Пневмонии
Пневмония — инфекционное заболевание, характеризующееся воспалением легочной паренхимы и накоплением экссудата в просвете альвеол. В пораженном участке легкого развивается уплотнение (инфильтрат), в случае благоприятного исхода восстанавливается нормальная структура легочной ткани.
Основными возбудителями острых пневмоний являются прежде всего пневмококк, а также грамположительные кокки (золотистый стафилококк, В-гемолитический стрептококк), смешанная аэробная флора, грамотрицательные бактерии (кишечная палочка, палочка Пфейффера, протей) и др.
Острые пневмонии могут быть вызваны вирусами (в частности, гриппа, респираторным синцитиальным вирусом), микоплазмами, грибами, риккетсиями, хламидиями. Возможно сочетание нескольких возбудителей, например вирусов и бактерий.
Пути проникновения возбудителей в легкие различны: вдыхание из окружающего воздуха и аспирация носоглоточного содержимого, гематогенное распространение, травма грудной клетки или другое экзогенное повреждение легочной ткани (например, при бронхоскопии).
После попадания в легкие на микроорганизмы действует комплекс защитных реакций, обеспечивающий их удаление. Пневмония развивается при наличии нарушений в системе легочной защиты или у ослабленных пациентов: стариков, алкоголиков, больных с сопутствующими болезнями сердца, легких, почек, иммунодефицитами, после переохлаждения и т. д.
Крупозная (долевая) пневмония характеризуется поражением доли или нескольких долей легкого и вовлечением в процесс плевры.
Наиболее часто (до 90 % случаев) крупозную пневмонию вызывают пневмококки всех типов; значительно реже — клебсиелла, стафилококк, стрептококк. Мужчины болеют в 1,5 раза чаще, чем женщины.
В основе заболевания лежит гиперергическая реакция на пневмококки, которые присутствуют в носоглотке у 10-60 % здоровых людей.
Для развития крупозной пневмонии необходимы предрасполагающие факторы, например, изменения в системе легочной защиты, а также переохлаждение, хронические заболевания легких, сердца, опухоли, грипп и т.д.
Вовлечение в процесс плевры приводит к развитию плеврита.
Стадия уплотнения разделяется на две фазы: 1) красного опеченения (4-5-й дни болезни) — альвеолы заполняются фибринозным выпотом, содержащим большое количество эритроцитов и нейтрофилов, последние фагоцитируют пневмококки или другие бактерии, предотвращая дальнейшее распространение инфекции; 2) серого опеченения (6-7-й дни болезни) — в уплотненном легком содержатся в основном лейкоциты. Процесс фагоцитоза завершается. Во время стядии разрешения мигрирующие в альвеолы макрофаги удаляют остатки бактерий, фибрина, нейтрофилов и т.д., что в сочетании с отделением альвеолярного содержимого при кашле приводит к исчезновению экссудата и восстановлению нормальной анатомической структуры легкого.
Обычно заболевание начинается внезапно с сильного озноба, лихорадки, кашля, болей в грудной клетке, нередко после простудного заболевания. Озноб, длящийся несколько часов и сменяющийся жаром, больные переносят крайне тяжело, повторные ознобы свидетельствуют о развитии осложнений.
Лихорадка высокая — от 39,5° до 40С постоянного характера, сопровождается миалгиями, недомоганием, слабостью. Нередко наблюдаются головная боль, беспокойство бессонница, бред.
Мокрота вначале скудная, пенистая, беловатая, затем становится ржавой в результате примеси крови, поздней мутнеет от обилия лейкоцитов и фибрина. Ко времени разрешения пневмонии мокрота делается более жидкой и обильной, содержит мало лейкоцитов и эритроцитов.
Боль в грудной клетке может быть очень интенсивной, колюще-режущего характера, локализуется над пораженной долей легкого и резко усиливается при глубоком дыхании, кашле, надавливании на грудную клетку. Пациент нередко лежит на больном боку, чтобы уменьшить экскурсию ребер над областью плеврита.
Боль уменьшается также при сдавлении грудной клетки рукой или компрессом, разъединении листков плевры выпотом. Боль может иррадиировать в плечо или верхнюю область живота, в зависимости от локализации пораженного участка.
При осмотре нередко обнаруживают герпетические высыпания на губах «теплый» цианоз, увеличение частоты дыхания до 25 40 и даже 50 в минуту. Дыхание поверхностное, в акте дыхания участвуют дополнительные дыхательные мышцы.
Грудная клетка на пораженной стороне отстает при дыхании, ое дрожание усилено, при перкуссии отмечается притупление перкуторного звука, во время стадии прилива — притупление с тимпаническим оттенком. В стадию прилива над пораженной стороной на фоне ослабленного дыхания выслушивается крепитация (crepitatio indux).
В стадию уплотнения дыхание над пораженным легким становится бронхиальным, могут выслушиваться сухие хрипы, обусловленные сопутствующим бронхитом. С пораженной стороны усилена бронхофония. В стадию разрешения вновь появляется крепитация (crepitatio redux), дыхание становится жестким, а затем и везикулярным.
На аорте может выслушиваться систолический шум, обусловленный высоким ударным объемом сердца. В первые дни заболевания могут наблюдаться тошнота и рвота. Лихорадка сохраняется около недели и критически снижается на 5-9-й день. В это время больные жалуются на резкую слабость, изнуряющий пот, сердцебиение.
После снижения температуры тела одышка, частота сердечных сокращений уменьшаются, улучшается сон. Применение антибиотиков резко изменило течение крупозной пневмонии. Описанная выше классическая ее форма с 7-10-дневной лихорадкой в настоящее время уступила место абортивным формам с более легким и быстрым течением, характерным для очаговой пневмонии.
Рентгенологически при крупозной пневмонии выявляют интенсивное гомогенное затемнение, занимающее долю или целое легкое. В результате лечения эти изменения исчезают, в некоторых случаях рентгенологическая динамика отстает от клинической на несколько недель.
Лейкоцитоз крови может достигать 15-30109/л, в лейкоцитарной формуле преобладают нейтрофилы, в том числе незрелые формы, в которых обнаруживают токсическую зернистость. В тяжелых случаях возможна лейкопения, свидетельствующая о более серьезном прогнозе. СОЭ увеличена. При исследовании газового состава крови выявляют гипоксемию с гиперкапнией и респираторный алкалоз.
В мокроте много белка, фибрина, эритроцитов, лейкоцитов, при окраске мазков мокроты по Граму можно обнаружить пневмококки.
При очаговой пневмонии (бронхопневмония) инфекционный воспалительный процесс локализуется в бронхах и окружающей паренхиме, захватывая от одного до нескольких сегментов легких.
Бронхопневмония чаще возникает у больных, страдающих бронхоэктазами или хроническим бронхитом, а также пациентов с заболеваниями сердца, сахарным диабетом, опухолями.
Наиболее частыми причинами бронхопневмонии являются золотистый стафилококк, палочка Пфейффера, пневмококк.
› Пневмония
Рентгенография грудной клетки – один из наиболее информативных методов диагностики заболеваний дыхательной системы, включая пневмонию.
Он позволяет не только выявить патологический процесс, определить его локализацию и особенности, но и оценить эффективность проводимого лечения.
Как же выглядят рентгенологические признаки пневмонии на снимках, и как проводится рентгенография при данной патологии?
Пневмония представляет собой воспалительное заболевание, которое вызывают патогенные микроорганизмы – вирусы, бактерии, грибки.
Симптомы включают повышение температуры до 38-39 градусов, кашель, одышку, хрипы в грудной клетке, ухудшение общего самочувствия.
Сложность диагностики пневмонии заключается в том, что вышеперечисленные признаки характерны не только для воспаления легких, но и для других заболеваний – острого бронхита, плеврита, онкологических процессов и т.д.
Рентгеновское исследование основывается на сканировании внутренних органов с помощью специального аппарата, который излучает электромагнитные волны определенной длины.
Проходя сквозь ткани человеческого тела, они оставляют на поверхности пленки следы, из которых формируется изображение соответствующего органа.
По ней можно определить патологические изменения и составить полную картину разных заболеваний, в том числе воспалительных процессов в респираторных органах.
В число показаний к проведению рентгена грудной клетки входит кашель с обильным отделением мокроты, сильная лихорадка (38-39 градусов), озноб, боли в груди и другие признаки, которые могут свидетельствовать о патологических процессах в органах дыхательной системы.
ВАЖНО! Постановка диагноза при пневмонии должна основываться не только на рентгеновских снимках, но и на результатах выслушивания грудной клетки, анализов крови и мокроты и других методах обследования.
Существует два основных способа проведения процедуры – обычный (пленочный) рентген и цифровой, который позволяет получить более четкие и информативные снимки, а также снижает рентген-нагрузку на организм. Выбор методики зависит от оснащения конкретного медицинского учреждения – аппараты для цифровой диагностики есть далеко не во всех больницах и поликлиниках.
Рентгеновское и флюорографическое исследование имеют один и тот же принцип, но при диагностике пневмонии предпочтение отдается рентгену.
Флюорография позволяет выявить изменения в тканях легких на ранних стадиях, но не дает достаточно четкой рентгенологической картины для постановки точного диагноза.
Вместе с тем, коэффициент облучения при проведении процедуры гораздо меньше, чем при рентгеновском исследовании, поэтому флюорографию делают в профилактических целях, а рентген – непосредственно для диагностики патологических процессов при наличии соответствующих симптомов.
Пневмония имеет множество форм клинического течения, а очаги воспаления могут располагаться в любом сегменте легких, и в некоторых случаях определить заболевание по рентгенограмме бывает непросто, особенно если поражен небольшой участок органа. Если после проведения исследования у врача остаются сомнения, больному назначаются дополнительные диагностические процедуры – как правило, КТ или МРТ.
СПРАВКА! Труднее всего выявить пневмонию у детей, страдающих от иммунодефицитных состояний, поэтому в таких случаях ребенка лучше сразу направлять на КТ или МРТ.
После проведения рентгенографии снимки должен изучить специалист, и на основе полученных данных и результатов других исследований сделать соответствующие выводы и поставить диагноз. В норме легкие и бронхи человека выглядят следующим образом:
- легочные доли имеют одинаковый, равномерный черный оттенок;
- в районе сердца наблюдается белый просвет;
- ребра и ключицы серые, с привычными очертаниями;
- купола диафрагмы белого цвета;
- позвоночный столб расположен в центре.
Признаки пневмонии на рентгеновском снимке во многом зависят от формы заболевания и его стадии, а также от локализации патологического процесса. Если исследование показало признаки пневмонии, необходимо как можно скорее приступить к лечению – запущенный патологический процесс опасен не только для здоровья, но и для жизни человека.
Первый признак пневмонии на рентгеновском снимке – появление очагов затемнения с неровными контурами в разных частях легкого, которые могут иметь разный размер, от 3-4-х до 12 мм.
Тени различают по внешнему виду (круглые, овальные кольцевидные) и интенсивности окраски – чем темнее пятно, тем сильнее выражен патологический процесс.
При поражении лимфатических узлов и нарушении кровоснабжения органа могут наблюдаться изменения корней легких, а если болезнь затронула плевру – нарушение в рисунке куполов диафрагмы. В остальном проявления пневмонии зависят от стадии, формы и клинических особенностей заболевания:
- Очаговая форма. На рентгене отображаются небольшие (1-1,5 см) тени со слабой или умеренной интенсивностью окраски, неоднородной структурой и нечеткими границами. Очаги поражения могут быть единичными или множественными, а в некоторых случаях они сливаются в одно большое пятно. Корни легких расширены, причем нарушения нормального рисунка органа могут сохраняться в течение нескольких дней после выздоровления.
- Крупозная пневмония. Наблюдаются изменения нормального легочного рисунка, жидкость в полости плевры, признаки инфильтрации одной из долей легкого, расширение корней. По мере развития воспалительного процесса выраженность изменений и интенсивность окраски затемнений усиливается.
- Интерстициальная форма. На снимке заметно уплотнение корней легких и другие изменения, которые формируют выраженный рисунок, напоминающий ветви дерева.
- Абсцедирующая пневмония. Проявляется обширным затемнением пораженной области, признаками утолщения плевры и наличием полостей разного размера, наполненных жидкостью.
- Аспирационная форма. Рентген характеризуется треугольными пятнами с однородной структурой, светлыми очагами и приподнятой диафрагмой.
ВАЖНО! Сложнее всего поддается диагностике очаговая пневмония – на первых стадиях она проявляется небольшими очагами инфильтрации, которые не всегда заметны на рентгене.
Воспалительный процесс при пневмонии протекает в несколько этапов, причем каждый из них характеризуется определенными изменениями на рентгеновских снимках.
- Стадия прилива. Первая стадия болезни продолжается от 12 до 72 часов и проявляется усилением кровообращения в легких, ухудшением их функций и образованием жидкости в альвеолах. На снимках наблюдается четкий рисунок органа, который напоминает решетку, размытость крайних точек и увеличение корней.
- Стадия опеченения. Ткани легких уплотняются, и становится похожей на ткани печени. Рисунок легких на данной стадии выражен не так интенсивно, на нем формируются темные пятна со светлыми полосами, корни органа расширены, причем особенно это заметно на пораженной стороне. По мере развития патологического процесса очаги воспаления затемняются, а наличие жидкости хорошо заметно на снимках.
- Стадия разрешения. Начало регенерации тканей легких: снижение интенсивности рисунка органа и окраски затемнений, исчезновение крупных элементов в месте поражения и признаков наличия жидкости.
СПРАВКА! Изменения в легочном рисунке могут присутствовать на протяжении нескольких недель после выздоровления.
В среднем рентгенологическое исследование рекомендуется проходить не более 1-2-х раз в год, но при пневмонии процедура проводится чаще, так как риск развития осложнений превышает опасность от радиационного облучения.
Как правило, рентген выполняется не менее 3-х раз – при постановке диагноза «пневмония», через 3-5 дней после начала терапии для контроля ее эффективности, а также после исчезновения клинических симптомов.
Повторные снимки после выздоровления больного надо делать для предупреждения осложнений и последствий заболевания – абсцессы легких, разрастание фиброзной ткани и т.д.
Относительными противопоказаниями к проведению процедуры являются беременность (особенно первый триместр) и тяжелое состояние больного.
Однако при наличии характерных симптомов процедура рекомендована всем без исключения, в том числе будущим мамам – для уменьшения негативного воздействия на плод живот беременной закрывают специальным фартуком, который не пропускает рентгеновские лучи.
Точно определить пневмонию без рентгеновского снимка практически невозможно – из-за отсутствия специфических симптомов слишком велика вероятность ошибки и неправильного лечения.
Ознакомьтесь подробно о рентгенографии при пневмонии на видео ниже:
Пневмония – опасное заболевание, которое при отсутствии соответствующей терапии может привести к серьезным последствиям. Единственным способом выявить патологические изменения в легких является рентген, поэтому не стоит пренебрегать данной процедурой – своевременное исследование поможет предотвратить угрозу не только для здоровья, но и для жизни больного.
Рентгенограмма – самый распространенный метод исследования при выявлении заболеваний дыхательных путей и органов грудной клетки. Дело в том, что рентгеновский снимок позволяет оперативно выявить изменения в органах грудной полости и своевременно начать лечение. Неудивительно, что при подозрении на пневмонию назначается рентгенограмма.
Пневмония на рентгене обычно видна очень хорошо. Лишь иногда для постановки диагноза приходится прибегать к другим методам исследования, когда нужно отличить бронхит и раннюю стадию пневмонии. Рентген в этом случае не всегда эффективен.
Рентген легких при пневмонии следует назначать сразу же после выявления хрипов у пациента. Но его обязательно нужно дополнить классическими бактериальными исследованиями для дифференциации диагноза.
Рентген при пневмонии очень эффективен, но назначать его все же следует только при появлении выраженных симптомов заболевания, так как лишнее рентгеновское излучение пользы организму не несет.
Рентгенологическое исследование назначается тогда, когда сильный кашель у пациента дополняется значительным отделением мокроты, повышением температуры тела.
Кроме того, анализы крови должны показывать явный лейкоцитоз, указывающий на развитие в организме воспалительного процесса.
При этом пневмония на рентгеновских снимках в зависимости от формы заболевания выглядит по-разному.
Очаговая и крупозная формы могут потребовать дополнительных рентгенограмм. По ним доктора отслеживают прогресс лечения болезни.
Как правило, рентген легких врачи назначают при первых подозрениях на развитие воспаления в органах дыхания. При этом врачи всегда учитывают общее состояние пациента. Они не забывают о том вреде, который может нанести рентгенография. Собственно, общее состояние пациента – это и есть единственное ограничение. Конкретных противопоказаний рентген легких не имеет.
Очаговая форма болезни проявляется легким лейкоцитозом, незначительными хрипами при дыхании и гипертермией. На начальном этапе развития заболевания его следы можно не обнаружить на рентгеновском снимке. Однако, опытный доктор может заподозрить заболевание по следующим косвенным признакам, видимым на снимках:
- Наличие теней.
- Признаки плеврита на рентгене.
- Увеличение размеров корня легкого.
- Нарушение структуры рисунка легочной ткани.
Проще всего пневмония на снимке выявляется в разгар болезни. На снимках становятся отчетливо видны очаги воспаления в виде темных пятен. Воспалительный процесс выгоняет из легочной ткани воздух, что делает ее более плотной. Появляются следующие признаки болезни:
- Отчетливые инфильтраты.
- Тени приобретают нечеткие контуры.
- На стороне пораженной доли легкого в плевре возможно появление жидкости, которая отлично видна на снимках.
Источник: https://doctormitrakov.ru/pnevmoniya/pnevmoniya-rentgen-snimki
Пневмония на рентгене отличается в зависимости от ее вида. Сравнивая снимки, врач не только назначит или скорректирует терапию, но и проконтролирует развитие болезни и сможет убедиться в эффективности лечения.
Эффективность рентгена легких при подозрении на пневмонические заболевания определяется своевременностью назначения такого исследования. Между тем при начилии клинических симптомов, только рентгеновский снимок может показывать признаки, характерные для пневмонии. Другого способа, который смог бы выявлять это заболевание, на сегодняшний день не существует.
Если же рентгенография назначается при хрипах, но с нормальными клиническими анализами, снимок может быть неинформативен.
Основные показания для проведения первичной рентгенологии:
- повышенная температура, лихорадка, озноб;
- кашель;
- обильная мокрота;
- тяжёлое дыхание, одышка;
- герпес на щеках, вокруг носа;
- высокий показатель лейкоцитов на общем анализе крови;
- возможные воспалительные процессы органов дыхания.
У детей показания немного отличаются, поскольку воспаление начинается быстро и протекает в острой форме. Это обосновывается небольшими размерами лёгких, слабым иммунитетом. Возможно отсутствие кашля, температуры – в таких случаях рекомендуют обращать внимание на дыхание ребёнка, наличие свистов и одышки.
Показания для проведения повторного рентгена:
- при диагностике крупозной и очаговой пневмонии рентген назначают повторно, чтобы определить темп развития сомнительных потемнений лёгких;
- чтобы убедиться в отсутствии остаточных явлений после болезни.
После получения рентгенограммы выдают заключение, которое расшифровывает лечащий врач.
Оценивают видимые на рентгеновском снимке тени:
- количество;
- форму;
- область распространения;
- положение.
Белые участки на негативном изображении рентгеновского снимка – это локализация воспалений.
Затемнения делят на следующие виды:
- мелкие (до 2 мм);
- средние (от 3 до 7 мм);
- крупные (около 10 мм);
- фокусные (больше 12 мм, могут распространяться на все лёгкое).
Кроме того, затемнения бывают разной интенсивности – чем темнее цвет, тем меньше пневматизация данной области:
- темнее костей – слабое воспаление;
- совпадает по цвету с костными тканями – средняя степень;
- светлая область – высокий уровень.
По степени поражения воспаления подразделяют на два вида:
- одностороннюю, которая поражает 1 лёгкое;
- двустороннюю, затрагивающую оба лёгких.
Очаговый вид или бронхопневмония – поражает малую часть лёгкого, образуя очаг воспаления. Тень на снимках средней или низкой интенсивности, размером около 1,5 см. Очагов может быть несколько, их количество растёт при отсутствии терапии, затрагивая области сверху и снизу. Границы очагов размыты, не имеют чёткого края.
Рентген может не показать очаговое воспаления лёгких, так как начальные стадии могут характеризоваться слабым потемнением.
Рентгенологи предполагают заболевание по следующим проявлениям:
- обнаружено изменение образа лёгких на небольшом участке;
- увеличивается размер корня лёгкого;
- появляются патологические нечёткие тени на некоторых областях тканей.
Для интерстициального типа пневмоцистоза характерны такие описания, как:
- уплотнения клетчатки бронхов;
- перилобулярные тени;
- расширение сосудистого пучка бронхов;
- прикорневые уплотнения похожи на расширения корней лёгких.
Крупозный или долевой вид пневмонии характеризуется большими потемнениями средней интенсивности, поражающими одну или обе доли лёгких.
Выделяют следующие признаки, видимые при расшифровке снимков:
- тени на одной или двух сторонах;
- смещение пространства среднего отдела грудной клетки к области воспаления;
- сильная деформация рисунка лёгких;
- заполнение лёгочного пространства жидкостью;
- изменение куполов диафрагмы;
- расширенные корни лёгких.
Для точной диагностики крупозного воспаления проводят прямую и боковую рентгенографию для оценки тяжести поражения лёгочных долей.
Казеозная пневмония развивается под влиянием туберкулёзной инфекции.
Эта форма заболевания характеризуется:
- наличием участков инфильтрации (уплотнения);
- образованием полостей;
- появлением неровных пустот.
Это позволяет дать точное определение диагнозу, уточнить тип пневмоцисты.
Для начальной стадии пневмонии характерны такие признаки:
- повышение интенсивности и четкости легочного рисунка;
- легкое затемнение легочных полей в области локализации патологических изменений;
- увеличение площади корня легкого с одновременной потерей его структурности.
Вследствие увеличения кровенаполнения легких снимок грудной клетки, на первой стадии болезни, напоминает решетку (сотовое легкое).
Осложнениями называют разные формы абсцессов и плевритов, а также перисциссурит, которые проявляются на рентгеновских снимках.
Также при абсцедирующей форме пневмонии на рентгене могут отображаться распады тканей лёгких (они сливаются между собой).
Заметить плеврит на снимке можно:
- по затемнению полей лёгких (за счёт обилия внутренней жидкости);
- по смещению средостения.
Воспаление плевры обозначено чёткими контурами щели между долями, расширенным лёгочным корнем ближе к очагу поражения.
Рентгенологический снимок на стадии излечения характеризуется такими особенностями:
- снижение интенсивности или площади затемнения;
- изменение рисунка легкого в местах наибольшего поражения;
- исчезновение крупных очагов и появление мелких;
- расширенный корень легкого;
- рубцовые образования на легочной ткани;
- отсутствие горизонтального затемнения.
Отличительные признаки атипичной формы пневмоцистоза при рентгеноскопии:
- размытые нечёткие тени;
- деформация рисунка сосудов, изменения ветвей бронхов;
- иногда встречаются двусторонние очаговые воспаления;
- затемнения округлой формы.
Видимые изменения на снимке могут быть заметны даже после 4 недель лечения.
Детская рентгенография при вирусной или пневмоцистной пневмонии отличается от взрослой. Делать снимок и расшифровывать его необходимо как можно скорее, поскольку даже мелкие воспаления быстро разрастаются, проводя к крупозной форме, затрагивающей оба лёгких.
Рентгенологическая картина у детей выглядит так:
- небольшие, 1-2 мм, локальные потемнения в нижней части лёгких;
- плотные пятна при глубоком воспалении;
- увеличение лимфоузлов средних отделов грудной клетки не отображается на снимке;
- нарушения рисунка после исчезновения теней сохраняются ещё неделю;
- плотные участки воспаления перекрывают лёгочный рисунок.
У детей часто наблюдается вздутие тканей лёгких. Это затрудняет рентгенодиагностику, которая не покажет некоторые разновидности болезни.
Загрузка …
На фото видны признаки пневмонии:
- светлые полости;
- размытые контуры воспалительных очагов;
- затемнения за счёт уплотнений.
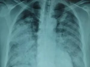
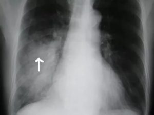
Сравнение здоровых и воспаленных легких на рентгенографии Абсцесс лёгких на рентгеновском снимке Абсцесс при левостороннем верхнедолевом воспалении лёгких Очаговая пневмония Крупозная пневмония на рентгене Казеозная пневмония
Узнать подробнее, как проводят рентген при пневмонии можно из видео канала «Анатомия человека»
Источник: https://hromosoma.com/rentgen/pnevmoniya-na-rentgene-10359/
Заболевания, связанные с органами дыхательной системы, возникают в жизни абсолютно каждого человека, но их объединяет один важных принцип, суть которого заключается в том, что справиться с недугом будет легче всего, если вовремя обратиться к квалифицированному специалисту, который не только проведёт обыкновенный осмотр, но и выпишет направление на диагностическую процедуру лёгких. Таким образом, можно будет очень быстро и точно поставить грамотный диагноз, от которого и будет зависеть вся предстоящая терапия. Давайте разберем в данном материале такой диагностический метод, как рентген легких при пневмонии ребенку и взрослому человеку, ведь данное заболевание крайне распространено.
Пневмония представляет собой воспаление ткани одного или даже двух лёгких. Данное заболевание в большинстве ситуаций имеет инфекционное происхождение, а также при нём происходит поражение альвеол.
В наше время, когда особую популярность набрали такие диагностические методы, как компьютерная томография и магнитно-резонансная томография, про обыкновенный рентген практически все забыли. Действительно, он значительно уступает этим исследованием по эффективности (информативности и точности снимков) и безопасности, так как доза облучения у него достаточно велика.
Несмотря на это, рентгеноскопия может быть достаточно эффективной в некоторых ситуациях для постановки грамотного диагноза, например, при пневмонии. Стоит упомянуть и про то, что такой метод обследования является крайне дешевым, а в большинстве ситуаций и вовсе бесплатным (для этого только необходимо получить направление на проведение рентгенографии в вашей поликлинике).
Перед тем, как назначить рентген снимок легких при пневмонии, врач оценивает состояние больного.
К сожалению, в некоторых селах или даже деревнях полностью отсутствует подобное оборудование, поэтому лечение в большинстве ситуаций является полностью не эффективным или даже опасным.
Дело в том, что воспаление легких можно очень легко перепутать с другими заболеваниями, например, с туберкулезом, поэтому для постановки диагноза очень важно делать рентген.
Что же касается самой пневмонии, то она появляется из-за попадания в легкие различных возбудителей, причём это далеко не всегда бактерии, возбудителями могут также являться вирусы и грибки. По этой причине лечение осложняется еще и необходимость выбора лекарственных препаратов.
Если же рентген не выявил каких-либо изменений в легких, а опасные симптомы (кашель, хрипы, одышка) всё ещё остаются, то, скорее всего, проблема заключается в бронхите или в других аналогичных болезнях.
В любом случае диагноз должен ставить только квалифицированный специалист с большим опытом работы.
Давайте рассмотрим и основные показания к проведению рентгена, ведь он всё же несет в себе лучевую нагрузку, подвергать человека который без серьезных причин категорически запрещается. Вот основные проявления, при наличии которых врачи нередко отдают предпочтение именно этому диагностическому методу:
- кашель, который практически всегда сопровождается обильным отделением мокроты;
- появление одышки по непонятным причинам;
- озноб, а также лихорадка, сопровождаемая значительным повышением температуры тела;
- симптомы герпесной инфекции (её проявления возникают в районе носа и щек);
- значительное увеличение уровня лейкоцитов в крови человека.
Важно понимать, что также могут быть назначены следующие диагностические процедуры:
- рентгеноскопия, захватывающая не только легкие, но и межреберное пространство (таким образом, специалист получает возможность оценки степени подвижности тканей);
- компьютерная томография, которая позволяет тщательно проконтролировать распространение проблемы по всему организму.
Обратите внимание! Конечно, существует еще масса вариантов, применяемых для диагностики пневмонии и подобных заболеваний. Но в большинстве ситуаций всё же назначают рентгеновские снимки, описание которых поможет специалистам сделать некоторые выводы и при необходимости назначить другое обследование.
Противопоказаний к рентгенограмме на сегодняшний день не выявлено.
В первую очередь пневмонию всегда классифицируют на несколько типов распространения:
- очаговое воспаление (в таком случае поражается только небольшой участок ткани легких);
- сегментарное воспаление (в такой ситуации происходит поражение нескольких сегментов);
- долевое воспаление (такая пневмония захватывает определённую долю лёгкого и называется крупозной);
- тотальное воспаление (пневмония такого рода наиболее опасна и редка, она захватывает всё лёгкое).
Что же касается признаков пневмонии на рентгенограмме, то они различаются в зависимости от следующих видов:
- очаговая;
- крупозная;
- интерстициальная.
Отметим, что все изменения, которые будут выявлены на рентгене, немного отстают от клинических проявлений заболеваний.
На рентген-снимке показана очаговая пневмония.
Такая разновидность пневмонии характеризуется поражением соединительной ткани, расположенной вокруг структур альвеолярного характера. Также страдает ткань кровеносных сосудов, находящихся в легких. Вот основные особенности интерстициальной пневмонии:
- корень легкого значительно расширяется;
- происходит перибронхиальная и периваскулярная инфильтрация, что практически всегда приводит к деформации сосудистого рисунка лёгких и к неравномерному его усилению;
- появляются полупрозрачные затемнения;
- появляются изменения, локализующихся внизу легких;
- иногда появляется тяжистость из-за уплотнения междольковых перегородок.
Атипичная пневмония легких на снимке.
Атипичная пневмония встречаются достаточно редко, а такое название она получила из-за необычных возбудителей этого заболевания (к ним можно отнести хламидию, клебсиеллу и микоплазму).
Также атипичная пневмония имеет и своеобразные особенности проявления. Обычные симптомы пневмонии в этом случае будут не так выражены, над ними будет преобладать дыхательная недостаточность (вы будете чувствовать, что воздуха не хватает).
Вот основные признаки атипичной пневмонии, которые можно увидеть на снимках:
- тени будут размыты, а затемнение ткани легкого будет носить неоднородный характер;
- атипичная пневмония нередко носит двусторонний характер, то есть проявления наблюдаются в обоих легких;
- происходит резкая деформации, связанная с бронхиальным или даже сосудистым рисунком;
- появляется округлое затемнение.
Обратите внимание! Современная медицина позволяет крайне быстро и эффективно вылечить пневмонию любого вида. Важно только слушать всё то, что скажет вам специалист, выполняя все его рекомендации, иначе могут возникнуть серьёзнейшие последствия.
Особую опасность представляет пневмония, поразившая легкие ребёнка. Такое заболевание вылечить сложнее всего, но если вовремя сделать рентген и следовать рекомендациям врача, то опасности для жизни болезнь всё же не представляет. Вот основные признаки, которые наблюдаются на рентгене при пневмонии у детей:
- наличие небольших теней очагового характера;
- значительное увеличение плотности любых затемнений, когда заболевание только прогрессирует;
- значительное увеличение и уплотнение лимфатических узлов, расположенных неподалеку;
- значительное усиление и деформация сосудистого рисунка лёгких;
- существенные изменения корня легкого на той стороне, которая была подвержена пневмонии (изменения связаны и с размерами и со структурой).
Характерной особенностью этого заболевания у детей является то, что изменения на рентгеновских снимках наблюдаются на протяжении длительного времени даже после клинического выздоровления.
Важно! Восстановление ткани лёгких у детей происходит дольше, нежели у взрослых. Обязательно направляйте ребенка на лечение туда, куда порекомендует вам специалист!
Диагностика пневмонии легких при помощи рентгенаСсылка на основную публикацию
Источник: https://tomografa.net/rentgen/grudnaya-kletka/pri-pnevmonii-legkih.html
Поделиться:



