Бронхит – это заболевание дыхательных путей, имеющее воспалительный характер. Ему в равной степени подвержены взрослые и дети. Для точной постановки диагноза и назначения лечения в последующем пациент должен пройти обследование. В большинстве клинических случаев удается выявить бронхит на рентгене.
Особенно важно знать, как себя проявляет заболевание у пациентов детского возраста. Благодаря этому родители могут своевременно записаться на прием к педиатру. Только после получения результатов анализов и осмотра ребенка врач назначит лечение.
Процедура рентгенологического обследования связана с облучением организма. В связи с этим люди интересуются, позволяет ли она выявить заболевание, либо же можно обойтись без этого. Если развивается обычная простуда, то лечение удается назначить после получения результатов анализа крови, прослушивания системы дыхания и оценки внешнего вида слизистых оболочек.
Если спросить у терапевта о том, виден ли бронхит на рентгене легких, он ответит, что да. При средней или легкой степени ОРВИ такое исследование не назначается, чтобы лишний раз не облучаться. Основными показаниями к диагностике являются:
- Подозрение на развитие пневмонии.
- Вероятность развития обструкции легких.
- Отсутствует положительная динамика после терапевтического курса.
- Необходимо провести динамический контроль состояния пациента после лечения.
Бронхит на рентгене определяется, и практически всегда безошибочно. Назначают выполнение снимка обязательно людям, которые долго страдают от кашля, имеют одышку, отмечают активное отделение пота. Все эти симптомы могу являться признаками развивающегося туберкулеза.
Признаки бронхита на рентгене будут специфическими. Сам воспалительный процесс не определяется, но внимание стоит обращать на тени. Поскольку лучи проникают через стенку и воздушное пространство альвеол, при развитии заболевания будут виднеться кольцевые пятна. Также проявляется и хроническая форма.
Заподозрить бронхит на рентгеновском снимке можно по таким показателям:
- изменяется рисунок легких и сосудов (по виду напоминает разветвление у дерева);
- разрастание соединительной ткани определяется как сгущенные корни;
- в некоторых местах имеются спадания ткани органа.
Бронхит на рентгене выглядит, как чередующиеся зоны низкой и высокой воздушности. Детальному рассмотрению подлежат корни легких, поскольку происходит их деформация.
Именно эти изменения четко определяются на снимке, так же как и чрезмерное разрастание фиброзной ткани. Зная о том, как на рентгене выглядит бронхит, не стоит пытаться самостоятельно сделать расшифровку.
Описание должен делать опытный врач.
В первую очередь отмечается выраженное снижение структуры корней органа, их границы нечеткие, как у здорового человека, стенки бронхов утолщенные. При тяжелой степени заболевания у пациентов развивается обструкция.
В этом случае бронхит на рентгене будет иметь дополнительные признаки:
- Уплощенная грудная клетка.
- Низкое расположение диафрагмы.
- Ограничение подвижности диафрагмы.
- Легочный фон имеет повышенную прозрачность.
- Сердечная мышца располагается вертикально.
Расшифровка рентгена при бронхите – ответственное дело. Если специалист выполнит неправильное описание, то поставят некорректный диагноз. В результате этого назначенное пациенту лечение будет неэффективным, а патологический процесс приобретет запущенную форму.
При прогрессировании бронхита отмечается увеличение размера легких. В результате этого орган оказывает повышенное давление на сердце. Если есть подозрение на двустороннее поражение, тогда могут назначить два снимка с промежутком в 5 суток. Еще одной разновидностью диагностики является бронхография.
Это также методика рентгеновского исследования, но с использованием контрастного вещества. Его вводят пациенту внутривенно, непосредственно перед выполнением процедуры. Благодаря этому четко визуализируется строение легких. К этому способу прибегают редко, поскольку пациент может иметь аллергию на контраст, а также испытывать боль при манипуляции.
Когда имеется подозрение на то, что развивается бронхит, флюорографию или рентген назначает врач. Не каждый пациент понимает, чем отличаются эти методы диагностики. Поэтому в вопросе необходимо разобраться более детально. Первой объединяющей чертой является то, что оба способа позволяют выявить воспалительный процесс.
В свою очередь, во время выполнения флюорографии организм получает большую порцию излучения, нежели при рентгенологическом снимке. Именно поэтому ее назначают лишь при подозрении на присутствие у человека туберкулеза, который также сопровождается выраженным кашлем. Посредством проведения флюорографии нет возможности диагностировать бронхит.
Рентгенологическое просвечивание области грудной клетки можно выполнять практически каждому человеку. Каких-либо специфических противопоказаний к процедуре не имеется. Ограничения распространяются только на женщин, вынашивающих ребенка, и пациентов, находящихся в тяжелом состоянии.
В этом случае диагноз выставляется на основании результатов анализов, список которых будет расширенным. Но если имеет место явная угроза жизни, и рентген необходим, его обязательно выполнят даже при наличии противопоказаний. Во время беременности принимаются дополнительные меры безопасности. Чтобы плод получил меньше излучения, на живот кладут свинцовую пластину, не пропускающую лучи.
Дыхательная система у детей имеет определенные особенности. В отличие от взрослых, у них узкие пути, поэтому при развитии отека на слизистой оболочке гортани процесс их перекрытия происходит быстрее. В большинстве клинических случаев заболевание развивается на фоне вирусного инфицирования.
Когда развиваются симптомы бронхита, лечением детей должен заниматься педиатр. Родителям рекомендуется обратиться за квалифицированной помощью, если малыш чувствует першение в горле, у него начался кашель, похрипывание, осип голос и появились выраженные признаки конъюнктивита.
На первом этапе развития заболевания кашель будет сухим, уже на пятые сутки он становится более мягким. С седьмого дня можно заметить активное отделение слизистого секрета. Температура тела сохраняется в пределах 38 градусов. В среднем период полного выздоровления при адекватной терапии составляет 10-14 дней.
В период острой стадии заболевания ребенок должен соблюдать строгий постельный режим. Категорически не допускаются активные игры. Малыш должен быть спокойным, а также ему необходимо давать обильное теплое питье. Важно сбалансировать питание, насытить его полезными продуктами, содержащими витамины.
Принцип разработки специфической терапии напрямую зависит от того, почему у ребенка начался бронхит. Симптомы и лечение у детей может изменяться в течение всего курса. Если природа заболевания вирусная, тогда показан прием антибиотиков цефалоспоринового, пенициллинового ряда или макролидов. Также комплекс может включать противогрибковые медикаменты.
В обязательном порядке пациентам назначаются медикаменты из группы муколитиков, которые обладают способностью разжижать слизистый секрет, что способствует его лучшему отхождению из дыхательных путей. Если кашель сухой, показан прием «Окселадина» или «Преноксдиазина». В случае наличия у ребенка аллергии обязательно нужно принимать антигистаминные препараты.
Хороший терапевтический результат показывает физиотерапевтическое лечение бронхита. Пациентам назначают ингаляции с лекарственными препаратами на масляных или щелочных основах. В последнее время все чаще проводится лечение небулайзером, используется УФО, УВЧ, электрофорез на грудную клетку.
Что касается профилактических мероприятий, то в первую очередь необходимо создать условия, которые помогут избежать или минимизировать частоту острых респираторно-вирусных заболеваний. Также рекомендуется проводить противовирусную профилактику в пиковые сезоны (осень/весна), необходимо избегать контакта с аллергеном.
Избежать развития бронхита можно, если длительное время не пребывать на холоде, заниматься закаливанием организма. Пациентам детской возрастной группы нужно своевременно делать профилактическую прививку против гриппа и пневмококковой инфекции. Ребенок, страдающий рецидивирующей или хронической формой патологии, должен посещать раз в два года пульмонолога.
Если пациент подозревает, что у него прогрессирует бронхит, ему необходимо незамедлительно пройти медицинское обследование. Для этого нужно записаться на прием к терапевту или педиатру, если болеет ребенок. При своевременно поставленном диагнозе, проведенном полноценном лечении наступает полное выздоровление, и осложнения не развиваются.
Виктория Чернышова
Источник: http://.ru/article/445588/viden-li-bronhit-na-rentgene-rasshifroa-rentgena-pri-bronhite
Кроме пневмонии и туберкулеза, что еще может показать флюорография?
Ольга плотникова: Флюорография бронхит покажет обязательно. Но вот такая мокрота разноцветная… Найдите хорошего пульмонолога. Флюорография не показывает новообразований и тем более костных изменений, в таких случаях делают МРТ. Надо мокроту на анализы. Коклюш исключить. Не запускайте, удачи!
Igrejna: флюорография применяется прежде всего для скрининга туберкулеза и новообразований лёгких, также в медицинской диагностике флюорография используется для изучения молочных желёз и костной системы.
Володеев алексей: это скрининговый метод, для диагностики не используется, пациенты с подозрением на что либо делают обычный снимок
Арина вуллер: как мне говорил врач -рентгенолог, что на флюшке мало что видно, только если там совсем что-то серьёзное, бронхит вроде не показывает, только терапевт может определить, а на флюшку он вас отправит только для того что бы посмотреть нет ли затемнений, если есть, то на рентген, смотреть может это пневмония !
Чтобы вовремя распознать болезнь, врачи рекомендуют раз в год проходить флюорографическое обследование. Флюорография проводится в целях профилактики.Для обнаружения патологических изменений существуют флюорография и рентгенология. Это тот же рентген, только с низкой долей облучения.
И рентген, и флюорография очень широко применяются в современной медицине. Для профилактики и обнаружения воспалительных процессов в легких используют показания флюорографии. Рентген нужен для диагностирования, т. е. выявления более точной клинической картины.
Оба этих метода основаны на использовании излучений, которые достаточно вредны для организма человека. Поэтому надо осторожно относиться к данным процедурам, но в то же время и ответственно. Никакое другое обследование не сможет выявить пневмонию.
На снимках по-разному отображаются различные внутренние органы. Например, бронхи и сердце появляются в виде световых пятен. Легочные ткани здорового органа на рентгеновском изображении будут смотреться однородными и равномерными.
Если имеются патологические изменения в легких, то на картинке изображения будут видны как более темные участки или более светлые, по сравнению с оригиналом. Более темные пятна свидетельствуют о наличии воспаления и увеличении плотности ткани легкого в этом месте. Более светлые пятна обозначают “рыхлость”, понижение плотности ткани на данном участке.
http://respiratoria.ru/pnevmonija/pokazhet-li-flyuorografiya-pnevmoniyu.html
Good joker: результат флюорографии показывает все заболевания легких, в том числе и бронхит, и пневмонию. Врачи это легко и быстро сразу распознают. Для профилактики здоровья нужно делать флюорографию 1 раз в год, можете сделать в больнице, а можете и в специальных передвижных лабораториях с оборудованием http://pvp-snk.ru/peredvizhnie-laboratorii
Антипсиховирус: Физические проявленияКрупные бронхи проводят воздух в легкие, мелкие бронхи (бронхиолы) выполняют более сложную функцию: сокращаясь и расправляясь, они регулируют рабочий объем легких. Бронхит — это воспаление слизистых оболочек бронхов.Эмоциональные причиныВ монадаосоматике бронхи связаны с семьей.
Бронхит появляется тогда, когда в семье возникают какие-то проблемы (например, происходит ссора). Человек сильно переживает, он чувствует гнев, так как эти проблемы несут угрозу его привычному существованию на своей территории.
У него даже может возникнуть желание разорвать отношения с одним или несколькими членами семьи, но он не решается сделать это из-за чувства вины. Он не осмеливается вступить в открытое противостояние, устает и впадает в уныние. Он не может получить то, что ему нужно, но не говорит об этом.
Этому человеку следует занять свое место в семье самостоятельно, не ожидая, пока другие помогут ему сделать это.Ментальные причиныЕжели ты страдаешь от бронхита, тебе пора начать относиться к жизни более радостно и просто. Не стоит так сильно переживать то, что происходит в твоей семье.
Ты должен понять, что не существует семей, в которых всегда царило бы абсолютное согласие. Взгляды членов твоей семьи могут расходиться с твоими взглядами — это вполне нормально.
Вместо того чтобы принимать происходящее слишком близко к сердцу, постарайся жить так, как считаешь нужным, и не поддавайся влиянию других людей, даже если это члены твоей семьи. Ты должен не унывать, а сопротивляться, причем без малейшего чувства вины. Ты должен занять свое место, свою территорию.
Постарайся при этом уважать право других людей жить так, как им хочется.Духовные причины и устранение
Для того чтобы понять духовные причины, которые препятствуют удовлетворению важной потребности твоего искренного Я, задай себе вопросы, приведенные в материале монадаотерапия. Ответы на эти вопросы позволят тебе, не только более точно определить истинную причину твоей физической проблемы, но и устранить её.
Источник: https://brontr.ru/vop/bronhit-viden-li-na-fljuorografii.html
Бронхит является распространённым заболеванием, имеющим различные причины, с чем и связана многогранность его клинических проявлений. Нередко возникает необходимость дифференцировать его с другими, более серьезными заболеваниями.
Для этого используют нейровизуализационные методы исследования рутинного характера, в частности, флюорографию и рентгенографию, а также компьютерную и магнитно-резонансную томографию, бронхоскопию. Данные методы не только демонстрируют как выглядит бронхит и позволяют отличить его от других заболеваний, но и помогают отслеживать его течение.
Рентгенологический метод диагностики широко используется в клинической практике врачей. Существует несколько разновидностей методики: рентгеновская томография, бронхография, бронхокинематография, компьютерная томография. Однако самым простым и доступным является обычная рентгенография.
Есть несколько правил выполнения данной процедуры:
- Выполняется в вертикальном положении.
- Снимок должен захватывать всю грудную клетку (хорошо видны верхушки легких и реберно-диафрагмальные синусы).
- Выполняется в двух проекциях (прямой и боковой).
Сначала выполняется обзорная рентгенография, далее, можно сделать прицельный снимок интересующего участка легкого.
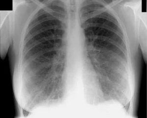
Простой острый бронхит увидеть на рентгеновском снимке невозможно, визуализации поддаются только обструктивные и хронические длительно текущие формы заболевания. Рассмотрим примеры того, как выглядит бронхит на рентгеновских снимках:
На фото 1 и 2 видно, как выглядит бронхит на рентгеновских снимках, а точнее, признаками заболевания являются:
- изменение размера и структуры корней легких,
- нечеткость его контуров,
- изменение легочного рисунка (как правило, усиление),
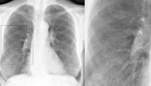
- утолщение стенок бронхов при хроническом бронхите (симптом «трамвайные рельсы» фото 3).
Важно! На обычном рентгеновском снимке легких можно рассмотреть только трахею и крупные бронхи, мелкие бронхи не видны.
Еще одной особенностью бронхита является диффузность поражения, то есть вовлечение в процесс обоих легких.
Рентген легких при бронхите с обструкцией выглядит следующим образом:
Воспаление бронхов с обструктивным синдромом характеризуется:
- повышенной воздушностью легких,
- низким стоянием диафрагмы,
- уплощением диафрагмы и ограничением её подвижности,
- вертикальным расположением сердца.
При хроническом течении или частых рецидивах заболевания бронхит может осложниться развитием эмфиземы легких:
Характерными признаками эмфиземы на рентгеновском снимке являются:
- буллы – тонкостенные воздушные полости различной формы,
- уменьшение или полное отсутствие сосудистого компонента.
Рентгенография легких является хорошим методом диагностики, учитывая его доступность и информативность.
Флюорография по сути своей мало чем отличается от обычной рентгенографии. Она представляет собой рентгенографию грудной клетки, при которой изображение переносится на пленку размером 5х5 см, 7х7 см или 10х10 см.
Именно размер изображения является ключевым отличием этих двух методик, так как при стандартной рентгенографии изображение на снимке соответствует реальному размеру грудной клетки.
Способ специально разработан для скринингового обследования на такие заболевания, как туберкулез, злокачественные новообразования. Уменьшение размера снимков позволило сделать её гораздо дешевле (в 6 раз по сравнению со стандартным размером), но в то же время значительно уменьшило информативность исследования.
По этой причине флюорография не показывает бронхит, за исключением тяжелых хронических форм со сформировавшейся ХОБЛ. На флюорографии простой бронхит не виден, так как невозможно визуализировать усиление сосудистого рисунка на маленьком снимке.
Компьютерная (КТ) и магнитно-резонансная (МРТ) томография относятся к высоко информативным и дорогостоящим методам диагностики, в связи с чем выполняются в спорных и тяжелых случаях по строгим показаниям. При бронхите таковыми могут явиться:
- дифференциальная диагностика со злокачественным новообразованием, туберкулезом, инородным телом, профессиональными заболеваниями и другими более опасными патологиями,
- оценка распространенности и степени поражения,
- диагностика осложнений и их локализации,
- оценка эффективности лечения.
Необходимость проведения процедуры решается в индивидуальном порядке, исходя из особенностей болезни и состояния пациента.
Особенностями МРТ являются:
- отсутствие лучевой нагрузки на организм,
- более информативна при исследовании мягких тканей,
- противопоказана при наличии в организме электронных устройств и металлических предметов.
Справка! Чаще всего в диагностике заболеваний органов дыхания используется КТ, МРТ более информативна при дифференциальной диагностике.
Компьютерная томография проводится в специальном помещении. Пациент располагается на столе, который способен двигаться, проходя через специальное кольцо «Гентри».
В нем находится рентгеновский аппарат, который быстро вращается вокруг пациента на заданном промежутке, и делает большое количество снимков, создавая 3D проекцию определенного участка тела.
Вся информация поступает на компьютер, и врач может детально рассмотреть интересующую его область в любой проекции и на любом уровне.
На приведенных ниже изображениях можно видеть, как выглядят легкие при бронхите на КТ:
На данном снимке хорошо видны признаки бронхита:
- утолщение стенки бронхов,
- закупорка бронхов слизистыми пробками,
- уровни жидкости.
На фото №10 представлена бронхоэктатическая болезнь, как одно из частых осложнений хронического бронхита. На снимке можно наблюдать буллы и уровни жидкости в них.
Бронхоскопия – это эндоскопическое исследование бронхов. Суть метода заключается в непосредственном осмотре просвета бронхов через введенный в них специальный зонд (рисунок 2).
Процедура выполняется под наркозом, поэтому пациенты ничего не ощущают. При бронхите исследование могут выполнять с целью восстановления проходимости бронхов (извлечения инородного предмета, удаление полипов, опухолей и т.д.
), введения лекарственных средств, взятия биопсии.
Как правило, для диагностирования бронхита не требуется специальных инструментальных исследований. В большинстве случаев для постановки диагноза достаточно клинических данных и результатов осмотра.
Но в сложных случаях они значительно облегчают работу врача.
Помимо инструментальных исследований, для верификации диагноза выполняют анализы мокроты, общий и биохимический анализ крови, определение уровня антител к инфекционным агентам, аллергопробы и спирографию.
Загрузка…
Источник: https://fok-zdorovie.ru/zabolevaniya-legkih/kak-vyglyadyat-legkie-pri-bronhite-na-flyuorografii-snimki-raznyh-form-patologii
Кто-то начинает думать, что всё это результат развития воспаления легких или туберкулеза. Люди, готовые услышать самой печальный прогноз, не исключают появление у них даже ракового заболевания.
Естественно, лучше всего, если вы слышите от врача, что на снимке нет никаких отклонений и вы полностью здоровы.
Тогда человека вряд ли будет волновать, как выглядит на снимке флюорографии бронхит, туберкулез или раковое заболевание.
Флюорография — популярный в медицинской практике метод исследования, с помощью которого получают информацию о состоянии грудной клетки, позволяющую обнаружить заболевание на ранней стадии развития.
Когда грудная клетка человека подвергается рентгеновскому облучению, во время которого задействуется также специальный подсвеченный диск, на пленку или в электронный файл проецируется изображение бронхов и легких.
Оснований для того, чтобы направить больного на прохождение флюорографии, может быть несколько.
Обычно об этом больному сообщают, когда он проходит общеобязательный медицинский осмотр, но в некоторых случаях это может быть связан и с определенными нарушениями в состоянии здоровья, когда у больного долгое время держится температура тела на высоких отметках, беспокоит на протяжении двух-трех недель сильный грудной кашель, присутствует слабость, повышенное потоотделение и общий упадок сил.
Если обратиться к статистике, то ежегодно флюорографические исследования позволяют:
- до 50% больным назначить своевременное лечение обнаруженного на начальной стадии хронического или обструктивного бронхита;
- до 12 % заболевшим туберкулезом узнать о своей патологии до момента проявления клинических симптомов;
- выявить до 3% опухолевых процессов в тканях легких.
В некоторых случаях направление на прохождения флюорографического исследования может быть вызвано необходимостью диагностики состояния костей грудной клетки. Но в большинстве случаев эту информацию можно получить с помощью рентгена.
Последний отличается от флюорографии тем, что при этом виде исследования грудная клетка человека подвергается меньшей дозе облучения, но получаемые с его помощью данные предоставляют менее точную картину о состоянии легких, что не позволяет вовремя выявить начальную стадию заболевания.
В целях профилактики взрослым желательно проходить флюорографическое исследование не реже одного раза в год. Люди же определенных профессий, которым приходится тесно взаимодействовать с детьми, а также сотрудникам больниц и лицам, чья работа проходит в неблагоприятных экологических условиях, такую процедуру необходимо проходить как минимум раз в полгода.
Обязательным прохождение ФЛГ каждые полгода является для следующих категорий больных:
- лиц с астматическими, заболеваниями ЖКТ и ВИЧ-заболеваниями в хронической форме;
- людей, выкуривающих ежедневно более одной пачки сигарет, в том числе курильщиков со стажем;
- пациентов, проходящих лечение от туберкулеза или имеющим подозрение на него;
- больных, ранее переболевших воспалением легких или бронхитом;
- в случае подтверждения рака легких или после ранее перенесённой операции, которая была назначена из-за выявленного ракового заболевания.
Если больной последний раз проходил флюорографию менее года назад, но врач во время приема настоял на внеочередном проведении исследования, то это означает, что существует высокая вероятность развития у человека одного из вышеперечисленных недугов.
В некоторых случаях флюорографию по рекомендации врача можно проходить и чаще, чем каждые полгода. Что же касается детей, то им можно делать флюорографию только с 15 лет.
Детям в подобном возрасте делают прививки Манту для определения реакции организма на возбудителя туберкулеза, а рентгеновское излучение позволяет выявить на ранней стадии заболевания легких и последствия бронхита.
Однако проходить флюорографию могут не все. В первую очередь этот запрет распространяется на беременных женщин и лиц, которые не могут по состоянию здоровья находиться в вертикальном положении — лежачих больных.
Проходить флюорографическое исследование беременные могут только по назначению лечащего врача Это требуется, когда необходимо в срочном порядке получить информацию о состоянии органов грудной клетки и нет возможности использовать альтернативные щадящие методы исследования.
После этого вам следует подойти к экрану, встать вплотную к нему, а затем, как только поступит команда от врача, задержать дыхание. Примерно спустя 3-5 минут вы уже будете выходить из кабинета ФЛГ. Результат проведенного вами исследования вы сможете получить в виде снимка или файла на флешке.
Многие, даже не имея никакого отношения к медицине, пытаются рассматривать снимок, чтобы увидеть там пятно или удостовериться в его отсутствии. Однако прочитать результат флюорографии может только врач, к которому и необходимо обратиться после прохождения исследования.
Проецирование изображения внутренних органов грудной клетки создается за счёт того, что ткани, имеющие различную плотность, по-разному пропускают или отталкивают рентгеновские лучи.
К примеру, если ткань лёгких имеет однородную структуру, то увидеть это на снимке сможет даже неспециалист. При наличии темного пятнышка в пределах одной ткани можно говорить о том, что у человека присутствует воспаление или какая-то другая патология.
Если на снимке изображен четкий рисунок органов дыхания, на котором отсутствуют пятна, то человек полностью здоров. Чаще всего рисунок получается ровным, а контуры не имеют размазанных границ.
Если же имеется несоответствие, то это дает основание говорить о наличии патологии. Не стоит отказываться, если вы слышите от врача совет еще раз пройти флюорографию. В некоторых случаях даже малейшее движение во время исследования рентгеновский аппарат может запечатлеть как что-то похожее на патологию.
Настоящее же отклонение распознать довольно просто. У легких на снимке корни получаются более плотными или визуально широкими. Всё это говорит о том, что в этом органе протекают отечные процессы либо увеличены лимфоузлы.
- Обычно подобная картина на снимках наблюдается у больных, которые злоупотребляют табаком или работают в неблагоприятных условиях, при которых они подвергаются воздействию мелкодисперсных частиц пыли.
- Если на снимке видны тяжистые корни, то это явный признак зарождения хронического бронхита, вызванного продолжительным курением.
- Если на снимке просматривается затемнение, похожее на единичное пятно, то это указывает на раковое заболевание.
- Когда пятно распространяется на большую часть легкого или захватывает и другие ткани, при этом у больного отсутствуют симптомы ракового заболевания, то, скорее всего, подобный результат был получен из-за попадания под луч рентгена артефакта, потому в таких случаях больному назначают повторное исследование.
Наличие на снимке группы очагов или одного мелкого пятна позволяет говорить о наличии патологии. Для специалиста это означает, что ему необходимо будет провести дифференциацию туберкулеза.
Если на рисунке очень четко выражены сосуды, то это принято считать отклонением, которое указывает на зарождающийся бронхит либо наличие врождённых заболеваний сердца.
Если на снимке отсутствуют отклонения, но больного в течение всего времени беспокоит сильный кашель, то, скорее всего, это указывает на наличие бронхита. Дополнительным подтверждением этому будет наличие шумов и грубого дыхания во время аускультации.
Снимок, полученный после прохождения флюорографического исследования, помогает врачу поставить точный диагноз. Поэтому делать хорошие или плохие прогнозы можно только после анализа специалистом результата флюорографии.
На основании флюорографического снимка можно выявить:
- патологии, вызванные полученными ранее травмами ребер и позвонков грудного отдела;
- петрификаты. В зависимости от того, где они были обнаружены и какие имеют размеры, врач может определить вид туберкулеза;
- спаечный процесс в плевральной ткани;
- заболевания сердца;
- туберкулезные процессы;
- раковые болезни;
- бронхит.
Если на снимке видны изменения тканей легких, то на основании этого можно диагностировать у больного очаговый туберкулез или рак. Но в любом случае необходимо подтверждение в виде результатов лабораторных анализов.
Если на снимке видно расширение тени средостения, то, скорее всего, это связано с началом зарождения туберкулеза лимфоузлов. Если же, помимо этого, отклонения присутствует выпот, то это может означать, что у пациента начинает развиваться пневмония или возникает рецидив раннее перенесенного бронхита.
Наличие на снимке фиброза тканей легких позволяет говорить о том, что человек слишком много курит. В таком случае специалисты настоятельно рекомендуют таким больным срочно отказаться от своей вредной привычки, иначе в скором времени у них возникнет раковая болезнь .
По флюорографическому снимку очень легко понять, курит человек или нет. К сожалению, по снимку сложно определить бронхит. Но выявить тяжелую пневмонию, которая часто протекает с подобными последствиями, не составляет особого труда.
Наличие на фотографии темного пятна, которое представлено в виде увеличения прозрачности, позволяет определить эмфизему. В некоторых случаях ее ошибочно принимают за обширное поражение при бронхите. Но всё же эти заболевания отличаются по симптоматике протекания.
Впоследствии эмфизема, если не проводить лечение, может спровоцировать развитие отека легких, что очень часто случается с курильщиками.
Распознать рак на снимке можно по небольшому пятну. Изменения структуры тканей будут указывать на метастазирование от других органов.
Снимок, на котором просматриваются изменения краев диафрагмальной мышцы, указывает на наличие заболевания, не связанного с дыханием. Чаще всего это можно объяснить скоплением экссудата или воздуха в брюшной полости либо воспалительным процессом в печени, вызвавшим увеличение ее размеров, либо перфорацией диафрагмы.
Бронхит – это заболевание, для которого характерно воспаление слизистой оболочки бронхов.
В результате этого у больного наблюдаются повышенная температура, кашель с трудноотделимой мокротой, слабость, потливость. Для начала важно провести диагностику, чтобы врач сумел распознать бронхит на флюорографии.
После постановки диагноза будет назначено подходящее лечение, и в скором времени состояние больного заметно улучшится.
На стандартном флюорографическом снимке белым цветом показана костная ткань, тёмным – полости, наполненные воздухом, а серым – мягкие ткани.
Виден ли бронхит на снимке? С помощью флюорографического изображения можно определить, имеет ли место воспаление.
Бронхит или пневмонию на снимке доктор сможет диагностировать, опираясь на общие признаки патологии и текущую клиническую симптоматику, характерную для состояния пациента.
Флюорографическое обследование важно проводить всем гражданам, достигшим 15 лет, один раз в год. Если же с момента процедуры прошло меньше, чем 12 месяцев, а точно определить воспаление по внешним признакам не удаётся, то целесообразно пройти флюорографию ещё раз – внепланово.
Если флюорография бронхит покажет, то дополнительная доза рентгеновского излучения принесёт меньше вреда, нежели последствия нелеченого заболевания, способного перейти в пневмонию.
Если у пациента обнаружились признаки простуды, то сразу делать рентген лёгких не нужно. Ведь дополнительная доза излучения вряд ли будет полезна.
В некоторых же случаях, когда заметных улучшений не наступает, врач рекомендует пациенту посетить рентген-кабинет. Вот основные ситуации, когда при простуде дают направление на эту процедуру.
- Назначенные препараты и методы лечения не приносят результата. Больной перепробовал эффективные лекарства, способные справиться с симптомами простуды, а его состояние по-прежнему ухудшается. В этом случае важно исследовать лёгкие на наличие признаков бронхита и пневмонии.
- Для предупреждения обструктивных изменений в лёгких. После болезни может нарушиться кровообращение в лёгочных тканях, что негативно отражается на работе сердца и сосудов. Чтобы принять своевременные меры для выздоровления больного, рекомендуется тщательно обследовать его.
Рентген легких при бронхите позволяет выявить воспалительные процессы, протекающие и в лёгких, что даёт возможность назначить правильное лечение для улучшения состояния пациента.
Снимок легких при бронхите не назначают больным, которые находятся в крайне тяжёлом состоянии, детям, не достигшим 15 лет, и беременным женщинам.
Однако в некоторых случаях, когда для создания полной картины состояния больного не хватает снимка, то с его согласия проводить данную диагностику разрешается.
В таких случаях соотносят вред от проведения процедуры и серьёзность последствий, которые могут наступить без неё.
В связи с этим в особо сложных случаях рентген можно делать и беременным женщинам, но с соблюдением дополнительных мер защиты. На животе будущей мамы размещают специальную свинцовую накладку, способную сдерживать попадание лучей к плоду.
При несвоевременной терапии вирусной инфекции у ребёнка может развиться бронхит. Чтобы избежать осложнений, важно своевременно начать лечение, обратив внимание на характерные клинические признаки болезни бронхов.
- Хрипы в лёгких. Во время приёма педиатр может определить частоту дыхания и оценить его глубину. Если оно поверхностное, с хрипами, то важно принимать меры, чтобы избежать серьёзных осложнений.
- Высокая температура. Если столбик термометра превышает отметку 38 0С, то стоит сделать выводы о том, что в организме идёт воспалительный процесс.
- Кашель. Он может быть сухим или влажным. Ребёнок может даже откашливать вязкий, жёлтый секрет, но при этом его состояние не улучшается.
Дополнительными признаками являются слабость, апатия к происходящим событиям, играм, потеря аппетита. У детей младшего возраста постоянно портится настроение, появляются плаксивость и сонливость.
Явного признака на снимке, который бы указывал на наличие бронхита, нет. Однако опытный рентгенолог, изучая результаты, по совокупности имеющихся характеристик может определить течение воспалительного процесса в бронхах.
Рассматривая снимок лёгких, по особенностям общей картины можно понять, что в тканях бронхов есть воспаление.
Вот основные признаки, имеющиеся на снимке и указывающие на наличие бронхита:
- наличие полостей с воздухом в нижней части лёгкого;
- ярко выраженный рисунок лёгочного дерева;
- утолщённые стенки бронхов;
- появление участков инфильтрации.
Указанные признаки, в совокупности с рядом внешних симптомов, позволяют безошибочно определить бронхит на рентгене.
Для обструктивной формы бронхита характерен отёк ткани бронхов, в результате чего наблюдаются приступы удушья. На снимке данная проблема выглядит следующим образом:
- смещение и увеличение диафрагмы;
- изменение, утолщение бронхов;
- изменение рисунка бронхиального дерева.
Характерны также застои крови в тканях, поскольку нарушается малый круг кровообращения.
При острой форме бронхита признаки заболевания проявляются ярко, в то время как при хронической они несколько стерты и неявны. Врачи рекомендуют людям, которые находятся в группе риска (курильщикам, работникам вредных производств), проходить исследование раз в год, чтобы отслеживать ситуацию и предупредить развитие хронической формы.
В отличие от острого, хронический бронхит выглядит на снимке следующим образом:
- разрастание фиброзной ткани и наличие малоструктурных корней;
- деформация или ярко выраженный рисунок;
- стенки бронхов частично утолщены;
- наличие расплывчатых границ.
Это основные моменты, отличающие хроническое заболевание бронхов от его острой формы.
Для выявления патологий дыхательной системы и, в частности, бронхита, терапевт или педиатр назначают бронхографию. Суть этого метода заключается во введении в полость бронхов, трахеи с помощью специальной трубки йодсодержащего вещества.
После этого больному делают рентгеновские снимки в разных проекциях. Введённое вещество отлично видно на изображениях, поэтому по его расположению, степени заполнения бронхов можно судить о состоянии дыхательной системы. Это исследование важно на этапе лечения обструктивного и хронического бронхитов, поскольку позволяет сделать верные выводы о характере изменений в органах дыхания.
Чтобы избежать заболевания бронхитом, необходимо своевременно начинать лечение сезонных вирусных инфекций, следить за состоянием иммунитета, проводить закаливающие процедуры. Если же случилась неприятность, и появились его симптомы, важно обратиться за медицинской помощью, чтобы избежать развития пневмонии, которая нередко приводит к летальному исходу.
В качестве профилактических мер важно ежегодно проходить флюорографическое исследование. Методика позволяет выявить туберкулёз, астму, бронхит, пневмонию и другие болезни.
Важно следить за микроклиматом в помещении, поддерживая показатели влажности и температуры в норме. Чтобы тренировать дыхательную систему, необходимо заниматься спортом как на свежем воздухе, так и в спортзале.
Народная медицина предлагает простые и эффективные средства, способные победить недуг. Вот основные из них.
- Согревающие компрессы. Их делают из спиртовых настоек, мазей. Взрослым людям показано посещение бани, поскольку эта процедура способна активизировать кровообращение и улучшить состояние больного.
- Отвары трав. Чтобы улучшить отхождение мокроты, стоит заваривать корень алтея, побеги шалфея, корни солодки.
Рекомендуется делать ингаляции с использованием физраствора или минеральной воды.
Источник: https://iDiagnost.ru/issledovaniya/fluorografiya/mozhno-li-uvidet-bronhit-na-flyuorografii
Органы грудной клетки
Бронхит на флюорографии не всегда заметен, определить его можно по ряду косвенных признаков. Врачи прибегают к иным, более точным методам исследования, чтобы вовремя диагностировать заболевание и назначить эффективное лечение. Своевременная диагностика заболеваний бронхов и лёгких предотвращает осложнения патологии.
Бронхит представляет собой воспаление слизистой оболочки, выстилающей бронхи изнутри. Типичное заболевание вызывает отёчность слизистой и появление патологического отделяемого, в виде слизи на стенках бронхов. При стенозе затрудняется дыхание, сокращаются объёмы воздуха, поступаемого в лёгкие.
Зачастую бронхит является следствием острой респираторной вирусной инфекции, лечение которой было начато слишком поздно, или терапия не проводилась до конца.
Иногда болезнь возникает из-за работы на вредном производстве, связанном с повышенной запылённостью помещения.
Признаки бронхита — это в первую очередь затруднённость дыхания, ухудшение общего состояния, повышение температуры тела, спазмы, хрипы в горле.
Однако, эти признаки дают и другие патологии, например, сердечные. Чтобы диагностировать воспалительный процесс в бронхах, врачи назначают дополнительные обследования, которые позволяют чётко поставить диагноз.
Рентген лёгких и бронхов показывает осложнения, возникшие на его фоне. При наличии у пациента непосредственно воспалительного процесса в бронхах, на снимке будут заметны следующие особенности:
- снижение структурности корня лёгкого — на снимке его увидеть непросто. Лучше визуализируется правый корень, а вот левый прикрыт тенью от сердца. Сам корень изначально неоднородный, внешне он будет образован сплетением сосудов и бронхов. При бронхите нормальная структурность корня нарушается, поскольку бронхи «смазывают» картину из-за имеющейся патологии,
- расплывчатость и нечёткость контуров корня лёгкого — также последствие воспалённых бронхов, что легко диагностируется на снимке,
- усиление лёгочного рисунка — лёгочный рисунок представляет собой тень от кровеносных сосудов. Усиление лёгочного рисунка провоцирует патологические изменённые бронхи, которые в норме практически не видны,
- утолщение стенок бронхов — наиболее специфический признак, который видно на снимке лёгких. Он является определяющим в совокупности с другими данными исследования при постановке диагноза.
Помимо типичных признаков, таких как снижение структурности корня, усиление лёгочного рисунка и утолщение бронхов, возможны другие описания снимка. Например, снимок покажет искривление бронхов по их ходу, что связано с развитием воспалительного процесса, отёчностью.
Бронхит на рентгене характеризуется разрастанием соединительнотканных образований на стенках бронхов, а также с наружной стороны. Типичной может быть и картина осложнений:
- бронхообструкции (наличие закупорки бронхов, которая визуализируется светлыми «горошинками»),
- эмфиземы — прозрачные лёгкие из-за скопившегося в них воздуха, который пропускает рентгеновские лучи.
Дополнительно диагноз устанавливается по аномальному состоянию диафрагмы.
Диагностику органов грудной клетки при помощи рентгеновского исследования или флюорографии проводят часто.
Простым и менее вредным методом исследования считается флюорография, поэтому её рекомендуют делать в целях профилактики, а в некоторых странах это узаконено. В России флюорография с этой целью применяется с тридцатых годов прошлого века.
С помощью этого метода осуществлялось обследование больших масс населения для выявления туберкулёза и пневмонии (воспаления лёгких).
Сегодня флюорография даёт существенно меньшую нагрузку на пациента. Выполняется исследование как традиционным методом, путём получения снимка лёгких на плёнку, так и цифровым, когда изображение выводится на монитор. Последний, более современный метод, позволил ещё больше снизить вредность дозы облучения. Заметим, что показаниями к флюорографии являются такие основания, как:
- наличие у пациента ВИЧ,
- оформление на службу в армию,
- диагностика окружения, проживающего с беременной женщиной,
- первичное обращение в клинику.
Как видно из показаний к флюорографии, они являются профилактическими и не связаны с определёнными патологиями. Даже туберкулёз и пневмония на флюорографии потребуют дополнительного, более пристального изучения с помощью других методов лучевой диагностики.
При подозрении на бронхит флюорография оказывается малоинформативной, поэтому пациентам проводят рентгенографию.
Показания к проведению исследования — это подозрения на конкретные отклонения, такие как онкологическое поражение органов грудной клетки, воспаление лёгких, туберкулёз и т. д.
Обычно рентгенографии достаточно, чтобы установить диагноз. Бронхит на снимке однозначен и не вызывает сомнений. Однако, при обнаружении сопутствующих патологий может потребоваться дополнительное исследование другими лучевыми методами диагностики:
- магнитно-резонансная томография,
- компьютерная томография,
- бронхография с контрастом. Самый безопасный метод диагностики
Все эти методики имеют определённую диагностическую ценность и позволяют установить правильный диагноз.
Диагностика бронхита лучевыми методами исследования — наиболее точный способ определить наличие патологии, степень её тяжести, возможные осложнения.
Главным исследованием на сегодня является рентгенография, а при необходимости — бронхоскопия с контрастным веществом, которые проводятся в любой современной клинике.
https://youtu.be/3AUznb9wlxc
Источник: https://afrodita-spa.ru/diagnostika/rentgen/pokazyvaet-li-flyuorografiya-bronhit
Поделиться:




