Вторичный туберкулез (реинфицированный) развивается в организме взрослого человека, перенесшего ранее первичную инфекцию, которая обеспечила ему относительный иммунитет, но не оградила от возможности повторного заболевания — после первичного туберкулеза, для которого характерны:
- избирательно легочная локализация процесса;
- контактное и интраканаликулярное (бронхиальное дерево, желудочно-кишечный тракт) распространение;
- смена клинико-морфологических форм.
Патологическая анатомия. Выделяют восемь форм вторичного туберкулеза, каждая из которых представляет собой дальнейшее развитие предшествующей формы. Среди форм-фаз различают:
- острый очаговый;
- фиброзно-очаговый;
- инфильтративный;
- туберкулез;
- казеозную пневмонию;
- острый кавернозный;
- фиброзно-кавернозный;
- цирротический.
Острый очаговый туберкулез морфологически характеризуется наличием в I и II сегментах чаще правого легкого одного или двух очагов (очаги реинфекта Абрикосова), которые состоят из специфического эндобронхита, мезобронхита и коснобронхита внезибридалькового бронха. Процесс по бронхиолам переходит на легочную паренхиму, вследствие чего развивается ацинозная или лобулярная творожистая бронхопневмония. В лимфоузлах корня легкого развивается реактивный неспецифический процесс. При своевременном лечении, а в основном спонтанно, процесс затихает, очаги казеозного некроза инкапсулируются и нетрифициру-ются, появляются очаги реинфекта.
Фиброзно-очаговый туберкулез — фаза течения острого очагового туберкулеза, когда после периода затихания болезни процесс снова вспыхивает. При заживлении очагов Абрикосова появляются крупные инкапсулированные и частично неперифи-цированные очаги, которым придается значение в обострении’ процесса, который характеризуется возникновением ацинозных, лобулярных очагов казеозной пневмонии, которые снова инкапсулируются, нетрифицируются. Но склонность к обострению сохраняется. Процесс не выходит за пределы I и II сегментов, причем в них среди осумкованных и обызвествленных очагов туберкулеза есть не только очаги реинфекта, но и те, которые представляют исход гематогенных посевов в период первичной инфекции (Симоновские очаги).
Инфильтративный туберкулез — следующая фаза процесса, при которой экссудативные изменения вокруг казеозных очагов выходят за пределы дольки и даже сегмента. Перифокальное воспаление преобладает над казеозными изменениями. Данный очаг называют инфильтратом Ассмана—Редекера. Перифокальное воспаление может рассасываться, и в период заживления остаются один или два нерассосавшихся небольших казеозных фокусов, которые инкапсулируются, и заболевание снова приобретает характер фиброзно-очагового туберкулеза.
Туберкулема возникает как своеобразная фаза эволюции инфильтративного туберкулеза, когда перифокальное воспаление рассасывается и остается очаг творожистого некроза, окруженный капсулой. Туберкулема достигает 2—5 см в диаметре, расположена в I и II сегменте, чаще справа. Казеозная пневмония наблюдается при прогрессировании инфильтративного туберкулеза, в результате чего казеозные изменения начинают преобладать над перифокальными. Образуются ацинозные, лобулярные, сегментарные казеозно-пневмонические очаги, которые могут сливаться в крупные участки легких. Лобарный характер имеет
казеозная пневмония, развившаяся на фоне лобита. Легкое при казеозной пневмонии увеличено, плотное, на разрезе желтой окраски, на плевре фибринозные наложения.
Острый кавернозный туберкулез характеризуется быстрым образованием полости распада, а затем каверны на месте очага — инфильтрата или туберкулемы. Полость распада возникает в результате гнойного расплавления и разжижения казеозных масс, которые с микобактериями выделяются вместе с мокротой. Это создает большую опасность бронхогенного обсеменения легких, а также выделения микобактерий в окружающую среду. Каверна при этом сообщается с просветом сегментарного бронха.
Фиброзно-кавернозный туберкулез возникает из острого кавернозного туберкулеза, когда процесс принимает хроническое течение. Внутренний слой каверны — пиогенный (некротический), богат распадающимися лейкоцитами, средний — слой туберкулезной грануляционной ткани; наружный — соединительнотканный. Каверна занимает один или оба сегмента. Вокруг нее определяются разнообразные очаги, бронхоэктазы. Процесс постепенно распространяется в аникокаудальном направлении, спускается с верхних сегментов на нижние как контактным путем, так и по бронхам.
Цирротический туберкулез — вариант развития фиброзно-ка-верного туберкулеза, когда в пораженных легких вокруг каверн происходит мощное развитие соединительной ткани, на месте заживлений каверны образуется линейный рубец, появляются плевральные сращения, легкие деформируются, становятся плотными и малоподвижными, появляются многочисленные бронхо-экстазы.
Осложнения. При вторичном туберкулезе наибольшее число осложнений связано с каверной: кровотечения, прорыв содержимого каверны в плевральную полость, что приводит к пневмот-раксу и гнойному плевриту (эмпиеме плевры).
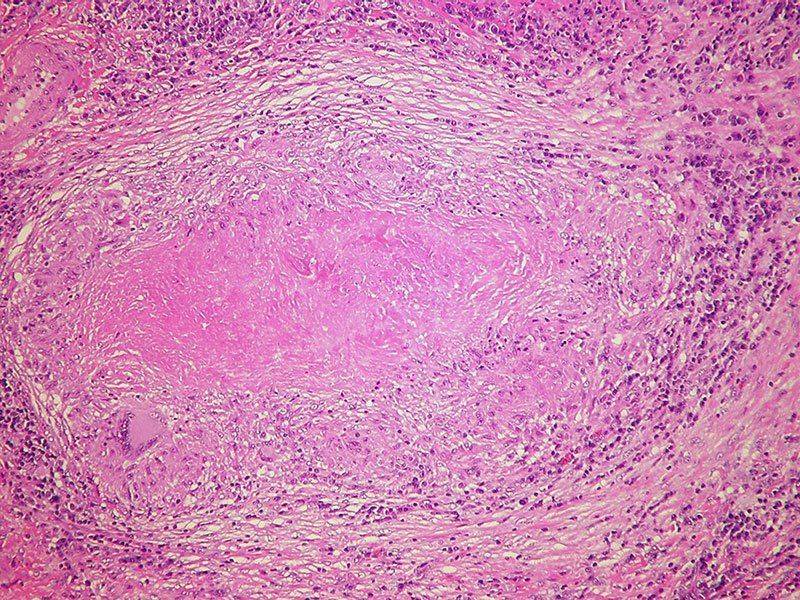
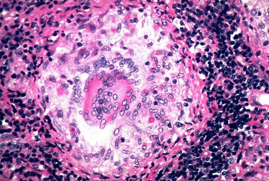
Туберкулезная гранулема является основным морфологическим элементом воспаления, спровоцированного проникновением в легкие и другие органы микобактерий. Туберкулезный процесс складывается из ряда явлений. Изменяется структура клеток, вследствие чего нарушается их обычная жизнедеятельность и состав. Из мельчайших кровеносных сосудов выделяется в соседние ткани жидкость (экссудат). В это же время не останавливается процесс пролиферации. В результате всех этих явлений формируется туберкулезная гранулема.
Это образование не просто формация специфических клеток, присущих воспалительному процессу. Это область интенсивного действия разнообразных агентов: молекул информативной структуры и молекул-катализаторов. Вся эта деятельность направлена на устранение патогенов. В результате из туберкулезного бугорка развивается гранулема. Сначала образуется очаг казеозного некроза, содержащий некоторое количество лейкоцитов и лимфоцитов, происходит экссудативная реакция. В зависимости от возможностей иммунных клеток экссудат провоцирует нарушение клеточной деятельности. Пролиферация в этих условиях переходит в альтерацию и экссудацию.
Строение и клеточный состав
Клеточный состав такого образования разнится в зависимости от фазы развития и причин, вызвавших патологию. В туберкулезной гранулеме преобладает несколько типов клеток, отличающихся по строению и функциональной нагрузке. Эти клеточные структуры, выстраиваясь определенным образом, формируют туберкулезный бугорок. Его состав образуют лимфоциты, эпителиоидные клетки и клетки Пирогова-Лангханса, а также небольшое количество макрофагов. В центре гранулемы находится очаг творожистого некроза. Его формирование происходит внутри бугорка и соседних тканей, пропитанных экссудатом. Типичные туберкулезные бугорки с эпителиоидными клетками, а также лимфоцитами представляют собой своего рода частокол, расположенный вокруг казеозного очага. Помимо эпителиоидных клеток, очаг казеозного некроза окружен макрофагами и плазматическими клетками. Они образуют состав грануляционной ткани.
В состав туберкулезной гранулемы входят также клетки Пирогова-Лангхаса — огромные структуры, имеющие несколько ядер. Ученые полагают, что формирование таких специфических образований происходит под влиянием неизвестного патологического процесса из эпителиоидных клеток путем слияния нескольких ядер с сохранением цитоплазмы, либо путем слияния цитоплазмы в одну большую с сохранением ядер. Именно эти клетки свидетельствуют о туберкулезном процессе, их формирование является характерной особенностью гранулемы туберкулезного, а не иного генеза.
Кровеносные сосуды в гранулеме или отсутствуют, или их ничтожно мало в наружной части бугорка. В слое эпителиоидных клеток капилляров нет.
Морфогенез
Процесс формирования гранулемы проходит четыре стадии. Динамику ее развития определяет защитная способность иммунной системы.
- Сначала в очаге внедрения микобактерии происходит накопление моноцитов. Эти клетки вызревают в макрофаги, в результате формируется макрофагальная гранулема.
- Следующим этапом является преобразование макрофагов в эпителиоидные клетки.
- В конечной стадии происходит слияние эпителиоидных клеток в огромные многоядерные структуры. Это могут быть клетки чужеродных тел и Пирогова-Лангхаса. Именно последние образуются при формировании гранулемы туберкулезной этиологии.
Воспаление провоцирует однократное деление моноцита, который преобразуется в макрофаг. Примерно через неделю под влиянием ферментов и цитокинов происходит трансформация макрофага в эпителиоидную клетку. Такие образования по сравнению с макрофагом меньше способны к поглощению токсичных чужеродных агентов. Однако и отличаются более высокой секреторной способностью, что позволяет им привлекать к очагу воспалительного процесса все возрастающее число лимфоцитов. Через две недели начинается процесс активного слияния эпителиоидных клеток в гигантские структуры.
Особенности клеток
Главной особенностью строения туберкулезной гранулемы является присутствие аномальных полиядерных клеток Пирогова-Лангхаса, отличающихся гигантскими размерами. Количество ядер может достигать двадцати, они смещены к периферии и расположены в виде подковы. Для этих клеток характерно отсутствие лизосом. В результате они не способны поглощать чужеродные агенты и переваривать их. Фагоцитарная способность подменяется эндоцитобиозом. Также они мало способны к синтезу цитокинов и факторов роста.
Классификация
В зависимости от массивности поражения органа микобактериями, происходит формирование различного количества гранулем. Туберкулезные узелки разделяют по типам:
- гигантоклеточные;
- смешанного типа;
- лимфоцитарного;
- эпителиоидального.
По размерам гранулемы классифицируются следующим образом: милиарные, субмилиарные и солитарные. Последние являются самыми большими и могут достигать нескольких сантиметров в диаметре. Милиарные измеряются миллиметрами, а субмилиарные имеют в диаметре менее миллиметра.
Принята также классификация по скорости клеточного метаболизма. Отличают гранулемы с низкой скоростью метаболизма, возникающие в процессе воздействия инертных агентов и сформированные в основном из гигантских клеточных структур. Гранулемы с высоким уровнем обмена возникают под действием сильных токсинов и составлены эпителиоидными клетками. Именно процесс их формирования характерен для туберкулезного поражения, так как микобактерии обладают высокой токсичностью по отношению к клеткам.
Исходы
Наименее вероятным вариантом исхода является растворение клеточного инфильтрата, так как гранулема в большинстве случаев свидетельствует о наличии хронического процесса. Чаще всего происходит фиброзное перерождение образования, вызывающее формирование спайки, рубца или узелка соединительной ткани.
Наиболее характерным вариантом исхода для туберкулезной гранулемы является развитие некроза. Это происходит, если очаг казеозного некроза, расположенный в центре бугорка, распространяется на окружающие клетки. В развитии принимают участие протеазы макрофагов, а также токсины, производимые микобактериями. Нагноение гранулемы как исход при туберкулезе почти не встречается.
При адекватном лечении туберкулезный процесс может быть купирован. Однако механизм заживления предполагает развитие фиброза, что приводит к деформации легкого. Каверны, не подверженные казеозному некрозу, могут сохраняться, их стенки трансформируются в соединительную ткань. При отсутствии лечения, а также в случае неэффективности терапии, туберкулезный процесс распространяется на верхние дыхательные пути по сосудам лимфатической и кровеносной систем.
В странах, где молоко пастеризуют, первичный туберкулез почти всегда начинается в легких. Как правило, бациллы, попавшие в легкие при вдыхании, внедряются в субплевральные дистальные отделы нижней части верхней доли или верхней части нижней доли, где возникает очаг консолидации 1-1,5 см в диаметре, который называют первичным туберкулезным аффектом или очагом Гона. В большинстве случаев в его центре есть казеозный некроз.
Туберкулезные бациллы, свободные или в пределах фагоцитов, распространяются по лимфатическим сосудам в регионарные лимфатические узлы, которые также часто подвергаются казеозному некрозу. Комбинация первичного туберкулезного аффекта, лимфангиита и лимфаденита носит название первичного туберкулезного комплекса или комплекса Гона. В первые недели развития первичного туберкулеза может происходить лимфогенное и гематогенное распространение инфекции в другие органы.
При вторичном туберкулезе начальное поражение обычно представляет собой очаг консолидации менее 2 см в диаметре в пределах 1-2 см от апикальной плевры. Такие очаги четко ограничены, имеют серо-белый или желтоватый цвет, разную степень выраженности казеозного некроза и периферического фиброза. У иммунокомпетентных лиц такой очаг подвергается прогрессирующему фиброзу и кальцификации.
Гистологически в активных очагах вторичного туберкулеза обнаруживаются сливающиеся гранулемы с казеозным некрозом в центре. Туберкулезные бациллы часто можно идентифицировать на ранних фазах формирования гранулемы при окрашивании по Цилю-Нильсену, но в гранулемах поздних стадий с фиброзом и кальцификацией возбудитель не выявляется. Ограниченный апикальный вторичный туберкулез легких может разрешиться спонтанно или после терапии, однако болезнь способна прогрессировать и распространяться интраканаликулярно (по бронхам при откашливании), а на поздних стадиях — гематогенно.
Прогрессирующий вторичный туберкулез наблюдается у пожилых и пациентов с иммуносупрессией. Апикальное поражение расширяется на смежные участки и в другое легкое и в конечном счете распространяется на бронхи и сосуды. Казеозные массы эвакуируются по бронхам, что приводит к образованию каверн с тонкими неровными стенками в фиброзной ткани. Эрозия кровеносных сосудов ассоциируется с кровохарканьем.
При адекватном лечении процесс может быть остановлен, хотя заживление сопровождается выраженным фиброзом, что приводит к деформации структуры легких. Каверны, свободные от казеоз-ных масс, могут сохраниться с развитием фиброза их стенок. При неэффективном лечении или снижении защитных сил организма процесс может распространяться по дыхательным путям, лимфатическим каналам или сосудистой системе.
Милиарный туберкулез развивается, когда микроорганизмы по грудному лимфатическому протоку попадают в венозную кровь, а затем опять в легкие. В них появляются желто-белые очаги, которые имеют плотную консистенцию и небольшие размеры (от микроскопических до 2 мм) и рассеянны в обоих легких. Из-за внешнего сходства этих очагов с семенами проса и появилось название этой формы туберкулеза (лат. miliaris — просовидный). Милиарное поражение может захватывать большие области, даже целые доли легкого.
При прогрессировании процесса неизменно вовлекается плевральная полость, в которой развиваются серозный плеврит, туберкулезная эмпиема или облитерирующий фиброзирующий плеврит. Поражение бронхов, трахеи и гортани может развиться при лимфогенном и интраканаликулярном распространении инфекции. Слизистые оболочки бронхов, трахеи и гортани могут содержать туберкулезные гранулемы, определяемые только микроскопически. Системный милиарный туберкулез диагностируют, когда бактерии распространяются по артериальной системе. Милиарный туберкулез наиболее выражен в печени, костном мозге, селезенке, надпочечниках, мягких мозговых оболочках, почках, маточных трубах и эпидидимисе, но вовлекаться может любой орган.
Лимфаденит — самое частое проявление внелегочного туберкулеза, обычно локализующееся в области шейных лимфатических улов. У лиц, не инфицированных ВИЧ, лимфаденит имеет тенденцию быть отграниченным и унифокальным. У ВИЧ-инфицированных лиц, напротив, почти всегда поражено большое количество лимфоузлов, а также отмечаются системные симптомы и поражение туберкулезом легких или других органов.
Туберкулез кишечника, возникающий после употребления в пищу зараженного молока, был довольно распространенной причиной болезни. В странах, где используют пастеризованное молоко, туберкулез кишечника чаще ассоциируется с проглатыванием откашлянного инфекционного материала больными с распространенным туберкулезом легких. Как правило, микроорганизмы заселяют лимфоидную ткань, ассоциированную со слизистой оболочкой тонкой кишки и толстой кишки, где развивается гранулематозное воспаление, приводящее к образованию язв, чаще всего в подвздошной кишке.
К очаговому туберкулезу легких относят небольшие по величине (до 10 мм в диаметре) и ограниченные по протяженности (1—2 сегмента) воспалительные процессы в легких с малосимптомным клиническим течением.
У впервые выявленных больных туберкулезом органов дыхания очаговый туберкулез обнаруживают в 25—30% случаев, а у состоящих на учете противотуберкулезных диспансеров — в 24—26%. Очаговый туберкулез легких чаще выявляют у взрослых, чем у детей и подростков, поскольку он возникает во вторичном периоде туберкулезной инфекции, спустя много лет после первичного инфицирования или излечения первичного туберкулеза. В последние годы при проведении систематических профилактических флюорографических обследований населения доля очагового туберкулеза среди всех форм впервые выявленного туберкулеза органов дыхания постепенно снижается. Это объясняется лучшей осведомленностью противотуберкулезных диспансеров о лицах с повышенным риском заболевания туберкулезом и проведением среди них профилактических мероприятий. На аутопсиях очаговый туберкулез является случайной находкой у больных, умерших от других заболеваний.
Патогенез. Очаговый туберкулез легких является вторичной формой, т. е. развивается в результате реактивации инфекции в посттуберкулезных изменениях, оставшихся после излечения первичного или вторичного туберкулеза (эндогенная реактивация), или вследствие аэрогенной или алиментарной суперинфекции (экзогенная суперинфекция). Причину развития очагового туберкулеза вследствие эндогенной реактивации или экзогенной суперинфекции не всегда можно установить. При этом учитывают, что заболеваемость туберкулезом среди членов семьи больного туберкулезом значительно выше, чем в здоровых семьях. Экзогенная суперинфекция в развитии туберкулеза приобретает большое значение в тех районах, где имеется высокий риск инфицирования. При благоприятной эпидемиологической обстановке на большинстве территорий страны в патогенезе очагового туберкулеза легких основная роль принадлежит эндогенной реактивации. Заболеваемость туберкулезом лиц, имеющих остаточные туберкулезные изменения в легких и во внутригрудных лимфатических узлах, значительно выше, чем лиц с нормальной рентгенографической картиной легких. Эндогенной реактивации туберкулеза способствуют психические и физические травмы, переутомление и недоедание, острые и хронические заболевания (силикоз, язвенная болезнь желудка и двенадцатиперстной кишки, сахарный диабет, алкоголизм, наркомания, неспецифические воспалительные заболевания бронхолегочной системы и др.), беременность, аборт, применение иммунодепрессантов. Фактором, снижающим сопротивляемость организма и способствующим реактивации старых туберкулезных очагов, может служить также экзогенная суперинфекция.
Туберкулезные очаги возникают в верхних долях легких, чаще в 1-м и 2-м сегментах. При проникновении микобактерий в паренхиму легкого по бронхам и лимфатическим сосудам возникает односторонний процесс, по кровеносным — двусторонний. При экзогенной суперинфекции МБТ вызывают специфический эндобронхит, затем панбронхит. Образующиеся при воспалении казеозные массы, содержащие МБТ, аспирируются в соседние субапикальные и апикальные бронхи. В легочной ткани образуются ацинозно-нодозные или лобулярные очаги. При лимфогенном и гематогенном путях распространения инфекции возникает инфильтрация междольковых перегородок и перибронхиальной ткани, панбронхит, далее происходит бронхогенное распространение МБТ с образованием очагов. Так возникают свежие (острые) очаги. Вначале они могут быть экссудативного характера, но довольно быстро тканевая реакция становится продуктивной. Ограниченное, преимущественно продуктивное воспаление обусловливает малосимптомное клиническое течение очагового туберкулеза легких.
Свежий очаговый туберкулез легких может принимать хроническое течение при отсутствии лечения или малой его эффективности. В этом случае туберкулезные очаги длительное время остаются активными. В процессе заживления различных форм туберкулеза легких также формируются очаговые изменения. У большинства больных эти очаги замещаются фиброзной тканью, инкапсулируются, теряют активность и тогда их рассматривают как остаточные посттуберкулезные очаговые изменения.
При обострении старого очага в его капсулу проникают лимфоциты и нейтрофилы, которые с помощью протеолитических ферментов разрыхляют ее, расплавляют казеозные массы. В образовавшемся жидком казеозе активизируются МБТ. Из очага по лимфатическим сосудам МБТ распространяются на периброн-хиальную ткань, вызывая панбронхит, казеозные массы секвестрируют в просвет бронха, образуя свежие очаги. Расплавление казеоза может произойти у больного под воздействием проникшей из бронха в очаг неспецифической микрофлоры в период острого респираторного воспалительного заболевания или гриппа.
При лечении, а в ряде случаев и спонтанно, свежие очаги рассасываются, инкапсулируются или превращаются в рубцы, лимфангиты оставляют после себя перибронхиальный и перивас-кулярный фиброз. Обострившиеся старые очаги подвергаются уплотнению и кальцинации.
Патологическая анатомия. Очаговый туберкулез представлен немногочисленными, ограниченными пределом дольки легкого поражениями. Локализуются очаги обычно в кортикальных отделах легкого в 1-м и 2-м сегментах.
При свежем очаговом туберкулезе очаги могут быть экссудативного характера — лобулярные, но чаще они продуктивные — ацинозные и нодозные (рис. 35). Ткань легкого вокруг очагов умеренно инфильтрирована лимфоцитами и полинуклеарами.
При хроническом очаговом туберкулезе казеоз окружен хорошо выраженной соединительнотканной капсулой. Капсула и казеозные массы очага инфильтрированы клеточными элементами. Очаг может подвергнуться кальцинации, при этом воспалительная реакция в нем исчезает. Такой очаг называют кальцинатом или петрификатом. В связи с тем что ткань легкого вокруг капсулированных очагов склеротически изменена, такую форму хронического очагового туберкулеза называют фиброзно-очаговой. Склеротические изменения определяются и на плевре. При прогрессирующем течении хронического очагового туберкулеза наряду с плотными и кальцинированными очагами находят и свежие очаги, чаще продуктивного характера, возникающие в результате лимфогенного или бронхогенного распространения инфекции. Туберкулезные грануляции вокруг очагов могут увеличиваться, подвергаться казеозному расплавлению. При выделении казеозных масс в просвет бронха образуется полость распада. К этому периоду воспалительного процесса очаги обычно образуют уже пневмонический фокус, который характерен для более распространенной инфильтративной формы туберкулеза.
Симптоматика. Больные очаговым туберкулезом легких выявляются в основном при профилактической флюорографии и значительно реже — диагностической, проведенной в связи с обращением больного к врачу общей лечебной сети по поводу различных жалоб.
Характерно малосимптомное клиническое течение очагового туберкулеза легких. Условно выделяют симптомы интоксикации и симптомы, обусловленные поражением органов дыхания. Обе группы симптомов выявляются у 1/3 больных, а у 2/3 больных заболевание протекает бессимптомно. Интоксикация у больных очаговым туберкулезом легких проявляется непостоянной субфебрильной температурой тела, пониженной работоспособностью, недомоганием, вегетососудистой дистонией, потливостью. Больные могут жаловаться на боли в боку, кашель сухой или с небольшим количеством мокроты, в редких случаях — на кровохарканье. С симптомами интоксикации чаще протекают свежие формы очагового туберкулеза, с симптомами поражения органов дыхания — хронические формы.
Перкуссия и аускультация при очаговом туберкулезе не имеют большого диагностического значения. Укорочение перкуторного легочного звука определяется только у больных хроническим очаговым туберкулезом в результате склеротических изменений в легких и на плевре. Влажные мелкопузырчатые хрипы на определенном участке легкого можно выслушать у отдельных больных при свежем, преимущественно экссудативном очаговом процессе и появлении полости распада. У больных с хронической формой очагового туберкулеза выслушиваются сухие хрипы, указывающие на деформацию бронхиального дерева и ограниченный бронхит. При одностороннем хроническом очаговом туберкулезе можно обнаружить западение над- или подключичных ямок, с этой же стороны — отставание грудной клетки при дыхании и сужение поля Кренига, указывающие на рубцовое уплотнение верхушки легкого.
Свежие очаги продуктивного характера имеют диаметр 3—6 мм, форма их округлая или полицикличная, напоминает лист клевера. Продуктивные очаги чаще единичные, средней интенсивности, с четко очерченными контурами (рис. 36). При свежем очаговом туберкулезе часто обнаруживаются кальцинированные внутригрудные лимфатические узлы, которые могут быть источником распространения МБТ в легочную ткань.
При хроническом очаговом туберкулезе тени очагов высокой интенсивности с четкими контурами (рис. 37). Однако наряду со старыми могут обнаруживаться и свежие очаги, которые локализуются обычно в надключичных отделах. При длительном течении хронического очагового туберкулеза в рентгенологической картине преобладают фиброзные изменения вокруг очагов по ходу бронхососудистого пучка, на плевре.
Туберкулинодиагностика. Реакции на туберкулин у больных, очаговым туберкулезом легких умеренно выраженные, не отличающиеся от реакций у здоровых, но инфицированных людей. Подкожное введение туберкулина у больного с впервые выявленным активным очаговым туберкулезом может вызывать общую и очаговую реакцию. В связи с этим пробу с подкожным введением туберкулина используют у лиц с неясной этиологией очаговых изменений в легких или для определения активности туберкулезных очагов.
Лабораторные исследования. Для обнаружения в мокроте у больных активным очаговым туберкулезом МВТ применяют бактериологическое исследование мазка, посев и в некоторых случаях заражение животных. Бактериовыделение при очаговом туберкулезе скудное, поэтому мокроту и содержимое бронхов исследуют не менее 3 раз, при этом возбудитель обнаруживают не более чем у 5% больных. Несмотря на это, больные очаговым туберкулезом могут представлять определенную эпидемиологическую опасность. В связи со скудностью клинико-рентгенологической симптоматики обнаружение МБТ имеет большое значение для подтверждения диагноза туберкулеза и его активности.
Гемограмма у большинства больных очаговым туберкулезом часто не изменена. Только у некоторых больных выявляют увеличение палочкоядерных нейтрофилов, лимфоцитов или лимфо-пению, увеличение СОЭ (не более 10—18 мм/ч), незначительные сдвиги показателей гуморального и клеточного иммунитета, обмена веществ. Эти изменения характерны главным образом для больных с экссудативными формами очагового туберкулеза.
Бронхоскопическое исследование. Туберкулезное поражение бронхиального дерева при свежем очаговом туберкулезе легких диагностируют редко. Только в случаях эндогенной реактивации очагов в лимфатических узлах средостения или корня легкого можно выявить локальное воспаление стенки бронха или бронхиальный свищ.
При хроническом очаговом туберкулезе бронхоскопически обнаруживают деформацию бронхов и диффузный эндобронхит. При неясной активности процесса выявление туберкулеза бронха является достоверным показателем активности очагового туберкулеза легких.
Исследование функций дыхания и кровообращения. Функция внешнего дыхания у большинства больных остается ненарушенной. Ее нарушения у отдельных больных обусловлены ухудшением газообмена и обструкцией бронхов в результате интоксикации и в меньшей степени поражением паренхимы легкого. По этой же причине у больных наблюдаются тахикардия, лабильность артериального давления и в отдельных случаях дистрофические изменения миокарда.
Диагностика. В диагностике очагового туберкулеза легких в связи с его бессимптомным или малосимптомным течением основное значение имеет рентгенологический метод исследования. При этом обязательна томография пораженного отдела легкого, позволяющая уточнить локализацию, распространенность и характер процесса. Рентгенологическая картина этой формы туберкулеза характеризуется наличием очагов округлой или полициклической формы, либо малой интенсивности с нечеткими контурами, либо высокой интенсивности с четкими контурами на фоне тя-жистости. Для подтверждения диагноза важен ретроспективный анализ данных флюорографического обследования больного. Выявление на предыдущих флюорограммах плотных очагов в легких является важным доказательством туберкулезной этиологии процесса, поскольку туберкулезные очаги склонны к медленному развитию и торпидному течению. Отрицательные туберкулиновые реакции обычно позволяют исключить туберкулезную этиологию очагов.
Большое значение в диагностике очагового туберкулеза легких имеет обнаружение в мокроте, промывных водах бронхов и другом патологическом материале МБТ. Достоверность диагноза туберкулеза возрастает при многократном обнаружении МБТ. В диагностике активного очагового туберкулеза легких большую ценность имеют результаты специфической химиотерапии: уменьшение и тем более рассасывание очагов через 3—6 мес лечения подтверждают диагноз.
Большие трудности возникают при определении активности очагового туберкулеза. В связи с малосимптомным течением и частым несоответствием рентгенологической картины выявленных очагов активному процессу ошибки в определении характера воспалительной реакции при очаговом туберкулезе возможны как в сторону гиподиагностики активности туберкулезного процесса, так и гипердиагностики. Об активности очаговых изменений в легких свидетельствуют наличие симптомов интоксикации, влажных хрипов над областью поражения, рентгенологически малая интенсивность очагов, нечеткость их контуров, общая и очаговая реакции на подкожное введение туберкулина, выявление МБТ в мокроте, положительная динамика рентгенологической картины в процессе лечения больного.
Лечение. Используют комбинацию из 2 или 3 противотуберкулезных препаратов. При экссудативной форме впервые выявленного очагового туберкулеза больным показаны изониазид, стрептомицин и рифампицин (или этамбутол) в течение 6—9 мес, из них стрептомицин — только первые 3 мес. При продуктивной форме очагового туберкулеза больным назначают изониазид и рифампицин (этамбутол или пиразинамид) также в течение 6—9 мес. Аналогичное лечение проводят больным с обострением хронического очагового туберкулеза. Первые 4 мес они получают препараты ежедневно, в последующем — прерывисто 2—3 раза в неделю.
При сомнительной активности впервые выявленного хронического очагового туберкулеза назначают изониазид в комбинации с другими препаратами на срок от 2 до 6 мес. При положительной динамике рентгенологической картины химиотерапию продолжают до излечения больного.
В результате лечения свежие очаги могут подвергнуться полному рассасыванию, но чаще наблюдается формирование фиброзных или кальцинированных очагов на фоне пневмосклероза. У больных, не лечившихся или получавших неадекватное лечение, очаговый туберкулез может прогрессировать и служить источником развития распространенных, тяжелых форм туберкулеза легких.
Читайте также:




