Кровотечение всегда свидетельствует о повреждении сосудистой стенки. В некоторых случаях оно неопасно, в других – представляет угрозу для жизни и здоровья. С кровотечениями люди сталкиваются часто. В большинстве случаев при травмах, порезах, лечении зубов. Подобные ситуации считаются привычными и не вызывают паники. Совсем другое — это кровь изо рта. Подобный симптом может свидетельствовать о множестве тяжелых заболеваний. Среди них – рак легкого, туберкулез, язва желудка и т. д. При появлении даже небольшого количества крови следует обратиться к врачу немедленно. Не стоит паниковать в подобной ситуации, так как это может лишь ухудшить состояние больного. Также нельзя приступать к каким-то манипуляциям самостоятельно. Выяснить причину данного симптома и помочь человеку сможет только специалист.
Разновидности кровотечений изо рта
Кровь изо рта не всегда связана с болезнями легких, как думают многие. Существует множество различных факторов, приводящих к развитию этого симптома. В зависимости от источника повреждения, выделяют:
- Кровотечение из полости рта. Оно связано с повреждением слизистых оболочек, десен.
- Кровотечение из дыхательных путей. Считается самым опасным и часто приводит к гибели больных. Стоит отличать его от кровохарканья. Этот симптом наблюдается при туберкулезе и опухолевых заболеваниях бронхолегочной системы. Он характеризуется выделением до 50 мл крови при кашле. Несмотря на то, что данный симптом менее опасен, при его развитии тоже стоит срочно обратиться к врачу.
- Кровотечение из внутренних органов. Имеется в виду желудок и пищевод. При повреждении сосудов в этих органах кровь попадает в глотку, а затем – в полость рта.
Симптом может быть единственным признаком патологии или сочетаться с другими патологическими реакциями. Среди них – кашель и рвота. В зависимости от источника повреждения, выделяют венозные, артериальные и капиллярные кровотечения. Иногда нарушается целостность сразу нескольких сосудов.
Кровь изо рта: причины возникновения
К причинам возникновения крови во рту могут относиться как незначительные повреждения слизистых оболочек, так и серьезные заболевания органов дыхательной и пищеварительной системы. Чтобы выявить этиологию, доктора обращают внимание на сопутствующие клинические проявления, а также выясняют факторы, предшествующие возникновению симптома. Вследствие чего может появиться кровь изо рта? Причины развития симптома могут быть следующими:
- Туберкулез легких. Данное заболевание известно с давних времен. Раньше туберкулез диагностировали слишком поздно, при этом основным признаком патологии было кровохарканье. В настоящее время подобный симптом при своевременном лечении развивается редко.
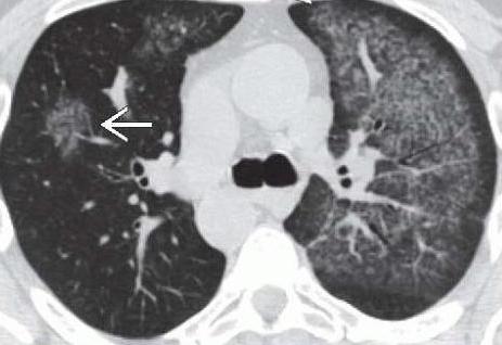
- Рак легкого. Эта патология распространена среди курящих людей пожилого возраста. В большинстве случаев рак диагностируют у мужчин.
- Повреждение слизистых оболочек рта.
- Язвенная болезнь желудка.
- Повреждение слизистой оболочки пищевода.
- Осложнение цирроза печени.
- Онкологические заболевания полости рта.
- Отравление различными химическими веществами (кислоты, щелочи).
- Синдром Маллори — Вейсса. Развивается у больных, страдающих алкоголизмом.
- Патологии крови (гемофилия, тромбоцитопеническая пурпура).
Кровь из горла может появиться при воспалительных заболеваниях миндалин, рото- и носоглотки. Иногда данный симптом свидетельствует о хроническом заболевании десен.
Повреждение слизистых оболочек
При различных заболеваниях механизм развития симптома в большинстве случаев ясен. Но почему изо рта идет кровь у здорового человека? В большинстве случаев это связано с повреждением поверхности слизистой оболочки. Незначительное капиллярное кровотечение возникает при прикусывании внутренней поверхности щек, языка, губ. Симптом часто развивается после проведения стоматологических манипуляций. В большинстве случаев подобным образом появляется кровь изо рта у ребенка. Дети часто прикусывают губу и щеки после анестезии, так как ткани теряют чувствительность.
При сильном воспалении миндалин кровь часто определяется при промывании горла. Также красные прожилки в мокроте иногда отмечаются у больных фарингитом. Подобный симптом свидетельствует о незначительном повреждении сосудов глотки. Подобные патологии не сопровождаются опасными кровотечениями. Тем не менее рекомендуется провериться. Кровь из горла может указывать на онкологические заболевания ротовой полости. Повреждение десен тоже бывает опасным. В некоторых случаях оно свидетельствует о развитии таких болезней, как тромбоцитопеническая пурпура, гемофилия или цинга.
Кровотечение при патологии легких
К наиболее часто встречающимся легочным патологиям, которые осложняются кровотечением, относят туберкулез, рак и бронхоэктатическую болезнь. Все эти недуги очень опасны и требуют длительного лечения в специализированных учреждениях. Легочное кровотечение свидетельствует о прогрессирующем кавернозном туберкулезе. Зачастую оно возникает на фоне приступа кашля.
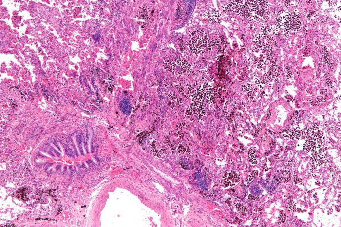
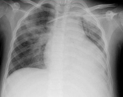
При раке легкого кровотечение свидетельствует о распаде опухоли и повреждении сосудов. Остановить его бывает очень сложно. Особо опасно профузное кровотечение, при котором выделяется 500 мл биологической жидкости. Подобный симптом может закончиться летальным исходом. Помимо того что идет кровь изо рта, пациенты жалуются на затруднение дыхания, кашель, потерю веса.
Бронхоэктатическая болезнь относится к прогрессирующим деструктивно-воспалительным патологиям легких. Она характеризуется постоянным кашлем с отделением гнойной мокроты и отдышкой. Диагностируется в детском или молодом возрасте. При выраженном повреждении бронхов может осложниться нарушением целостности сосудов.
Признаки желудочно-кишечного кровотечения
Если изо рта идет кровь, то это может быть симптомом болезней пищеварительной системы. Наиболее часто встречающимися из них считаются цирроз печени и язва желудка. В первом случае источником кровотечения являются расширенные вены пищевода, во втором – сосуды стенки желудка. Заболевания пищеварительного тракта имеют характерные особенности. Кровь при этих патологиях будет иметь темный цвет. Зачастую она возникает во время рвоты. Помимо этого наблюдается выраженная боль в верхних отделах живота, тошнота, ухудшение самочувствия. В некоторых случаях из пищеварительного тракта в полость рта попадает алая кровь. Это может свидетельствовать о развитии синдрома Маллори — Вейсса, который заключается в линейном разрыве поверхностных сосудов слизистой оболочки желудка. К другим причинам кровотечения относят полипы, острый эрозивный гастрит и эзофагит. Независимо от источника повреждения, помощь необходимо оказать немедленно.
Кровотечение при раке легких: особенности
Рак легкого считается одной из самых распространенных онкологических патологий среди мужчин. В большинстве случаев он развивается на фоне хронических воспалительных болезней дыхательной системы. Главным фактором риска считается злоупотребление табакокурением на протяжении долгих лет. Источником кровотечения при раке являются поврежденные сосуды или сама опухоль, находящаяся в фазе распада.
Признаками заболевания является длительный сухой кашель, не поддающийся лечению. Через несколько месяцев присоединяется кровохарканье. Помимо этого отмечается лихорадка, выраженная слабость, одышка и потеря веса. Кровотечение может иметь различный объем: от малого (50-100 мл) до профузного (более 0,5 литра). В большинстве случаев оно сопровождается кашлем. При этом имеется высокий риск аспирации и развития геморрагического шока.
Диагностика при кровотечении изо рта
Если у человека появилась кровь изо рта, необходимо срочно вызвать скорую помощь. Для выявления причины данного симптома врач должен выяснить у родственников, какие заболевания или жалобы имелись у пациента ранее. При подозрении на кровотечение из пищеварительного тракта проводится ФГДС. Если источник повреждения находится в легких, в стационаре выполняют бронхоскопию. Также требуется рентгенография грудной клетки и брюшной полости. Для определения степени кровопотери проверяют уровень гемоглобина и эритроцитов. Также требуется коагулограмма. Она нужна для исключения патологий крови.
Тактика на догоспитальном этапе
До приезда скорой помощи следует попытаться успокоить больного и приложить что-нибудь холодное к предполагаемому источнику кровотечения (верхний отдел живота или грудная клетка). Если симптом выражен не сильно, можно дать пациенту проглотить кусочки льда или мороженого. Если источник кровотечения находится в полости рта, следует промыть рану и приложить холод. Дальнейшие мероприятия выполняет врач.
Помощь при кровотечении в стационаре
Кровохарканье всегда является грозным симптомом многих заболеваний и требует нередко экстренных лечебных мероприятий. Причины кровохарканья всегда разнообразны, и по патогенетическому признаку можно лишь схематически разделить кровохарканья на следующие группы:
2) кровохарканье без заболевания легких;
3) кровохарканье при нетуберкулезных заболеваниях легких;
4) кровохарканье при туберкулезе легких.
В зависимости от количества выделенной крови различают кровотечения: малые (100мл), средние (500мл), профузные (свыше 500мл).
Как ни многочисленны причины кровохарканий и легочных кровотечений, все же наиболее часто эти осложнения наблюдаются у больных туберкулезом. Кровохарканье у больных туберкулезом может быть при всякой форме процесса в легких и при любой степени его развития. Оно может быть первым симптомом туберкулеза, появляющимся еще до того, как современными методами диагностики удается определить локализацию процесса. Кровохарканье сопровождает развившийся легочный туберкулез в острой фазе и при хроническом течении болезни и бывает также после заживления участков деструкции, как при всяком другом пневмосклеротическом процессе. Кровохарканье может появляться как признак обострения туберкулеза после длительного, иногда многолетнего интервала после первой вспышки, сопровождать терминальные фазы туберкулеза, и, наконец, легочные крове течения могут быть непосредственной причиной смерти больного туберкулезом.
При туберкулезе легких кровохарканье может быть следствием токсического влияния микобактерии туберкулеза на стенки капиллярных сосудов, специфических изменений в сосудах легкого и патологического развития сосудов в фиброзно измененной легочной ткани.
Кровохарканье может происходить вследствие выхода из русла крови всех ингредиентов ее через неповрежденную стенку кровеносного сосуда (per diapedesin). Наиболее часто такое кровохарканье наблюдается при начальных формах туберкулеза, при свежих очаговых изменениях с перифокальной зоной вокруг, при инфильтратах и пневмонических фор мах туберкулеза, когда нет еще деструкции легочной ткани.
Такой же механизм кровохарканья может быть и при хронических, далеко зашедших формах легочного туберкуле в период обострения, если кровохарканье возникает из участков легкого, занятых перифокальным воспалением.
У больных фиброзно-кавернозным туберкулезом кровохарканья и легочные кровотечения большей частью возникают вследствие разрушения стенки кровеносного сосуда (per rexin). Развитие туберкулезного процесса в стенке кровеносного сосуда с последующим разрушением его вызывает обильное легочное кровотечение. Количество излившейся крови зависит от диаметра сосуда, быстроты образования и прочности тромба. Перфорация кровеносного сосуда, расположенного в стенке каверны, а иногда проходящего через каверну в виде трабекулы, вызывает часто обильное легочное кровотечение с последующей аспирацией крови в ниже лежащие отделы легкого или в противоположное легкое.
Потеря крови имеет меньшее значение, чем последствия легочного кровотечения. Причиной смерти при кровотечениях, как правило, является не кровопотеря, а асфиксия вследствие заполнения воздухоносных путей кровью.
При старых цирротических формах туберкулеза в участках обширного и массивного развития соединительной ткани на месте воспалительного или деструктивного процесса происходят деформация кровеносных сосудов и образование капиллярных аневризм. Разрушение этих аневризматических образований может быть причиной частого кровохарканья. Хотя выделение крови в подобных случаях происходит per rexin, потеря крови при этом незначительна.
Кровохарканью у больных туберкулезом способствуют гипо- и авитаминозы, физическое перенапряжение, нервные и психические травмы, ведущие к внезапным и резким изменениям функции сердечно-сосудистой системы.
Легочное кровотечение при туберкулезе следует отличать от кровотечений при других бронхолегочных заболеваний — абсцессе, гангрене и инфаркте легкого, деструктивной пневмонии, бронхоэктазах, доброкачественных и злокачественных опухолях, кистах, легочном эндометриозе, грибковых и паразитарных болезнях легких и дыхательных путей и ряде других заболеваний: стенозе митрального клапана, ревматическом васкулите, прорыве в бронх аневризмы аорты.
Легочное кровотечение чаще наблюдается у мужчин среднего и пожилого возраста. Оно начинается с кровохарканья или возникает внезапно, на фоне хорошего состояния. Кровь при легочном кровотечении пенистая, не свертывается.
При легочном кровотечении необходимо установить характер основного патологического процесса и определить источник кровотечения. Эта диагностика бывает иногда весьма непростой даже при использовании сложных рентгенологических и эндоскопических методов.
При выяснении анамнеза обращают внимание на болезни легких, сердца, крови. Получаемая от больного, его родственников или наблюдавших его врачей информация может иметь важное диагностическое значение. При легочном кровотечении в отличие от кровотечений из желудка или пищевода кровь выделяется с кашлем.
Терапия кровохарканья должна быть этиологической, т.е. направленной на устранение причин этого симптома, но поскольку приходится нередко проводить лечебные мероприятия по жизненным показаниям, то мы не можем отказываться и от терапии симптоматической.
При кровохарканьях и кровотечениях у больных туберкулезом можно применять искусственный пневмоторакс, различные гемостатические средства, в том числе уменьшающие проницаемость сосудов легкого, повышающие свертываемость крови и способствующие уменьшению кровенаполнения легких. При повторяющихся кровотечениях у больных кавернозным или фиброзно-кавернозным туберкулезом может быть применено хирургическое лечение, в том числе резекция лег кого.
Применение искусственного пневмоторакса является эффективным методом для прекращения кровохарканья и лечения туберкулезного процесса. Необходимость обязательного знания врачом в этих случаях точной локализации процесса, а также владения техникой наложения пневмоторакса ограничивает применение этого метода в порядке скорой помощи. Искусственный пневмоторакс больным с кровохарканьем накладывают в стационаре. Врач, впервые видящий больно го, не в состоянии точно определить место и даже сторону источника легочного кровотечения. Физикальным исследованием можно определить лишь наличие влажных звучных хрипов в легком, однако хрипы могут быть обнаружены не толь ко в месте кровотечения, но значительно чаще в участках аспирации крови, причем не всегда на стороне кровотечения, а иногда и в противоположном легком. В дополнение к физикальному исследованию необходимо перед наложением пневмоторакса рентгенологическое обследование больного. При ошибочном наложении пневмоторакса на стороне, противоположной источнику кровотечения, компрессия здорового легкого повысит кровенаполнение больного легкого и вызовет усиление кровотечения.
Введением больших доз газа (1000 см 3) в плевральную полость можно создать компрессионный пневмоторакс и прекратить легочное кровотечение.
Из средств, уменьшающих проницаемость стенки капиллярных сосудов и повышающих свертываемость крови, шире кое применение имеет при кровохарканьях хлорид кальция. Он тормозит воспалительно-аллергические процессы и как активатор тромбокиназы повышает свертываемость крови. Наиболее часто назначаемый 10% хлорид кальция может быть заменен 10% раствором глюконата кальция, которые можно применять не только внутривенно, но и внутримышечно. Обычное внутривенное введение хлорида кальция можно комбинировать с аутогемотерапией, т.е. применять аутогемо-кальциотрансфузию. После введения хлорида кальция шприц через ту же иглу набирают кровь, которую тотчас же вводят обратно в вену. Такая трансфузия может быть произведена несколько раз (2-3 раза). Необходимо внимательно следить за появлением признаков свертывания крови шприце, чтобы не вводить в вену свернувшуюся кровь. Ауто-гемокальциотрансфузия, по нашим наблюдениям, более эффективна, чем внутривенное введение только хлорида кальция.
С целью понижения проницаемости стенки капиллярного сосуда применяется аскорбиновая кислота (витамин С) в инъекциях по 500 мг 1-2 раза в день.
Антигеморрагический витамин К (каротин) эффективен при кровохарканье, связанном с гипопротромбинемией. Суточная доза витамина К (10 мг) вводится внутримышечно (1 мл 1 % раствора).
Для повышения свертываемости крови можно применять желатин — 25-30 мл 10% раствора подкожно. С той же целью, но значительно реже следует прибегать к введению нормальной лошадиной или противодифтерийной сыворотки (30-50 мл). Применение сывороток как протеинотерапии может вызвать обострение туберкулезного процесса.
Для прекращения кровохарканья и легочных кровотечений рекомендуют трансфузию крови в небольших количествах — по 80-100 мл крови одноименной группы или крови универсального донора.
Широко применяется как гемостатическое средство под кожное введение кислорода (500-800 мл). Метод легко доступен, технически прост, не имеет противопоказаний и может быть применен в домашней и амбулаторной обстановке как при туберкулезном, так и при нетуберкулезном кровохарканье. Кислород под кожу вводят через иглу при помощи аппарата для искусственного пневмоторакса, а при отсутствии последнего можно вводить кислород непосредственно из подушки. Предполагают, что при подкожном введении кислорода изменяются физико-химические свойства крови, в результате чего повышается ее свертываемость.
Переходя к средствам, способствующим перераспределению крови между малым и большим кругом кровообращения, прежде всего мы считаем необходимым упомянуть фармакологические препараты, назначение которых не рекомендуется при лечении легочных кровотечений. Спорынья, стиптицин, гидрастис, эрготин, адреналин не должны применяться при кровохарканье. Уменьшая кровенаполнение сосудов большого круга кровообращения, они способствуют переполнению кровью легкого и создают условия для усиления кровохарканья. Не рекомендуется также применение морфина. Морфин, подавляя кашлевые рефлексы, способствует аспирации крови и развитию аспирационных пневмоний. Роль перечисленных выше медикаментозных средств при кровохарканье отрицательная.
Туберкулез является опасным заболеванием, которое слабо поддается лечению. Медицинская помощь, осуществляемая врачами, обычно лишь замедляет процесс его развития, однако, полностью справиться с этим недугом часто не удается. При этом из-за туберкулеза у пациентов возникает огромное количество сложностей, а в отдельных случаях эта болезнь может привести к летальному исходу.
Во время обострений болезни могут возникать очень опасные состояния, когда больному требуется неотложная помощь врача. Иногда их называют неотложные состояния при туберкулезе, и среди них выделяются кровотечения. При кровотечениях у пациента вместе с мокротой выделяется большое количество крови, и если этот процесс не остановить, возникает угроза его жизни.
Причины и развитие симптома
Кровохарканье при туберкулезе может появляться по разным причинам. Его возникновению способствуют следующие факторы:
- давление в сосудах, образующих малый круг кровообращения, повышено;
- нарушена свертываемость крови;
- фибринолитическая активность крови усилена;
- стенкам сосудов присуща повышенная проницаемость.
Из-за этих факторов возникает риск появления не только кровохаркания, но и легочных кровотечений. Следует сказать, что кровохаркание или кровотечение может возникать не только при туберкулезе, но и при других заболеваниях дыхательных путей.
Кровохаркание или кровотечение при туберкулезе развивается так. У пациента нарушается проницаемость в капиллярах или мелких сосудах. Происходит это под влиянием воспалительных изменений в дыхательных путях или из-за губительного действия токсических веществ на стенки сосудов.
В результате появляется возможность попадания крови в бронхи, смешения ее с мокротой и выхода наружу во время кашля. При кашле усиливается раздражение дыхательных путей, за счет чего выделение крови может стать более интенсивным. Без кашля кровохаркание невозможно.
Еще один путь развития данной проблемы – разрыв сосуда. Стенки сосудов во время туберкулеза могут истончаться. В некоторых участках сосуда возникают изменения, и при негативном влиянии этот сосуд может оказаться поврежденным.
Чем крупнее поврежденный сосуд, тем больше крови может попадать в мокроту. Если сосуд слишком крупный, бронхи и трахеи могут заполниться сгустками крови, из-за чего больному делается трудно дышать.
Если своевременно не обратиться за помощью, может наступить смерть от удушья.
Это означает, что источником этого неблагоприятного явления можно назвать сосуды – легочные и бронхиальные, поскольку именно они участвуют в переносе крови в легкие. Из-за разрыва бронхиальных артерий обычно наблюдается развитие легочного кровотечения при туберкулезе.
При легочном кровотечении во время туберкулеза в просвет бронхов поступает значительное количество крови. Ее пациент обычно откашливает, при этом есть возможность выделения только крови и крови, смешанной с мокротой. Возникает эта проблема из-за разрыва крупной артерии.
При кровотечении возникает серьезная угроза жизни больного, поскольку из-за большого количества крови в бронхах появляются трудности с проходимостью кислорода. У пациента появляется такой симптом, как удушье, и если своевременно не остановить кровотечение, он может задохнуться.
В чем отличия кровохаркания и кровотечения?
Очень важным при лечении туберкулеза является определение основных особенностей, которые его характеризуют. Не всегда выделение крови является кровохарканием и уж тем более кровотечением, и не всегда их появление связано с патологиями легких. Иногда у пациента могут возникать ложные кровохаркания, когда выделение крови происходит из десен, желудка, пищевода, носоглотки. Эта проблема обычно наблюдается при отсутствии кашля. Истинное кровохаркание всегда сопровождается кашлем, и кровь поступает из легких.
Источник кровотечения или кровохаркания может установить только врач, поэтому пациенту следует обратиться к нему, если был обнаружен данный симптом. Он сможет установить причины данного явления, определит методы борьбы и возможные риски.
Основным отличием кровотечения от кровохаркания является интенсивность выделения крови. Если крови выделяется немного (около 50 мл в сутки), то процесс называется кровохарканием. При кровотечении пациент откашливает такое и большее количество крови за один раз. Также возможны и кровоизлияния, которые представляют наибольшую опасность для жизни пациента. Они возникают при разрыве крупного сосуда и тоже могут быть различной интенсивности.
Симптомы кровохаркания и кровотечения при туберкулезе легких общие, различается лишь количество крови. При кровохаркании в мокроте можно заметить незначительные кровянистые следы, в то время как при кровотечении мокроты может не быть вовсе (происходит выделение только крови в виде сгустков). Частота кашля при кровотечении увеличивается.
Именно кашель при наличии кровохаркания свидетельствует о легочных проблемах, при его отсутствии кровянистые выделения чаще всего имеют другое происхождение.
Основные симптомы, сопровождающие кровохарканье:
- кашель;
- ярко-красный цвет крови;
- пенистая консистенция выделяемой жидкости.
Кашель в этом случае является обязательным условием, поскольку крови нужно пройти по бронхам, трахее и гортани, без него такое перемещение невозможно.
Однако точно установить причину данной проблемы может только врач с помощью специальных диагностических процедур. Поэтому недопустимо принимать любые меры без консультации со специалистом.
При отсутствии необходимой терапии ситуация может серьезно осложниться. Наиболее опасным последствием кровохаркания и особенно кровотечения является смерть пациента из-за удушья. Сгустки крови могут заполнить бронхи, из-за чего возникают проблемы с поступлением кислорода в организм. При закупорке бронхов этими сгустками больной может умереть.
Но даже если закупорка не произошла, в организм пациента поступает меньше кислорода, из-за чего возникает кислородное голодание. Оно негативно сказывается на всех органах и системах.
Еще одним осложнением можно назвать анемию. При значительной кровопотере пациенту тоже может грозить смерть. Также из-за анемии нередко снижается работоспособность и качество жизни, пациент становится вялым, быстро утомляется, у него может отсутствовать аппетит.
Лечение и профилактика
Особенности лечения данного явления зависят от многих обстоятельств. В первую очередь, необходимо удостовериться, что его причиной является именно туберкулез. Если это так, то медицинское воздействие должно быть направлено на снижение активности туберкулеза, что будет способствовать уменьшению кровохаркания.
Важная часть лечения – создание благоприятных для пациента условий. Необходимо обеспечить ему покой, как физический, так и психический. Лучше всего в периоды обострений помогает постельный режим, при этом желательно, чтобы больной не лежал, а был в положении полусидя. Так будет лучше отходить мокрота и кровяные сгустки.
Интенсивность терапевтических мер зависит от выраженности проблемы. При незначительном отделении крови назначают препараты замедленного действия, если проблема проявляется сильно, то выбирают средства с быстрым действием.
Также нужно устранить провоцирующие факторы:
- Чтобы уменьшить кровяное давление в сосудах, используют ганглиоблокаторы (Арфонад, Бензогексоний, Пентамин), спазмолитические (Эуфиллин) и противокашлевые средства (Амброксол, Бромгексин).
- При назначении лекарств против нарушений свертываемости крови нужно провести исследования. До этих исследований могут выбрать такие средства, как Гемофобин, Фибриноген или Дицинон.
- Для снижения фибринолитической кровяной активности необходима коррекция ферментов, которая осуществляется с помощью специальных средств, выбираемых врачом (например, Фитин).
- При чрезмерной проницаемости стенок в легочных сосудах используют аскорбиновую кислоту и кальция глюконат.
Меры для преодоления кровотечений практически не отличаются от тех, что принимают при кровохаркании. Единственной разницей является необходимость в более быстрой диагностике и безотлагательном принятии решений. Также при кровотечениях (особенно сильных), может потребоваться переливание крови, чтобы восполнить потерю.
Кроме этого, при сильных кровотечениях может потребоваться хирургическое вмешательство – если не удается справиться с проблемой медикаментозно. Иногда операция такого рода может проводиться во время кровотечения либо сразу после его остановки.
Профилактические меры, с помощью которых можно не допустить кровотечения, подразумевают выполнение рекомендаций врача. Чаще всего данная проблема возникает при прогрессировании болезни, поэтому очень важно не допускать ее дальнейшего развития. Нужно принимать все лекарственные средства, назначенные специалистом, посещать плановые осмотры и сообщать врачу о любых изменениях в состоянии.
Кроме этого следует минимизировать любые травмирующие воздействия на дыхательные пути. Для этого следует отказаться от курения и работы на предприятиях, связанных с выработкой вредных веществ, чаще бывать на свежем воздухе, соблюдать правила гигиены (проветривание помещений, влажная уборка). Нежелательно также нервничать и перенапрягаться физически.
Читайте также:




