Рентгенография грудной клетки – один из наиболее информативных методов диагностики заболеваний дыхательной системы, включая пневмонию.
Он позволяет не только выявить патологический процесс, определить его локализацию и особенности, но и оценить эффективность проводимого лечения.
Как же выглядят рентгенологические признаки пневмонии на снимках, и как проводится рентгенография при данной патологии?
Пневмония представляет собой воспалительное заболевание, которое вызывают патогенные микроорганизмы – вирусы, бактерии, грибки.
Симптомы включают повышение температуры до 38-39 градусов, кашель, одышку, хрипы в грудной клетке, ухудшение общего самочувствия.
Сложность диагностики пневмонии заключается в том, что вышеперечисленные признаки характерны не только для воспаления легких, но и для других заболеваний – острого бронхита, плеврита, онкологических процессов и т.д.
Проходя сквозь ткани человеческого тела, они оставляют на поверхности пленки следы, из которых формируется изображение соответствующего органа.
По ней можно определить патологические изменения и составить полную картину разных заболеваний, в том числе воспалительных процессов в респираторных органах.
В число показаний к проведению рентгена грудной клетки входит кашель с обильным отделением мокроты, сильная лихорадка (38-39 градусов), озноб, боли в груди и другие признаки, которые могут свидетельствовать о патологических процессах в органах дыхательной системы.
ВАЖНО! Постановка диагноза при пневмонии должна основываться не только на рентгеновских снимках, но и на результатах выслушивания грудной клетки, анализов крови и мокроты и других методах обследования.
Существует два основных способа проведения процедуры – обычный (пленочный) рентген и цифровой, который позволяет получить более четкие и информативные снимки, а также снижает рентген-нагрузку на организм. Выбор методики зависит от оснащения конкретного медицинского учреждения – аппараты для цифровой диагностики есть далеко не во всех больницах и поликлиниках.
Рентгеновское и флюорографическое исследование имеют один и тот же принцип, но при диагностике пневмонии предпочтение отдается рентгену.
Флюорография позволяет выявить изменения в тканях легких на ранних стадиях, но не дает достаточно четкой рентгенологической картины для постановки точного диагноза.
Вместе с тем, коэффициент облучения при проведении процедуры гораздо меньше, чем при рентгеновском исследовании, поэтому флюорографию делают в профилактических целях, а рентген – непосредственно для диагностики патологических процессов при наличии соответствующих симптомов.
Пневмония имеет множество форм клинического течения, а очаги воспаления могут располагаться в любом сегменте легких, и в некоторых случаях определить заболевание по рентгенограмме бывает непросто, особенно если поражен небольшой участок органа. Если после проведения исследования у врача остаются сомнения, больному назначаются дополнительные диагностические процедуры – как правило, КТ или МРТ.
СПРАВКА! Труднее всего выявить пневмонию у детей, страдающих от иммунодефицитных состояний, поэтому в таких случаях ребенка лучше сразу направлять на КТ или МРТ.
После проведения рентгенографии снимки должен изучить специалист, и на основе полученных данных и результатов других исследований сделать соответствующие выводы и поставить диагноз. В норме легкие и бронхи человека выглядят следующим образом:
- легочные доли имеют одинаковый, равномерный черный оттенок;
- в районе сердца наблюдается белый просвет;
- ребра и ключицы серые, с привычными очертаниями;
- купола диафрагмы белого цвета;
- позвоночный столб расположен в центре.
Признаки пневмонии на рентгеновском снимке во многом зависят от формы заболевания и его стадии, а также от локализации патологического процесса. Если исследование показало признаки пневмонии, необходимо как можно скорее приступить к лечению – запущенный патологический процесс опасен не только для здоровья, но и для жизни человека.
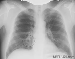
Первый признак пневмонии на рентгеновском снимке – появление очагов затемнения с неровными контурами в разных частях легкого, которые могут иметь разный размер, от 3-4-х до 12 мм.
Тени различают по внешнему виду (круглые, овальные кольцевидные) и интенсивности окраски – чем темнее пятно, тем сильнее выражен патологический процесс.
При поражении лимфатических узлов и нарушении кровоснабжения органа могут наблюдаться изменения корней легких, а если болезнь затронула плевру – нарушение в рисунке куполов диафрагмы. В остальном проявления пневмонии зависят от стадии, формы и клинических особенностей заболевания:
- Очаговая форма. На рентгене отображаются небольшие (1-1,5 см) тени со слабой или умеренной интенсивностью окраски, неоднородной структурой и нечеткими границами. Очаги поражения могут быть единичными или множественными, а в некоторых случаях они сливаются в одно большое пятно. Корни легких расширены, причем нарушения нормального рисунка органа могут сохраняться в течение нескольких дней после выздоровления.
- Крупозная пневмония. Наблюдаются изменения нормального легочного рисунка, жидкость в полости плевры, признаки инфильтрации одной из долей легкого, расширение корней. По мере развития воспалительного процесса выраженность изменений и интенсивность окраски затемнений усиливается.
- Интерстициальная форма. На снимке заметно уплотнение корней легких и другие изменения, которые формируют выраженный рисунок, напоминающий ветви дерева.
- Абсцедирующая пневмония. Проявляется обширным затемнением пораженной области, признаками утолщения плевры и наличием полостей разного размера, наполненных жидкостью.
- Аспирационная форма. Рентген характеризуется треугольными пятнами с однородной структурой, светлыми очагами и приподнятой диафрагмой.
ВАЖНО! Сложнее всего поддается диагностике очаговая пневмония – на первых стадиях она проявляется небольшими очагами инфильтрации, которые не всегда заметны на рентгене.
Воспалительный процесс при пневмонии протекает в несколько этапов, причем каждый из них характеризуется определенными изменениями на рентгеновских снимках.
- Стадия прилива. Первая стадия болезни продолжается от 12 до 72 часов и проявляется усилением кровообращения в легких, ухудшением их функций и образованием жидкости в альвеолах. На снимках наблюдается четкий рисунок органа, который напоминает решетку, размытость крайних точек и увеличение корней.
- Стадия опеченения. Ткани легких уплотняются, и становится похожей на ткани печени. Рисунок легких на данной стадии выражен не так интенсивно, на нем формируются темные пятна со светлыми полосами, корни органа расширены, причем особенно это заметно на пораженной стороне. По мере развития патологического процесса очаги воспаления затемняются, а наличие жидкости хорошо заметно на снимках.
- Стадия разрешения. Начало регенерации тканей легких: снижение интенсивности рисунка органа и окраски затемнений, исчезновение крупных элементов в месте поражения и признаков наличия жидкости.
СПРАВКА! Изменения в легочном рисунке могут присутствовать на протяжении нескольких недель после выздоровления.
В среднем рентгенологическое исследование рекомендуется проходить не более 1-2-х раз в год, но при пневмонии процедура проводится чаще, так как риск развития осложнений превышает опасность от радиационного облучения.
Как правило, рентген выполняется не менее 3-х раз – при постановке диагноза «пневмония», через 3-5 дней после начала терапии для контроля ее эффективности, а также после исчезновения клинических симптомов.
Повторные снимки после выздоровления больного надо делать для предупреждения осложнений и последствий заболевания – абсцессы легких, разрастание фиброзной ткани и т.д.
Относительными противопоказаниями к проведению процедуры являются беременность (особенно первый триместр) и тяжелое состояние больного.
Однако при наличии характерных симптомов процедура рекомендована всем без исключения, в том числе будущим мамам – для уменьшения негативного воздействия на плод живот беременной закрывают специальным фартуком, который не пропускает рентгеновские лучи.
Точно определить пневмонию без рентгеновского снимка практически невозможно – из-за отсутствия специфических симптомов слишком велика вероятность ошибки и неправильного лечения.
Ознакомьтесь подробно о рентгенографии при пневмонии на видео ниже:
Пневмония – опасное заболевание, которое при отсутствии соответствующей терапии может привести к серьезным последствиям. Единственным способом выявить патологические изменения в легких является рентген, поэтому не стоит пренебрегать данной процедурой – своевременное исследование поможет предотвратить угрозу не только для здоровья, но и для жизни больного.
Источник: https://med-kurator.com/organy-dyhaniya/pnevmoniya/diagnostika/rentgen-snimok.html
Рентгенография – один из основных и обязательных методов исследования, проведение которого необходимо при подозрении на пневмонию. Посредством рентгена подтверждается или исключается диагноз. Только так врач может увидеть полную картину развития заболевания и сделать необходимое заключение.
Повторные проведения рентгенографии позволяют отслеживать динамику патологического процесса, анализировать эффективность лечения, выявлять развитие осложнений. Рентгенодиагностика также проводится после лечения, чтобы оценить состояние легких после болезни.
Рентгенография области грудной клетки является методом передачи изображения легких на специальную пленку. Проецирование изображения осуществляется благодаря просвечиванию структур организма рентгеновскими лучами.
Базируется принцип рентгенографии на способности рентгеновских лучей проходить сквозь ткани человеческого организма.
Этот метод неинвазивный, процедура совершенно безболезненна (пациент ничего не чувствует), но рентгеновские лучи проходят сквозь ткани с разными показателями плотности по-разному.
Проецирование изображения анатомических структур на снимке осуществляется благодаря изменению интенсивности рентгеновского излучения при прохождении сквозь структуры и органы разной плотности.
При этом важно понимать, что рентгенограмма (рентгеновский снимок) является двухмерным изображением, при том, что любые исследуемые анатомические структуры – трехмерные объекты.
По этой причине, чтобы получить максимум информации о состоянии органа и оценить развитие пневмонии рентген принято делать в двух проекциях (передней и боковой). В попытках повысить результативность исследования, делают снимок в косой или диагональной проекции. Однако, подобное практикуется редко.
Рентгенография позволяет осуществлять детальное изучение определенных участков легкого, которые по мнению врача, вызывают подозрения. Для этого проводится фокусировка на интересующем участке и получается локализованное изображение очага воспаления.
В зависимости от метода проведения рентгена, выделяют:
- Обзорный – проводится рентген легких целиком.
- Прицельный – снимок определенного участка.
Что касается основных целей проведения рентгенодиагностики у взрослых людей с пневмонией, они следующие:
- Подтверждение диагноза, а также определение вида патологического процесса и масштабов поражения легочной ткани.
- Отслеживание динамики развития болезни с целью определить эффективность проводимого лечения.
- В целях отслеживания или предупреждения развития осложнений.
- Также рентген проводится после выздоровления, чтобы оценить структуру легких, предпринять меры по реабилитации пациента и устранению остаточных явлений после перенесенного заболевания.
Расшифровать данные рентгеновского снимка способен только опытный рентгенолог. Также необходимо знать, что основным рентгенологическим признаком воспаления легких является участок или участки затемнения легочного поля. Однако, здоровые легкие на снимке имеют темный цвет, в то время как затемнения являются белыми участками.
Теперь рассмотрим различные виды пневмонии на фото рентгеновских снимков.
Данному виду патологии свойственно поражение небольших участков легочной ткани.
Изображение очаговой пневмонии прослеживается плохо, затемнения могут быть средней или вовсе слабой интенсивности.
Размеры очагов поражения в среднем достигают полутора сантиметров, при отсутствии лечения их количество увеличивается. На фото ниже изображен пример правосторонней очаговой пневмонии.
Данной форме характерно формирование больших участков поражения легочной ткани. Патологический процесс может охватывать как одно, так и оба легких. На иллюстрации ниже показана тяжелая форма крупозной пневмонии.
При сегментарной форме происходит поражение целого сегмента легкого. При этом пораженный участок исключается из процессов газообмена, что приводит к серьезным затруднениям дыхательного процесса. На иллюстрации ниже изображена правосторонняя сегментарная пневмония.
Происходит поражение соединительной ткани, окружающей альвеолярные структуры и кровеносные сосуды легких. На снимке характеризуется формированием участка уплотнения малой интенсивности, может поражать обе доли дыхательного органа. На фото ниже множество светлых разводов в легочном рисунке говорят о наличии интерстициальной инфильтрации.
Важно! Многие задаются вопросом, может ли рентген не показать воспаление легких. К сожалению, такое возможно, но преимущественно на ранних стадиях развития воспаления, когда поражение легочной ткани незначительное.
Помимо понимания того, как на снимке выглядит тот или иной вид пневмонии, важно знать, что покажет исследование после перенесенного заболевания. В подобных случаях результаты рентгенологического исследования приобретают следующие изменения:
- Уменьшение площади поражения легочной ткани.
- Изменение цвета участков поражения от светлого к более темному.
- Если имелись крупные очаги воспаления, они уменьшаются.
- После перенесенной пневмонии отмечается увеличение корневой области легкого.
- Также на изображении проекции органа могут присутствовать следы рубцевания тканей.
Иными словами, рентгенодиагностика до и после болезни в значительной мере отличается. Однако изображение, полученное сразу после проведенной терапии, может не показать серьезных различий.
Дело в том, что для восстановления структур легкого требуется время, а также многое зависит от вида перенесенной пневмонии и степени ее прогрессирования.
Это значит, что нельзя с уверенностью сказать, каким должен быть снимок после выздоровления пациента. Каждый случай уникален.
Расшифровывая результаты рентгенологического исследования по снимку, специалист уделяет внимание любым патологическим изменениям.
Анализируется локализация очага воспаления, его размеры, форма, ограниченность.
При этом, если сравнивать рентген и флюорографию, первый метод диагностики является более информативным уже потому, что размеры проекционного изображения гораздо больше.
Еще одним неоспоримым плюсом рентгенографии является тот факт, что снимок делается в двух проекциях. Это позволяет обнаружить патологические изменения, которые могут быть не видны только в прямой проекции.
При «чтении» рентгенографического снимка врач принимает во внимание изменения по виду (зависят от размера), степени интенсивности затемнения и области поражения.
Деление очагов по видам следующее:
- мелкие – размером не более 2 мм,
- средние – 3-7 миллиметров,
- крупные – в пределах 8-11 миллиметров,
- фокусные – их размер начинается от 12 мм, но они могут охватывать весь орган.
Выделяют 3 вариации градации очагов по степени интенсивности:
- начальная степень воспаления – цвет очага темнее кости, но светлее здоровых участков легочной ткани,
- средняя степень воспаления – цвет очага примерно совпадает с отображение костей на рентгене,
- тяжелая степень – яркие светлые пятна или области в легочной проекции.
Касательно областей поражения, выделяют одностороннюю и двустороннюю пневмонию в соответствие с тем, в какой доле парного органа образовался воспалительный процесс. В описании рентгенограммы врач-рентгенолог фиксирует все показатели, после чего ставится основной диагноз (если не требуется дополнительной диагностики).
Рентгенодиагностика органов грудной клетки имеет одно неоспоримое преимущество – проведение процедуры не требует специальных приготовлений, помимо соблюдения элементарных правил гигиены. Однако, у этого исследования есть несколько противопоказаний:
- возраст пациента младше 14 лет,
- беременность,
- открытые кровотечения.
Обратите внимание! Перечисленные противопоказания не являются строгими, они лишь рекомендательные. Это значит, что, если для лечения беременной женщины или ребенка необходим рентген и от этого может зависеть жизнь пациента, то проведение диагностики возможно.
Несмотря на развитие медицины, рентгенография по сей день остается основными методом диагностирования воспаления легких. К рентгену прибегают в первую очередь, если присутствуют признаки развития пневмонии. Очень часто именно рентген является тем исследованием, которое даст необходимое представление о течении пневмонии и позволит врачу назначить лечение.
(2 4,50 из 5) Загрузка…
Источник: https://fok-zdorovie.ru/zabolevaniya-legkih/kak-vyglyadit-pnevmoniya-na-rentgene-opisanie-i-foto-snimkov
29.12.2019
Рентген легких при пневмонии является не только методом выявления заболевания, но и способом контроля динамики его течения при терапии. Существует несколько форм воспалительных изменений легких в зависимости от области распространения патологического процесса, рентгеносемиотика которых отличается.
Рентген-снимки при крупозной пневмонии характеризуются следующими синдромами:
- Обширное (тотальное) снижение прозрачности легочной ткани.
- Субтотальное затемнение – при локализации воспаления в пределах одной или двух долей легких.
- Ограниченное затемнение – инфильтративные изменения легочной ткани, не выходящие за пределы сегмента.
Вышеописанные признаки наблюдаются не только при крупозной пневмонии. Они прослеживаются также при: ателектазе, раке легких, плевритах, туберкулезных пневмонитах, инфаркте легкого.
Рентген пневмонии должен базироваться на дополнительных признаках постадийного течения воспалительных изменений в легочной ткани для достоверной установки диагноза.
Стадия прилива – начальный этап формирования крупозного воспаления легких. При ней на снимках наблюдаются следующие рентгенологические синдромы:
- Обогащение и усиление легочного рисунка.
- Сниженная или обычная прозрачность легочных полей.
- Расширение корня легкого на стороне поражения.
Изменение легочного рисунка возникает из-за повышения кровоснабжения на фоне снижения функциональной емкости легочной ткани. Снимок органов грудной клетки в такой ситуации выглядит как решетка. Правда, подобные изменения наблюдаются только в месте локализации воспалительного очага.
При повышении воздушности легочные поля на рентгенограмме становятся прозрачными. Морфологические срезы ткани на стадии прилива свидетельствуют о том, что альвеолы становятся красными из-за кровотечений, но рентгенологически данный признак зафиксировать невозможно.
Корень легкого становится расширенным, а его структурность снижается, что обусловлено сосудистой гипертензией.
Рентгенография органов грудной клетки в стадии серого опеченения способна зафиксировать следующие рентгеновские признаки пневмонии:
- Снижение прозрачности легочных полей в области воспалительного поражения.
- Появление интенсивных теней, соответствующих размерам поврежденной ткани.
- На фоне массивного затемнения полоски просветления – визуализация трахеи и бронхов, которые не поражены воспалением.
- Расширение корня на стороне патологии.
- Уплотнение плевральных листков в области воспаления.
- Выпот в плевральной щели при присоединении плеврита.
Диагностировать плеврит лучше при выполнении латерографии (экспозиция в положении пациента на больной стороне). При этом свободная жидкость будет растекаться вдоль реберной дуги, формируя горизонтальную полосу затемнения. Морфологические фото в стадии серого опеченения показывают скопление фибрина в полости альвеол.
рентгенограмма левосторонней прикорневой пневмонии. Стрелками обозначена деформация легочного рисунка и отсутствие структуры корня (а). Через 2 месяца после пневмонии на фоне воспаления образовались фиброзные тяжи — карнификация (б)
На рентгенограмме при пневмонии в стадии разрешения наблюдаются следующие признаки:
- Снижение интенсивности затемнения.
- Уменьшение размеров тени.
- Расширение корня.
- Обогащение легочного рисунка (множество мелких элементов на единицу площади) в месте существовавшего очага воспаления.
Расширенный корень легкого в стадии разрешения пневмонии может наблюдаться еще несколько месяцев подряд, пока анатомические структуры не восстановятся.
После излечивания плеврита на месте воспалительных очагов могут оставаться линейные тени фибринозных наслоений или рубцовые спайки, затрудняющие процесс дыхания.
Данные изменения и отражают морфологические фото легких в стадии разрешения пневмонии – в альвеолах нет инфильтрата, но фиброзные наложения могут оставаться.
Осложнения пневмонии – абсцессы, экссудативные и фибринозные плевриты, перисциссурит также имеют свои рентгенологические проявления на снимках легких.
Скиалогическая картина абсцесса на рентгенограмме:
- полость просветления;
- нечеткий округлый контур с перифокальными воспалительными очагами;
- уровень затемнения в проекции распада за счет инфильтрата;
- исчезновение горизонтального уровня при дренировании абсцесса.
При абсцедирующей пневмонии может наблюдаться несколько полостей распада легочной ткани, которые сливаются между собой.
Экссудативный плеврит на снимках проявляется следующими признаками:
- затемнение нижнего легочного поля за счет инфильтративной жидкости;
- верхняя косая граница Соколова-Дамуазо-Эллиса;
- смещение средостения в противоположную сторону.
Воспаление междолевой плевры (перисциссурит) врач-рентгенолог определяет по следующим рентгенологическим синдромам:
- четкость контура междолевой щели;
- выраженность просветов субсегментарных бронхов при инфильтрации легких;
- расширение корня на стороне поражения.
В статье рассмотрен классический пример рентгенодиагностики пневмоний на фоне крупозного воспаления. Существуют другие формы заболевания (очаговая, сегментарная, долевая), при которых приведенные рентгеновские синдромы выражены лишь частично.
Рентген является современным способом диагностики многих заболеваний дыхательной системы. Без него часто не обойтись при постановки диагноза пневмонии у детей.
Современная медицинская клиника использует рентген для уточнения вида и стадии воспаления легких и позволяет назначить более точное и эффективное лечение.
В ряде случаев без рентгена можно и обойтись. Так, при нетяжелой внебольничной пневмонии не всегда целесообразно проводить рентген-подтверждение пневмонии. В таких ситуациях важно сразу назначить антибактериальную терапию.
Рентгенография – это негативное изображение органа, отображаемое на фотопленке. Снимок получается за счет различных проекций, направленных на исследуемый участок организма. По изображению проводят оценку состояния органа и определяют патологии или проблемные зоны.
В современной медицине используют следующие виды рентгена для диагностики не только воспаления легких, но и других заболеваний:
- Томография – это исследование органа с помощью послойной рентгенографии. Для этого используют классический или спиральный компьютерный томограф.
- Рентгеноскопия – осмотр осуществляется при помощи специального рентгеновского экрана. Это позволяет рассмотреть анатомические характеристики органа и дать комплексную оценку функциональному состоянию.
- Флюорография – исследование органов грудной клетки с помощью получения уменьшенных в масштабе снимков. Количество лучей, которые проходят через организм пациента также уменьшено.
Чаще всего в современной клинической медицине назначают рентгенографию как оптимальный вариант для диагностики различных заболеваний.
Принцип работы данного устройства достаточно прост – лучевая трубка аппарата пускает пучок рентгеновских лучей, который проходит через тело пациента и проецирует изображение на специальной пленке.
Процесс напоминает метод получения фотографии, но благодаря тому, что органы человека по-разному пропускают лучи, в результате получаются снимки с различной негативной окраской.
Мягкие ткани отображаются серыми, полости имеют черный окрас, а кости на снимке получаются белыми (из-за поглощения излучения).
Различают 2 типа рентгенографии:
- обзорная (рассматриваются легкие в целом);
- прицельная (исследуют отдельный фрагмент органа).
Диагностика пневмонии у детей с помощью рентгена вызывает ряд некоторых трудностей. Связано это с небольшим объемом легочной ткани и большим количеством структурных элементов на маленькую площадь, которая подлежит исследованию. Из-за этого появляется сложность в правильной оценке легочного рисунка, а также диагностирования состояния легочных корней и лимфоузлов.
Самым распространенным признаком пневмонии у детей, которые проявляются на снимках, являются очаговые тени в нижних сегментах легких диаметром 1-2 мм.
Затемнения на снимках могут быть разными и их подразделяют так:
- 3 мм – маленькие;
- 4-7 мм – средние;
- 8-12 мм – крупные;
- 12 и больше мм – фокусные.
Поражения легких бывают таких форм:
При рентгенографическом исследовании каждый вид пневмонии выглядит по разному и таким образом заболевание можно диагностировать. Рассмотрим различные виды пневмоний, их изображения на снимках и пояснения.
Очаговая (или очагово-сливная) форма пневмонии – очаги инфильтрации имеют диаметр 0,5-1 см и локализуются в одном или нескольких сегментах легкого. Иногда поражения могут располагаться билатерально.
Легочная ткань воспаляется катарально, при этом в просвете образуются альвеолы серозного экссудата.
На снимке видны отдельные небольшие очаги поражения (1-1,5 см), расположенные в одном из легких (при билатеральной форме – в обоих). Заметным в данном случае будет расширение корней легких из-за наполнения жидким экссудатом.
При абсцедирующей пневмонии на снимке отчетливо видно тотальное затемнение области инфильтрации и уплотнение плевры; наблюдаются полости до 2 см, в которых скапливается гнойная жидкость.
При аспирационной пневмонии на рентген-снимке видны закупорки бронхов в виде треугольных теней. Диафрагма при этом приподнята.
Обследование с помощью рентгена назначается пациенту, когда появляются подозрения на воспаление легких. Причиной для направления на рентген могут выступать следующие симптомы:
- кашель («мокрый», с обильной влажностью и мокротой);
- хрипы при прослушивании легких;
- повышенный уровень лейкоцитов и лимфоцитов в крови.
Одновременно с рентгеном или перед этой процедурой проводят внешний осмотр больного и берут лабораторные анализы. С помощью рентген-снимков определяют воспалительные участки, локализацию очагов, изменения легочного рисунка и корней, а также патологию расположения диафрагмы.
Помимо рентген-снимков, картину заболевания исследуют и другими клиническими методами. Этиологическая диагностика – это исследование выделений из носа и зева (вирусологическое и бактериологическое). Кроме того проводят бакпосев мокроты. Внутриклеточные возбудители воспаления выявляют с помощью ИФА и ПРЦ.
Источник: https://sovr-med.ru/prochee/rentgen-zdorovyh-legkih-kak-vyglyadyat-snimki-s-patologiyami-i-bez.html
Рентгенограмма грудной клетки до сих пор остаётся «золотым стандартом» диагностики большинства патологий дыхательной системы.
Пневмония не является исключением, признаки патологии несложно обнаружить на снимке. Рентген важен для постановки точного диагноза, а также играет ключевую роль в дифференциальном исследовании. Важно иметь общее представление как выглядит пневмония у взрослых и детей.
Атипичная пневмония — собирательный термин, включающий инфекционно-воспалительные поражения тканей лёгких. Причинами являются нехарактерные возбудители — микоплазма, хламидия, легионелла, вирусы. Воспаление лёгких протекает с повышением температуры, одышкой, общим недомоганием.
Диагностировать патологический процесс можно при помощи рентгена. Так, для микоплазменной формы характерна неоднородная инфильтрация лёгочной ткани, она может определяться слабо или быть среднеинтенсивной.
При легионеллезной, на снимке видно уплотнения (инфильтраты) округлой формы, локализующиеся на поверхности одной доли лёгкого. В ряде случаев наблюдается слияние инфильтратов. У 25% пациентов одновременно с пневмонией определяется плеврит, с незначительным скоплением секрета в плевральной полости.
Правосторонняя бронхо- пневмония
Практически невозможно отличить пневмонию Legionella от других, основываясь на таком методе обследования. Присутствие легионеллы или хламидии подтверждается серологическим анализом крови.
Отдельное внимание стоит уделить воспалению неинфекционной этиологии. Одна из таких форм — инфаркт-пневмония, развивающаяся на фоне тромба, попавшего из лёгочной артерии в лёгкое. На рентгеновском изображении выступает как очаговое поражение с относительно чётким контуром.
Другой тип неинфекционного воспаления лёгочной ткани — аспирационный. Причиной выступает содержимое пищеварительного тракта, попавшее в дыхательные пути.
Этот тип патологии характеризуется многообразием симптомов, которые имитируют различные заболевания лёгких. Как правило, на снимке однородный очаг, контуры относительно чёткие.
С целью контроля лечения аспирационной пневмонии рекомендуется проходить повторный рентген.
Признаки воспаления лёгких на снимке называют «затемнениями», отображаются они белым цветом, поскольку само изображение является негативом.
Пятна и рентген-признаки:
- До 3 мм — мелкоочаговые.
- До 7 мм — среднеочаговые.
- До 12 мм — крупноочаговые.
- От 12 мм и более — фокусные.
Пневмония на снимке, в частности затемнения, характеризуются следующим образом:
- Распространённые. Визуализируют в пределах одного сегмента.
- Субтотальные. Затемнение большей части поля органа или нескольких сегментов.
- Тотальные. Патологический процесс охватывает всю область лёгочной ткани. Сильная пневмония слева
Важным этапом постановки диагноза остаётся отличие её от других заболеваний лёгких, коронавируса. Так, при бронхите будет отсутствовать затемнение на снимке, вместо этого — усиление лёгочного рисунка.
Усиление лёгочного рисунка
В случае присутствия инородного тела, наблюдается затемнение с чёткими краями, локализующееся в нижней доле лёгкого. Спутать с воспалением типичного характера сложно.
При плеврите, на снимке скопление экссудата в поражённой области. Плеврит выступает в качестве осложнения недолеченной пневмонии.
Рентгеновский снимок является основным обследованием, а в случае необходимости назначается компьютерная томография.
Пневмония на рентгенограмме у пациентов детского возраста не имеет выраженных отличий от взрослых, патология также характеризуется очагами просветления и затемнения. У детей в воспалительный процесс вовлекаются нижние отделы лёгких.
Рентгенография показывает следующее:
- очаговые затемнения диаметром 1-2 мм;
- увеличение внутригрудных лимфоузлов;
- деформация и усиление лёгочно-сосудистого рисунка;
- повышенная плотность затемнения (запущенная патология);
- в области патологического очага изменяется структура и размер лёгочного корня.
Хоть общая картина детского рентгена не различается от взрослого, некоторая разница имеется. Первое — повышенная реактивность функций иммунной системы.
Поэтому даже незначительный инфильтрат способен спровоцировать воспалительную реакцию на обеих долях лёгкого.
При постановке диагноза ребёнку можно ошибиться, что связано с небольшим объёмом лёгочной ткани и повышенным присутствием лёгочного рисунка.
Можно ли не проводить рентгенографию при воспалении лёгких? Действительно, диагностика при подозрении на пневмонию не является обязательным исследованием. Но отказ от рентгенограммы не даст врачу установить диагноз, а следовательно — назначить адекватное лечение.
Источник: https://osnimke.ru/organy-grudnoj-kletki/pnevmoniya-rentgen.html
Рентгенограмма – самый распространенный метод исследования при выявлении заболеваний дыхательных путей и органов грудной клетки. Дело в том, что рентгеновский снимок позволяет оперативно выявить изменения в органах грудной полости и своевременно начать лечение. Неудивительно, что при подозрении на пневмонию назначается рентгенограмма.
Пневмония на рентгене обычно видна очень хорошо. Лишь иногда для постановки диагноза приходится прибегать к другим методам исследования, когда нужно отличить бронхит и раннюю стадию пневмонии. Рентген в этом случае не всегда эффективен.
Рентген легких при пневмонии следует назначать сразу же после выявления хрипов у пациента. Но его обязательно нужно дополнить классическими бактериальными исследованиями для дифференциации диагноза.
Рентген при пневмонии очень эффективен, но назначать его все же следует только при появлении выраженных симптомов заболевания, так как лишнее рентгеновское излучение пользы организму не несет.
Рентгенологическое исследование назначается тогда, когда сильный кашель у пациента дополняется значительным отделением мокроты, повышением температуры тела.
Кроме того, анализы крови должны показывать явный лейкоцитоз, указывающий на развитие в организме воспалительного процесса.
При этом пневмония на рентгеновских снимках в зависимости от формы заболевания выглядит по-разному.
Очаговая и крупозная формы могут потребовать дополнительных рентгенограмм. По ним доктора отслеживают прогресс лечения болезни.
Как правило, рентген легких врачи назначают при первых подозрениях на развитие воспаления в органах дыхания. При этом врачи всегда учитывают общее состояние пациента. Они не забывают о том вреде, который может нанести рентгенография. Собственно, общее состояние пациента – это и есть единственное ограничение. Конкретных противопоказаний рентген легких не имеет.
Очаговая форма болезни проявляется легким лейкоцитозом, незначительными хрипами при дыхании и гипертермией. На начальном этапе развития заболевания его следы можно не обнаружить на рентгеновском снимке. Однако, опытный доктор может заподозрить заболевание по следующим косвенным признакам, видимым на снимках:
- Наличие теней.
- Признаки плеврита на рентгене.
- Увеличение размеров корня легкого.
- Нарушение структуры рисунка легочной ткани.
Проще всего пневмония на снимке выявляется в разгар болезни. На снимках становятся отчетливо видны очаги воспаления в виде темных пятен. Воспалительный процесс выгоняет из легочной ткани воздух, что делает ее более плотной. Появляются следующие признаки болезни:
- Отчетливые инфильтраты.
- Тени приобретают нечеткие контуры.
- На стороне пораженной доли легкого в плевре возможно появление жидкости, которая отлично видна на снимках.
На стадии выздоровления признаки заболевания на рентгене постепенно уходят:
- Исчезают инфильтраты.
- Признаки жидкости в плевре исчезают.
Стоит отметить, что даже после выздоровления на рентгене в течение нескольких месяцев все еще будет наблюдаться деформация рисунка легочной ткани.
При слиянии отдельных очагов воспаления легочной ткани возникает крупозная пневмония. Фото рентгеновского снимка, сделанного при этой форме заболевания, наглядно показывает отличия.
Как правило, при крупозной форме воспаления легких поражается одна или несколько долей легких сразу. Это создает серьезную угрозу жизни пациента.
На рентгене крупозная форма болезни проявляется следующими признаками:
- Ярко выраженные крупные тени, затрагивающие доли легкого целиком. Могут быть поражены оба легкого.
- Средостение смещается в сторону наиболее воспаленного легкого.
- На куполах диафрагмы отчетливо видны признаки деформации.
- Рисунок легочной ткани может не просматриваться.
Крупозная пневмония легче всего выявляется при рентгенологическом исследовании. Тем не менее для постановки точного диагноза врачи предпочитают делать рентгеновские снимки в двух проекциях. Это дает им возможность определить число пораженных воспалением сегментов органа и определить состояние средостения.
Атипичная форма болезни характеризуется тем, что ее клиническая картина не соответствует картине на рентгеновском снимке. Это создает некоторые трудности при постановке точного диагноза.
Самый яркий пример атипичной пневмонии – микоплазменная форма болезни. На снимке она проявляется значительным очагом поражения. В патологический процесс вовлекается целая доля. Однако, при этом температура тела у пациента повышается незначительно. Кашель его не душит. Вместо болей в легких он жалуется на боль в горле.
Особняком стоят неинфекционные пневмонии. Например, инфаркт-пневмония. Эта форма болезни развивается из-за проникновения в легкое тромба из легочной артерии. На снимке такое поражение имеет четкие контуры, из-за чего его можно спутать с инородным телом в легких.
Рентгенологическое исследование позволяет отличить воспаление легких от следующих заболеваний:
- Бронхит. При этом заболевании затенения легочной ткани на снимке нет, но в корнях легкого просматриваются тяжи соединительной ткани. Из-за этого его часто путают с прикорневым воспалением легочной ткани, которое на рентгене дает картину тяжелого бронхита.
- Наличие инородного тела. Если оно действительно попало в легкие, то его тень на снимке будет находиться в нижних отделах легкого, в то время как пневмония чаще зарождается в верхних отделах. Тем не менее инородное тело нередко путают с инфаркт-пневмонией.
- Плеврит. Эта патология в большинстве случаев появляется, если человек не лечил пневмонию либо лечил неправильно.
- Гемоторакс и пневмоторакс. У этих патологических состояний на снимках нет сходства с пневмонией, но есть один общий симптом – сильна боль в груди при дыхании.
У детей это заболевание на снимках выглядит немного иначе, чем у взрослых. Это объясняется тем, что организм ребенка реагирует на любое воспаление намного острее. Даже самый маленький инфильтрат может стать причиной крупозной формы болезни.
На рентгеновском снимке воспаление легкого у ребенка выглядит следующим образом:
- Очаги затенения локализуются в нижних отделах легких.
- Размеры инфильтратов очень маленькие. Чем выше их плотность, тем тяжелее болезнь.
- В средостении отмечается увеличение лимфатических узлов. Это отчетливо видно на рентгене.
- Участки поражения могут смазывать структуру корня легкого и полностью скрывать рисунок легочной ткани.
Из-за того, что у детей легочная ткань нередко вздувается без всякого воспаления, диагностировать пневмонию на начальных стадиях развития с помощью рентгеновских снимков бывает достаточно сложно. Кроме того, правильную диагностику при пневмонии у детей мешает поставить малый объем легочной ткани.
Поделиться:




