмонию:
- Histoplasma capsulatum (найденный в долинах реки Огайо и Миссисипи);
- Кокцидиоидомикоз (обнаружен в южной Калифорнии и юго-западных пустынных районах);
- Cryptococcus.
Некоторые бактерии, которые вызывают госпитальную пневмонию, включают:
- грамотрицательные бактерии, такие как Escherichia coli, Klebsiella pneumoniae, Enterobacter species, Pseudomonas aeruginosa и Acinetobacter species;
- Staphylococcus aureus, включая устойчивый к метициллину S. aureus (MRSA);
- стрептококки.
Признаком пневмонии считается кашель, сухой либо с выделением мокроты. Мокрота, отделяемая при кашле, – «ржавая». Кровавая с гноем относится к пневмонии, инициированной палочкой Фридлендера или к той, что спровоцирована стрептококком.
Если у мокроты возникает малоприятный, гнилостный аромат, это свидетельствует о том, что внутри присутствуют воспаленные источники нагноения. Если есть кровохарканье, это говорит о пневмонии, порожденной грибками.
Если оно сопровождается интенсивной болью в боку, это свидетельствует об инфаркте легкого.
Боль в области грудной клетки также оказывается показателем пневмонии, бывает как неглубокой, так и глубокой. Первая возникает в случае воспаления мышц между ребер, подобная боль себя выражает особенно при глубоком вдохе. Вторая – это доказательство поражения либо растяжения оболочки легкого, а также свидетельствует о воспалении. Боль делается сильнее при глубоких вдохах или же кашле.
Если источник воспалительного процесса пребывает в нижних отделах легких и в воспалительный процесс еще втянуты диафрагмальные плевры, то болевые ощущения будут локализоваться в области живота, при этом достаточно остро. Чувство недостатка воздуха, т. е.
Также для пневмонии характерны такие признаки, как озноб, высокая температура вплоть до 40 °С, общее болезненное состояние, сильная слабость, снижение аппетита, рвота, тошнота. У болезненных людей или же у людей престарелого возраста бывают и расстройства сознания.
Флюорографическое исследование – основной метод диагностики пневмонии. Проводится врачом-рентгенологом или рентген-лаборантом с дальнейшей расшифровкой. Алгоритм проведения флюорографии:
- Раздеться по пояс, снять с шеи украшения.
- Исследование проводят в вертикальном положении.
- Проводится снимок в прямой проекции (пациент прижимается грудью к датчику).
- Далее в боковой проекции (больной заводит руку за голову и прижимается к прибору боковой стороной грудной клетки).
- Снимки проводятся при спокойном дыхании и на высоте вдоха, с задержкой дыхания.
После проведения снимков их необходимо проявить. В некоторых кабинетах используется цифровой формат флюорографии. Когда снимки проявлены, врач приступает к их расшифровке.
Флюорографию нужно делать тогда, когда присутствуют симптомы болезни. Если у человека выявлено крупозное или очаговое заболевание, вторичные рентгенограммы назначаются для наблюдения перемен «плохих» теней при излечении.
Специфическое показание – подозрение на островоспалительный процесс легочной ткани или же другую тяжелую болезнь. Чтобы сделать снимок, необходимо учитывать вред и полезность диагностики. Только в случае, если толк от рентгеновского облучения превысит вред, выполняют рентгенографию.
Противопоказания к обследованию не выделены. Единым ограничением считается беременность. Но если у беременных подозревается воспаление легких, рентгеноскопия легких проводится. При этом усилия врачей направлены на то, чтобы максимально обезопасить организм будущей мамы от облучения.
Чтобы диагностировать, нужно посмотреть фото, как выглядит на снимке рентгена пневмония очаговой формы. Также нужно быть ознакомленным с расшифровкой:
- наличие активного инфильтрата негомогенной структуры;
- «подозрительная» тень имеет нечеткое очертание;
- при воспалении плевры прослеживается линейная тяжистость, жидкость в реберно-диафрагмальном синусе на боку патологии;
- на фоне разрешения процесса место инфильтрации делается неоднородным за счет зон разрушения и заживления легких.
Как выглядит пневмония на снимке (рентгеновском), если она крупозного вида:
- субтотальные, тотальные затемнения с одного или же двух краев;
- смещение средостения в сторону предельного поражения;
- изменение физического поражения куполов диафрагмы;
- закупорка реберно-диафрагмальных синусов жидкостью;
- полное деформирование легочного рисунка;
- тяжистость корней легких.
Выявить особенности крупозного воспаления возможно на рентгенограмме. Однако при патологии медицинским стандартом диагностики считается рентгенография в двух проекциях (прямая и боковая). Такого рода список процедур совершают для оценки численности пораженных частей легких и исследования состояния средостения.
Чтобы расшифровать фото, нужно знать, как выглядит снимок легких при пневмонии. Затемнения на снимке встречаются не только лишь отдельные, но и многочисленные (диссеминированные).
Расшифровка рентгеноскопии при воспалительных видоизменениях легочной ткани демонстрирует, что рентгеновский синдром смотрится при болезни типично.
Он имеет медицинское наименование – ограниченное либо распространенное затемнение.
Если присутствует болезнь в легких, то на снимке:
- инфильтративный источник в любой части органа;
- тяжистость корней;
- деформация очертания;
- завуалированность реберно-диафрагмального синуса.
При оценивании необходимо понимать, что фотография выходит плоской. Содержит суммационное отображение абсолютно всех анатомических структур. Картинка выглядит негативно, так как рентгеновская пленка – это фотонегатив. На фоне инфильтративных источников наблюдаются просветления, которые представляют собою воздушные зоны легочной ткани.
Родителей часто интересует, как выглядит пневмония на снимке у ребенка. Флюорография ребенка смотрится по-другому, в отличие от взрослых. По причине реактивности иммунной системы каждое самое небольшое скопление у детей может стремительно вызвать крупозное воспаление. Важно осуществить своевременную диагностику заболевания и обнаружить очаговое воспаление.
Какие признаки воспаления у ребенка:
- Очаговые затемнения в нижней доле легких.
- Инфильтраты не выше 1-2 миллиметров в диаметре.
- Высокая густота пятен обнаруживается при запущенном воспалении.
- Уплотнение и рост лимфатических узлов средостения с трудом наблюдается на фото.
- После пропадания болезненных теней деформирование рисунка сохраняется еще на протяжении 7 суток.
- При плохом процессе мелкоочаговое воспаление легких переходит в псевдолобарное.
- Большая насыщенность места поражения закрывает структуру корня и легочного рисунка.
У ребенка зачастую прослеживается припухлость легочной ткани, что усложняет диагностические критерии.Неадекватность рентгенологической и медицинской картины заболевания можно объяснить также небольшим размером легочной ткани и огромным вхождением элементов легочного рисунка на единицу площади.
Лечением и профилактикой форм пневмонии, при которой болезнь протекает легко (т. е. неосложненная форма заболевания), занимаются широкопрофильные врачи, это терапевты, педиатры или семейные врачи. Мы уже разобрались, как выглядит пневмония на снимке флюорографии. Диагностировав ее, врачи приступают к лечению.
При легкой форме пневмонии пациенты (взрослые) проходят лечение в стационаре. Больному назначается ряд комплексных мер. В них входит прием различных препаратов для расширения бронхов, придется принимать антибиотики и противовирусные препараты, чтобы побороть возбудителей пневмонии.
Физиотерапия, лечебная физкультура, специальная диета (она будет описана ниже), обильное питье также находятся в стационарном курсе лечения. Если легкая форма заболевания ничем не осложнена, возможно лечение на дому под наблюдением и строгим контролем терапевта, который будет посещать больного.
При тяжелой и среднетяжелой форме заболевания пациенту необходима госпитализация в терапевтическое отделение. Если у пациента обнаружен хотя бы один из приведенных ниже случаев, рекомендуется проходить стационарное лечение:
- Пациенту более 60 лет.
- Имеет хронические заболевания.
- Антибиотики не помогают или помогают, но не эффективно.
- Беременность.
Прием антибиотиков рекомендован пациентам только в том случае, если хотя бы один из методов диагностики подтвердил диагноз больного. Важно помнить, что не стоит предаваться самолечению. Если вдруг обнаружили заболевание, стоит незамедлительно обратиться за медицинской помощью. Болезнь дает осложнения, что потом может сильно затруднить процесс выздоровления.
Чтобы не усугубить болезнь, больному важно соблюдать следующие правила:
- Постельный режим.
- Полноценное питание, богатое витаминами.
- Проветривать (в комнате больного всегда должен быть свежий воздух) и поддерживать температуру воздуха в +18 °С.
- При уборке дома, а также комнаты больного следует исключить средства, содержащие в составе хлор.
По рекомендациям врачей, рацион питания больного состоит из следующих продуктов:
- Нежирные мясо и рыба, бульон из курицы, куриное мясо.
- Кисломолочные продукты, а также молоко.
- Свежие овощи и фрукты, сухофрукты.
- Клюквенный морс.
- Соки из фруктов, овощи.
- Крупы, макаронные изделия.
- Чай и отвар из шиповника.
- Свежий мед, варенье.
Внимание! Чтобы выздороветь, больной обязан исключить из рациона питания жирные, жареные, острые, копченые блюда, пациенту категорически запрещается употреблять алкоголь, также запрещены маринады, сладости из магазина, разные консервы, канцерогенные продукты.
Таким образом, становится понятным, как выглядит пневмония на снимке, фото представлено в статье, а также рассмотрены причины и способы лечения патологии.
Источник: https://FB.ru/article/387872/kak-vyiglyadit-pnevmoniya-na-snimke-simptomyi-prichinyi-lechenie-provedenie-flyuorograficheskoy-diagnostiki-razyyasneniya-vracha-s-foto
Рентгенограмма грудной клетки до сих пор остаётся «золотым стандартом» диагностики большинства патологий дыхательной системы.
Пневмония не является исключением, признаки патологии несложно обнаружить на снимке. Рентген важен для постановки точного диагноза, а также играет ключевую роль в дифференциальном исследовании. Важно иметь общее представление как выглядит пневмония у взрослых и детей.
Атипичная пневмония — собирательный термин, включающий инфекционно-воспалительные поражения тканей лёгких. Причинами являются нехарактерные возбудители — микоплазма, хламидия, легионелла, вирусы. Воспаление лёгких протекает с повышением температуры, одышкой, общим недомоганием.
Диагностировать патологический процесс можно при помощи рентгена. Так, для микоплазменной формы характерна неоднородная инфильтрация лёгочной ткани, она может определяться слабо или быть среднеинтенсивной.
При легионеллезной, на снимке видно уплотнения (инфильтраты) округлой формы, локализующиеся на поверхности одной доли лёгкого. В ряде случаев наблюдается слияние инфильтратов. У 25% пациентов одновременно с пневмонией определяется плеврит, с незначительным скоплением секрета в плевральной полости.
Отдельное внимание стоит уделить воспалению неинфекционной этиологии. Одна из таких форм — инфаркт-пневмония, развивающаяся на фоне тромба, попавшего из лёгочной артерии в лёгкое. На рентгеновском изображении выступает как очаговое поражение с относительно чётким контуром.
Другой тип неинфекционного воспаления лёгочной ткани — аспирационный. Причиной выступает содержимое пищеварительного тракта, попавшее в дыхательные пути.
Этот тип патологии характеризуется многообразием симптомов, которые имитируют различные заболевания лёгких. Как правило, на снимке однородный очаг, контуры относительно чёткие.
С целью контроля лечения аспирационной пневмонии рекомендуется проходить повторный рентген.
Признаки воспаления лёгких на снимке называют «затемнениями», отображаются они белым цветом, поскольку само изображение является негативом.
Пятна и рентген-признаки:
- До 3 мм — мелкоочаговые.
- До 7 мм — среднеочаговые.
- До 12 мм — крупноочаговые.
- От 12 мм и более — фокусные.
Пневмония на снимке, в частности затемнения, характеризуются следующим образом:
- Распространённые. Визуализируют в пределах одного сегмента.
- Субтотальные. Затемнение большей части поля органа или нескольких сегментов.
- Тотальные. Патологический процесс охватывает всю область лёгочной ткани. Сильная пневмония слева
Важным этапом постановки диагноза остаётся отличие её от других заболеваний лёгких, коронавируса. Так, при бронхите будет отсутствовать затемнение на снимке, вместо этого — усиление лёгочного рисунка.
Усиление лёгочного рисунка
В случае присутствия инородного тела, наблюдается затемнение с чёткими краями, локализующееся в нижней доле лёгкого. Спутать с воспалением типичного характера сложно.
При плеврите, на снимке скопление экссудата в поражённой области. Плеврит выступает в качестве осложнения недолеченной пневмонии.
При пневмотораксе присутствует характерный уровень жидкости. На снимке отображается как просветление, лёгочный рисунок не просматривается.
Рентгеновский снимок является основным обследованием, а в случае необходимости назначается компьютерная томография.
Пневмония на рентгенограмме у пациентов детского возраста не имеет выраженных отличий от взрослых, патология также характеризуется очагами просветления и затемнения. У детей в воспалительный процесс вовлекаются нижние отделы лёгких.
Рентгенография показывает следующее:
- очаговые затемнения диаметром 1-2 мм;
- увеличение внутригрудных лимфоузлов;
- деформация и усиление лёгочно-сосудистого рисунка;
- повышенная плотность затемнения (запущенная патология);
- в области патологического очага изменяется структура и размер лёгочного корня.
Хоть общая картина детского рентгена не различается от взрослого, некоторая разница имеется. Первое — повышенная реактивность функций иммунной системы.
Поэтому даже незначительный инфильтрат способен спровоцировать воспалительную реакцию на обеих долях лёгкого.
При постановке диагноза ребёнку можно ошибиться, что связано с небольшим объёмом лёгочной ткани и повышенным присутствием лёгочного рисунка.
Можно ли не проводить рентгенографию при воспалении лёгких? Действительно, диагностика при подозрении на пневмонию не является обязательным исследованием. Но отказ от рентгенограммы не даст врачу установить диагноз, а следовательно — назначить адекватное лечение.
Источник: https://osnimke.ru/organy-grudnoj-kletki/pnevmoniya-rentgen.html
Рентгенография – один из основных и обязательных методов исследования, проведение которого необходимо при подозрении на пневмонию. Посредством рентгена подтверждается или исключается диагноз. Только так врач может увидеть полную картину развития заболевания и сделать необходимое заключение.
Повторные проведения рентгенографии позволяют отслеживать динамику патологического процесса, анализировать эффективность лечения, выявлять развитие осложнений. Рентгенодиагностика также проводится после лечения, чтобы оценить состояние легких после болезни.
Рентгенография области грудной клетки является методом передачи изображения легких на специальную пленку. Проецирование изображения осуществляется благодаря просвечиванию структур организма рентгеновскими лучами.
Базируется принцип рентгенографии на способности рентгеновских лучей проходить сквозь ткани человеческого организма.
Этот метод неинвазивный, процедура совершенно безболезненна (пациент ничего не чувствует), но рентгеновские лучи проходят сквозь ткани с разными показателями плотности по-разному.
Проецирование изображения анатомических структур на снимке осуществляется благодаря изменению интенсивности рентгеновского излучения при прохождении сквозь структуры и органы разной плотности.
По этой причине, чтобы получить максимум информации о состоянии органа и оценить развитие пневмонии рентген принято делать в двух проекциях (передней и боковой). В попытках повысить результативность исследования, делают снимок в косой или диагональной проекции. Однако, подобное практикуется редко.
Рентгенография позволяет осуществлять детальное изучение определенных участков легкого, которые по мнению врача, вызывают подозрения. Для этого проводится фокусировка на интересующем участке и получается локализованное изображение очага воспаления.
В зависимости от метода проведения рентгена, выделяют:
- Обзорный – проводится рентген легких целиком.
- Прицельный – снимок определенного участка.
Что касается основных целей проведения рентгенодиагностики у взрослых людей с пневмонией, они следующие:
- Подтверждение диагноза, а также определение вида патологического процесса и масштабов поражения легочной ткани.
- Отслеживание динамики развития болезни с целью определить эффективность проводимого лечения.
- В целях отслеживания или предупреждения развития осложнений.
- Также рентген проводится после выздоровления, чтобы оценить структуру легких, предпринять меры по реабилитации пациента и устранению остаточных явлений после перенесенного заболевания.
Расшифровать данные рентгеновского снимка способен только опытный рентгенолог. Также необходимо знать, что основным рентгенологическим признаком воспаления легких является участок или участки затемнения легочного поля. Однако, здоровые легкие на снимке имеют темный цвет, в то время как затемнения являются белыми участками.
Теперь рассмотрим различные виды пневмонии на фото рентгеновских снимков.
Данному виду патологии свойственно поражение небольших участков легочной ткани.
Изображение очаговой пневмонии прослеживается плохо, затемнения могут быть средней или вовсе слабой интенсивности.
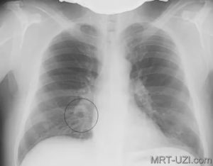
Размеры очагов поражения в среднем достигают полутора сантиметров, при отсутствии лечения их количество увеличивается. На фото ниже изображен пример правосторонней очаговой пневмонии.
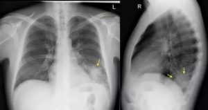
Данной форме характерно формирование больших участков поражения легочной ткани. Патологический процесс может охватывать как одно, так и оба легких. На иллюстрации ниже показана тяжелая форма крупозной пневмонии.
При сегментарной форме происходит поражение целого сегмента легкого. При этом пораженный участок исключается из процессов газообмена, что приводит к серьезным затруднениям дыхательного процесса. На иллюстрации ниже изображена правосторонняя сегментарная пневмония.
Происходит поражение соединительной ткани, окружающей альвеолярные структуры и кровеносные сосуды легких. На снимке характеризуется формированием участка уплотнения малой интенсивности, может поражать обе доли дыхательного органа. На фото ниже множество светлых разводов в легочном рисунке говорят о наличии интерстициальной инфильтрации.
Важно! Многие задаются вопросом, может ли рентген не показать воспаление легких. К сожалению, такое возможно, но преимущественно на ранних стадиях развития воспаления, когда поражение легочной ткани незначительное.
Помимо понимания того, как на снимке выглядит тот или иной вид пневмонии, важно знать, что покажет исследование после перенесенного заболевания. В подобных случаях результаты рентгенологического исследования приобретают следующие изменения:
- Уменьшение площади поражения легочной ткани.
- Изменение цвета участков поражения от светлого к более темному.
- Если имелись крупные очаги воспаления, они уменьшаются.
- После перенесенной пневмонии отмечается увеличение корневой области легкого.
- Также на изображении проекции органа могут присутствовать следы рубцевания тканей.
Иными словами, рентгенодиагностика до и после болезни в значительной мере отличается. Однако изображение, полученное сразу после проведенной терапии, может не показать серьезных различий.
Дело в том, что для восстановления структур легкого требуется время, а также многое зависит от вида перенесенной пневмонии и степени ее прогрессирования.
Это значит, что нельзя с уверенностью сказать, каким должен быть снимок после выздоровления пациента. Каждый случай уникален.
Расшифровывая результаты рентгенологического исследования по снимку, специалист уделяет внимание любым патологическим изменениям.
Анализируется локализация очага воспаления, его размеры, форма, ограниченность.
При этом, если сравнивать рентген и флюорографию, первый метод диагностики является более информативным уже потому, что размеры проекционного изображения гораздо больше.
Еще одним неоспоримым плюсом рентгенографии является тот факт, что снимок делается в двух проекциях. Это позволяет обнаружить патологические изменения, которые могут быть не видны только в прямой проекции.
При «чтении» рентгенографического снимка врач принимает во внимание изменения по виду (зависят от размера), степени интенсивности затемнения и области поражения.
Деление очагов по видам следующее:
- мелкие – размером не более 2 мм,
- средние – 3-7 миллиметров,
- крупные – в пределах 8-11 миллиметров,
- фокусные – их размер начинается от 12 мм, но они могут охватывать весь орган.
Выделяют 3 вариации градации очагов по степени интенсивности:
- начальная степень воспаления – цвет очага темнее кости, но светлее здоровых участков легочной ткани,
- средняя степень воспаления – цвет очага примерно совпадает с отображение костей на рентгене,
- тяжелая степень – яркие светлые пятна или области в легочной проекции.
Касательно областей поражения, выделяют одностороннюю и двустороннюю пневмонию в соответствие с тем, в какой доле парного органа образовался воспалительный процесс. В описании рентгенограммы врач-рентгенолог фиксирует все показатели, после чего ставится основной диагноз (если не требуется дополнительной диагностики).
Рентгенодиагностика органов грудной клетки имеет одно неоспоримое преимущество – проведение процедуры не требует специальных приготовлений, помимо соблюдения элементарных правил гигиены. Однако, у этого исследования есть несколько противопоказаний:
- возраст пациента младше 14 лет,
- беременность,
- открытые кровотечения.
Обратите внимание! Перечисленные противопоказания не являются строгими, они лишь рекомендательные. Это значит, что, если для лечения беременной женщины или ребенка необходим рентген и от этого может зависеть жизнь пациента, то проведение диагностики возможно.
Несмотря на развитие медицины, рентгенография по сей день остается основными методом диагностирования воспаления легких. К рентгену прибегают в первую очередь, если присутствуют признаки развития пневмонии. Очень часто именно рентген является тем исследованием, которое даст необходимое представление о течении пневмонии и позволит врачу назначить лечение.
(2 4,50 из 5) Загрузка…
Источник: https://fok-zdorovie.ru/zabolevaniya-legkih/kak-vyglyadit-pnevmoniya-na-rentgene-opisanie-i-foto-snimkov
Рентгенограмма – самый распространенный метод исследования при выявлении заболеваний дыхательных путей и органов грудной клетки. Дело в том, что рентгеновский снимок позволяет оперативно выявить изменения в органах грудной полости и своевременно начать лечение. Неудивительно, что при подозрении на пневмонию назначается рентгенограмма.
Пневмония на рентгене обычно видна очень хорошо. Лишь иногда для постановки диагноза приходится прибегать к другим методам исследования, когда нужно отличить бронхит и раннюю стадию пневмонии. Рентген в этом случае не всегда эффективен.
Рентген легких при пневмонии следует назначать сразу же после выявления хрипов у пациента. Но его обязательно нужно дополнить классическими бактериальными исследованиями для дифференциации диагноза.
Рентген при пневмонии очень эффективен, но назначать его все же следует только при появлении выраженных симптомов заболевания, так как лишнее рентгеновское излучение пользы организму не несет.
Очаговая форма болезни проявляется легким лейкоцитозом, незначительными хрипами при дыхании и гипертермией. На начальном этапе развития заболевания его следы можно не обнаружить на рентгеновском снимке. Однако, опытный доктор может заподозрить заболевание по следующим косвенным признакам, видимым на снимках:
- Наличие теней.
- Признаки плеврита на рентгене.
- Увеличение размеров корня легкого.
- Нарушение структуры рисунка легочной ткани.
Проще всего пневмония на снимке выявляется в разгар болезни. На снимках становятся отчетливо видны очаги воспаления в виде темных пятен. Воспалительный процесс выгоняет из легочной ткани воздух, что делает ее более плотной. Появляются следующие признаки болезни:
- Отчетливые инфильтраты.
- Тени приобретают нечеткие контуры.
- На стороне пораженной доли легкого в плевре возможно появление жидкости, которая отлично видна на снимках.
На стадии выздоровления признаки заболевания на рентгене постепенно уходят:
- Исчезают инфильтраты.
- Признаки жидкости в плевре исчезают.
Стоит отметить, что даже после выздоровления на рентгене в течение нескольких месяцев все еще будет наблюдаться деформация рисунка легочной ткани.
При слиянии отдельных очагов воспаления легочной ткани возникает крупозная пневмония. Фото рентгеновского снимка, сделанного при этой форме заболевания, наглядно показывает отличия.
Как правило, при крупозной форме воспаления легких поражается одна или несколько долей легких сразу. Это создает серьезную угрозу жизни пациента.
На рентгене крупозная форма болезни проявляется следующими признаками:
- Ярко выраженные крупные тени, затрагивающие доли легкого целиком. Могут быть поражены оба легкого.
- Средостение смещается в сторону наиболее воспаленного легкого.
- На куполах диафрагмы отчетливо видны признаки деформации.
- Рисунок легочной ткани может не просматриваться.
Крупозная пневмония легче всего выявляется при рентгенологическом исследовании. Тем не менее для постановки точного диагноза врачи предпочитают делать рентгеновские снимки в двух проекциях. Это дает им возможность определить число пораженных воспалением сегментов органа и определить состояние средостения.
Атипичная форма болезни характеризуется тем, что ее клиническая картина не соответствует картине на рентгеновском снимке. Это создает некоторые трудности при постановке точного диагноза.
Самый яркий пример атипичной пневмонии – микоплазменная форма болезни. На снимке она проявляется значительным очагом поражения. В патологический процесс вовлекается целая доля. Однако, при этом температура тела у пациента повышается незначительно. Кашель его не душит. Вместо болей в легких он жалуется на боль в горле.
Особняком стоят неинфекционные пневмонии. Например, инфаркт-пневмония. Эта форма болезни развивается из-за проникновения в легкое тромба из легочной артерии. На снимке такое поражение имеет четкие контуры, из-за чего его можно спутать с инородным телом в легких.
Рентгенологическое исследование позволяет отличить воспаление легких от следующих заболеваний:
- Бронхит. При этом заболевании затенения легочной ткани на снимке нет, но в корнях легкого просматриваются тяжи соединительной ткани. Из-за этого его часто путают с прикорневым воспалением легочной ткани, которое на рентгене дает картину тяжелого бронхита.
- Наличие инородного тела. Если оно действительно попало в легкие, то его тень на снимке будет находиться в нижних отделах легкого, в то время как пневмония чаще зарождается в верхних отделах. Тем не менее инородное тело нередко путают с инфаркт-пневмонией.
- Плеврит. Эта патология в большинстве случаев появляется, если человек не лечил пневмонию либо лечил неправильно.
- Гемоторакс и пневмоторакс. У этих патологических состояний на снимках нет сходства с пневмонией, но есть один общий симптом – сильна боль в груди при дыхании.
У детей это заболевание на снимках выглядит немного иначе, чем у взрослых. Это объясняется тем, что организм ребенка реагирует на любое воспаление намного острее. Даже самый маленький инфильтрат может стать причиной крупозной формы болезни.
На рентгеновском снимке воспаление легкого у ребенка выглядит следующим образом:
- Очаги затенения локализуются в нижних отделах легких.
- Размеры инфильтратов очень маленькие. Чем выше их плотность, тем тяжелее болезнь.
- В средостении отмечается увеличение лимфатических узлов. Это отчетливо видно на рентгене.
- Участки поражения могут смазывать структуру корня легкого и полностью скрывать рисунок легочной ткани.
Из-за того, что у детей легочная ткань нередко вздувается без всякого воспаления, диагностировать пневмонию на начальных стадиях развития с помощью рентгеновских снимков бывает достаточно сложно. Кроме того, правильную диагностику при пневмонии у детей мешает поставить малый объем легочной ткани.
Рентгенография грудной клетки – один из наиболее информативных методов диагностики заболеваний дыхательной системы, включая пневмонию.
Он позволяет не только выявить патологический процесс, определить его локализацию и особенности, но и оценить эффективность проводимого лечения.
Как же выглядят рентгенологические признаки пневмонии на снимках, и как проводится рентгенография при данной патологии?
Пневмония представляет собой воспалительное заболевание, которое вызывают патогенные микроорганизмы – вирусы, бактерии, грибки.
Симптомы включают повышение температуры до 38-39 градусов, кашель, одышку, хрипы в грудной клетке, ухудшение общего самочувствия.
Сложность диагностики пневмонии заключается в том, что вышеперечисленные признаки характерны не только для воспаления легких, но и для других заболеваний – острого бронхита, плеврита, онкологических процессов и т.д.
Рентгеновское исследование основывается на сканировании внутренних органов с помощью специального аппарата, который излучает электромагнитные волны определенной длины.
Проходя сквозь ткани человеческого тела, они оставляют на поверхности пленки следы, из которых формируется изображение соответствующего органа.
По ней можно определить патологические изменения и составить полную картину разных заболеваний, в том числе воспалительных процессов в респираторных органах.
В число показаний к проведению рентгена грудной клетки входит кашель с обильным отделением мокроты, сильная лихорадка (38-39 градусов), озноб, боли в груди и другие признаки, которые могут свидетельствовать о патологических процессах в органах дыхательной системы.
ВАЖНО! Постановка диагноза при пневмонии должна основываться не только на рентгеновских снимках, но и на результатах выслушивания грудной клетки, анализов крови и мокроты и других методах обследования.
Существует два основных способа проведения процедуры – обычный (пленочный) рентген и цифровой, который позволяет получить более четкие и информативные снимки, а также снижает рентген-нагрузку на организм. Выбор методики зависит от оснащения конкретного медицинского учреждения – аппараты для цифровой диагностики есть далеко не во всех больницах и поликлиниках.
Рентгеновское и флюорографическое исследование имеют один и тот же принцип, но при диагностике пневмонии предпочтение отдается рентгену.
Флюорография позволяет выявить изменения в тканях легких на ранних стадиях, но не дает достаточно четкой рентгенологической картины для постановки точного диагноза.
Вместе с тем, коэффициент облучения при проведении процедуры гораздо меньше, чем при рентгеновском исследовании, поэтому флюорографию делают в профилактических целях, а рентген – непосредственно для диагностики патологических процессов при наличии соответствующих симптомов.
Пневмония имеет множество форм клинического течения, а очаги воспаления могут располагаться в любом сегменте легких, и в некоторых случаях определить заболевание по рентгенограмме бывает непросто, особенно если поражен небольшой участок органа. Если после проведения исследования у врача остаются сомнения, больному назначаются дополнительные диагностические процедуры – как правило, КТ или МРТ.
СПРАВКА! Труднее всего выявить пневмонию у детей, страдающих от иммунодефицитных состояний, поэтому в таких случаях ребенка лучше сразу направлять на КТ или МРТ.
После проведения рентгенографии снимки должен изучить специалист, и на основе полученных данных и результатов других исследований сделать соответствующие выводы и поставить диагноз. В норме легкие и бронхи человека выглядят следующим образом:
- легочные доли имеют одинаковый, равномерный черный оттенок;
- в районе сердца наблюдается белый просвет;
- ребра и ключицы серые, с привычными очертаниями;
- купола диафрагмы белого цвета;
- позвоночный столб расположен в центре.
Признаки пневмонии на рентгеновском снимке во многом зависят от формы заболевания и его стадии, а также от локализации патологического процесса. Если исследование показало признаки пневмонии, необходимо как можно скорее приступить к лечению – запущенный патологический процесс опасен не только для здоровья, но и для жизни человека.
Первый признак пневмонии на рентгеновском снимке – появление очагов затемнения с неровными контурами в разных частях легкого, которые могут иметь разный размер, от 3-4-х до 12 мм.
Тени различают по внешнему виду (круглые, овальные кольцевидные) и интенсивности окраски – чем темнее пятно, тем сильнее выражен патологический процесс.
При поражении лимфатических узлов и нарушении кровоснабжения органа могут наблюдаться изменения корней легких, а если болезнь затронула плевру – нарушение в рисунке куполов диафрагмы. В остальном проявления пневмонии зависят от стадии, формы и клинических особенностей заболевания:
- Очаговая форма. На рентгене отображаются небольшие (1-1,5 см) тени со слабой или умеренной интенсивностью окраски, неоднородной структурой и нечеткими границами. Очаги поражения могут быть единичными или множественными, а в некоторых случаях они сливаются в одно большое пятно. Корни легких расширены, причем нарушения нормального рисунка органа могут сохраняться в течение нескольких дней после выздоровления.
- Крупозная пневмония. Наблюдаются изменения нормального легочного рисунка, жидкость в полости плевры, признаки инфильтрации одной из долей легкого, расширение корней. По мере развития воспалительного процесса выраженность изменений и интенсивность окраски затемнений усиливается.
- Интерстициальная форма. На снимке заметно уплотнение корней легких и другие изменения, которые формируют выраженный рисунок, напоминающий ветви дерева.
- Абсцедирующая пневмония. Проявляется обширным затемнением пораженной области, признаками утолщения плевры и наличием полостей разного размера, наполненных жидкостью.
- Аспирационная форма. Рентген характеризуется треугольными пятнами с однородной структурой, светлыми очагами и приподнятой диафрагмой.
ВАЖНО! Сложнее всего поддается диагностике очаговая пневмония – на первых стадиях она проявляется небольшими очагами инфильтрации, которые не всегда заметны на рентгене.
Воспалительный процесс при пневмонии протекает в несколько этапов, причем каждый из них характеризуется определенными изменениями на рентгеновских снимках.
- Стадия прилива. Первая стадия болезни продолжается от 12 до 72 часов и проявляется усилением кровообращения в легких, ухудшением их функций и образованием жидкости в альвеолах. На снимках наблюдается четкий рисунок органа, который напоминает решетку, размытость крайних точек и увеличение корней.
- Стадия опеченения. Ткани легких уплотняются, и становится похожей на ткани печени. Рисунок легких на данной стадии выражен не так интенсивно, на нем формируются темные пятна со светлыми полосами, корни органа расширены, причем особенно это заметно на пораженной стороне. По мере развития патологического процесса очаги воспаления затемняются, а наличие жидкости хорошо заметно на снимках.
- Стадия разрешения. Начало регенерации тканей легких: снижение интенсивности рисунка органа и окраски затемнений, исчезновение крупных элементов в месте поражения и признаков наличия жидкости.
СПРАВКА! Изменения в легочном рисунке могут присутствовать на протяжении нескольких недель после выздоровления.
В среднем рентгенологическое исследование рекомендуется проходить не более 1-2-х раз в год, но при пневмонии процедура проводится чаще, так как риск развития осложнений превышает опасность от радиационного облучения.
Как правило, рентген выполняется не менее 3-х раз – при постановке диагноза «пневмония», через 3-5 дней после начала терапии для контроля ее эффективности, а также после исчезновения клинических симптомов.
Повторные снимки после выздоровления больного надо делать для предупреждения осложнений и последствий заболевания – абсцессы легких, разрастание фиброзной ткани и т.д.
Относительными противопоказаниями к проведению процедуры являются беременность (особенно первый триместр) и тяжелое состояние больного.
Однако при наличии характерных симптомов процедура рекомендована всем без исключения, в том числе будущим мамам – для уменьшения негативного воздействия на плод живот беременной закрывают специальным фартуком, который не пропускает рентгеновские лучи.
Точно определить пневмонию без рентгеновского снимка практически невозможно – из-за отсутствия специфических симптомов слишком велика вероятность ошибки и неправильного лечения.
Ознакомьтесь подробно о рентгенографии при пневмонии на видео ниже:
Пневмония – опасное заболевание, которое при отсутствии соответствующей терапии может привести к серьезным последствиям. Единственным способом выявить патологические изменения в легких является рентген, поэтому не стоит пренебрегать данной процедурой – своевременное исследование поможет предотвратить угрозу не только для здоровья, но и для жизни больного.
Источник: https://med-kurator.com/organy-dyhaniya/pnevmoniya/diagnostika/rentgen-snimok.html
Поделиться:





