Женский организм – это механизм, настроенный на вынашивание и рождение здорового ребенка, поэтому женщина, планирующая беременность, обязательно должна знать, какие процессы происходят в ее половой системе в течение всего менструального цикла. Для успешного оплодотворения и зачатия малыша существует период длительностью в несколько часов, который называется овуляцией. Современные цифровые технологии предоставляют множество возможностей рассчитать наступление этого периода. Однако достоверными бывают и признаки овуляции, которые ощущаются самой женщиной.
Когда происходит овуляция
Менструальный цикл большинства женщин, находящихся в детородном возрасте, длится от 28 до 32 дней, а разделить его можно на три фазы:
- Фолликулярная – начальная, характеризует наступление кровотечения и длится от 10 дней до 2-х недель. Под влиянием гормонов яичник активирует первичные фолликулы, и они начинают созревать. Матка в этот период готовится к возможной беременности.
При этом в доминирующем состоянии при созревании удаётся остаться одному-двум фолликулам. Именно такой компонент яичника позже выпускает яйцеклетку, чтобы оплодотворение стало возможным.
- Овуляторная – доминирующий фолликул разрывается, яйцеклетка выходит из яичника и устремляется в фаллопиевы трубы, оттуда она двигается к матке. Лопнувший фолликул заменяется образовавшимся жёлтым телом, которое, в свою очередь, вырабатывает половой гормон прогестерон и готовит слизистую матки к потенциальной беременности.
Время овуляции у каждой женщины зависит от индивидуальных особенностей, но, как правило, случается это за две недели до следующей менструации. А период, когда возможно наступление беременности, составляет от 12 часов до суток после того, как вышла яйцеклетка. Более точно это время можно определить по графику базальной температуры и календарю овуляции.
- Лютеиновая – оплодотворённая яйцеклетка движется к матке (по времени – от недели до 10 дней), прикрепляется к стенке, происходит имплантация и начинается развитие эмбриона. Примерно к 12-й неделе главные функции жёлтого тела, производящего прогестерон с целью сохранить беременность, принимает на себя плацента, и тогда оно исчезает.
Если оплодотворение не произошло, яйцеклетка гибнет в течение суток, после того, как наступила овуляция. Уровни гормонов нормализуются, а жёлтое тело исчезает.
Если в период овуляции в фаллопиевы трубы выходят две яйцеклетки (такое случается, но реже) и происходит оплодотворение их двумя разными сперматозоидами, то рождаются близнецы.
Фазы менструального цикла
Физические ощущения
В каждом яичнике содержится несколько тысяч яйцеклеток, которые расходуются в течение жизни женщины цикл за циклом. Диаметр незрелого фолликула меньше 1 мм. В начале каждого цикла в одном из яичников начинает созревать яйцеклетка и при этом размер фолликула увеличивается до 16-20 мм. В период овуляции фолликул раскрывается, и яйцеклетка выходит в область брюшины, откуда она попадает в маточную трубу и начинает двигаться в сторону матки.
Физически почувствовать разрыв фолликула практически невозможно, так как он не имеет нервных окончаний. Продвижение яйцеклетки по маточным трубам ощущается в виде тяжести внизу живота или же других неприятных ощущений. Могут быть и иные признаки. Как почувствовать овуляцию, должна точно понимать женщина, так как этот процесс имеет важное значение в зачатии.
Признаки овуляции
Симптоматика также может проявляться индивидуально у каждой женщины и не всегда повторяется в пределах каждого цикла. Что касается неизменных признаков, то овуляция характеризуется тем, что трансформируется структура цервикальной слизи, а также повышается базальная температура тела.
Некоторые представительницы прекрасного пола и вовсе не ощущают никаких симптомов, но таких женщин меньшинство. В данном случае единственный надёжный способ выявить овуляцию – УЗИ.
Следует отметить, что ощущения во время овуляции необходимо контролировать, поскольку это увеличивает шансы забеременеть. Бдительность в данном случае также поможет предотвратить возможные осложнения.
О базальной температуре
Это наиболее низкая температура тела, фиксируемая после долгого сна в состоянии покоя. Фолликулярная фаза (первая) менструального цикла характеризуется температурой чуть ниже 37 °С, она понемногу понижается (до 36.3-36.5 °С) к моменту приближения овуляции. Процесс выхода яйцеклетки и всплеск прогестерона увеличивают температуру до в 37.1-37.3 °С.
Для женщины, желающей забеременеть, очень важно составлять график базальной температуры организма, поскольку это наиболее популярный способ отслеживания наступления овуляции.
Измерения производятся за 2 – 3 месяца до возможного зачатия с использованием цифрового термометра, который вводится в прямую кишку. Информация, содержащаяся в составляемом графике, в следующих циклах поможет определить наступление овуляции.
Изменение цервикальной слизи
Появление такой жидкости в шейке матки в период менструального цикла – естественное явление для организма женщины. И если наступила овуляция, под воздействием эстрогенов эта слизь становится прозрачной, эластичной и скользкой, похожей на яичный белок. Подобным образом в организме вырабатываются благоприятные условия для лёгкого проникновения сперматозоидов сквозь барьер между влагалищем и шейкой матки.
Лучший метод проверки того, достигла ли цервикальная слизь необходимой для овуляции консистенции, растянуть её между пальцами – большим и указательным.
Отметим, что по мере того, как женщина взрослеет, количество вырабатываемой цервикальной слизи уменьшается.
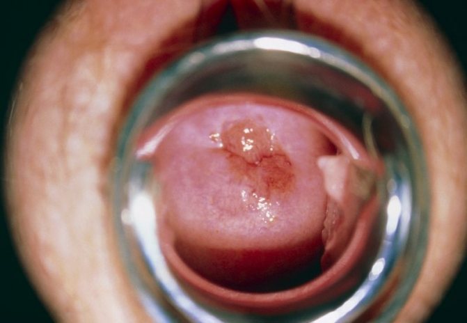
Шейка матки, изменение положения
Шейка матки играет большую роль в женской репродуктивной системе. Она соединяет влагалище с маткой и действует как барьер, который открывается в наиболее фертильный период, позволяя сперматозоидам проникнуть к месту оплодотворения. Во время овуляции шейка матки становится мягкой, высокой и влажной.
Обращение к врачу поможет вам выяснить на основе ваших показателей свой срок овуляции
Определить наступление овуляции по шейке матки, соединяющей влагалище с собственно маткой и способствующей проникновению сперматозоидов к месту оплодотворения, достаточно легко. Следует проделать следующее: стоя в удобном положении, внутрь влагалища ввести два пальца.
До шейки матки должен достать самый большой из них: если она на ощупь схожа с касанием кончика носа и находится низко – овуляция не наступила, а если шейка мягкая и находится высоко – это знаменует начало овуляторной фазы.
Кровянистые выделения
Если подобные выделения во время овуляции незначительны, то это считается нормой. И переживать по этому поводу не стоит. Однако, если данное явление затягивается, требуется посетить врача который исключит либо подтвердит наличие инфекции или наступление внематочной беременности.
Повышенное половое влечение
Некоторых женщин в период овуляции сильнее влечёт к партнёру. Одни специалисты считают, что это своеобразные сигналы организма, стремящегося продолжать род. Однако, по уверениям иных докторов, данному симптому особо доверять не стоит, ибо причины тому могут всё же быть разными, и это не обязательно – овуляция.
У некоторых женщин отмечается повышение либидо во время овуляции
Увеличение объёма груди
Данный симптом также является необязательным. Боли в области груди из-за повышения уровня гормонов в период овуляции, конечно, не исключаются, как и увеличение грудных желез.
Но данный симптом необходимо рассматривать вкупе с иными, дабы определить наступление овуляции.
Болезненные ощущения в нижней части живота – причины
Такие боли в период овуляции, схожие с короткими спазмами либо достаточно интенсивными покалываниями внизу живота, объясняются следующим: происходит разрыв доминирующего фолликула и высвобождение яйцеклетки. При этом брюшина растягивается, что раздражает её болевые рецепторы. Если менструальный цикл протекает в норме, то боли исчезают в этот же день, как исключение – у некоторых женщин – процесс длится несколько дней.
Поэтому не стоит проявлять беспокойство из-за незначительных и непродолжительных болей в период овуляции, это всё естественные проявления физиологии.
Боли внизу живота могут быть симптомом овуляции, но лучше выяснить это у доктора
Кристаллизация слюны
Наступление овуляции также характеризуется кристаллизацией слюны. Рассмотреть в домашних условиях проявление данного симптома можно, прибегнув к помощи микроскопа: слюна походит на иней, собравшийся на стекле. Объясняется данное явление увеличением уровня лютеинизирующего гормона.
Обострение обоняния
Для многих женщин в период овуляции этот симптом также может быть нормой. Характерен он для второй фазы менструального цикла. Причём, обоняние повышается очень сильно, возможно также и изменение во вкусовых пристрастиях. Так, запахи, которые обычно вызывают неприязнь, во время овуляции, напротив, начинают привлекать.
Вздутие живота
Этот признак овуляции, хотя и редкость, но в лёгкой форме иногда наблюдается у женщин в означенный период. Обычно он является следствием повышения уровня эстрогена. Данный гормон задерживает жидкость в организме.
Проявление симптома становится более отчётливым, если у женщины наблюдается гормональный дисбаланс.
Еще один симптом овуляции – вздувшийся живот
Болезненные ощущения
При выходе яичника разрывается стенка яичника. Образуется своего рода ранка, которая доставляет дискомфорт и неприятные ощущения. Обычно женщина этого не замечает, если не прислушивается к своему организму. Обусловлено все это минимальной интенсивностью боли.
Как почувствовать овуляцию в домашних условиях, интересует многих женщин. Боль является одним из характерных признаков наступления этого процесса. Иногда наблюдается незначительная болезненность в боку. Это проявляется в виде некоторого покалывания, а также возможна ноющая и тянущая боль. Продолжается она от разового появления до нескольких часов или даже дней.
Некоторые женщины чувствуют достаточно сильную боль, которая иногда отдает в поясницу. При этом она может быть с разных сторон. Все зависит от яичника, в котором произошла выработка яйцеклетки.
Иногда ощущаются боли в брюшине, что вызывает определенную тревожность у женщин. Это может быть спровоцировано попаданием крови от разрыва в брюшную полость. Это вполне естественный процесс, она выйдет через несколько дней самостоятельно. Если же этого не произошло, а также наблюдается повышение температуры и другие признаки, то нужно посетить доктора, чтобы предотвратить развитие опасных последствий.
Многие интересуются, как почувствовать овуляцию. Признаки во многом зависят от последующего протекания процесса. Если произошло оплодотворение, то примерно через неделю эмбрион закрепляется в матке, что сопровождается болезненностью.
При наличии температуры и тошноты возможно развитие воспаления, наличия патологий в расположении придатков и многие другие нарушения. В таком случае нужно обратиться к доктору.
Если боль очень сильная и появляется в другие периоды цикла, то возможен разрыв стенки яичника, воспаление придатков или другие неприятные болезни.
Как составлять календарь овуляции и делать расчёты
Контроль за собственным менструальным циклом, нормальным течением естественных процессов должна осуществлять каждая девушка, женщина. Он важен для быстрого реагирования на возможные патологические изменения в организме, ведь они могут быть следствием серьёзных заболеваний.
Необходимо вести календарь, где отмечать первые дни начинающихся менструаций. При этом контролируются, собственно, следующие моменты:
- регулярность цикла – длительность должна быть одинаковой, допускаются отклонения лишь до двух дней;
- длина – подсчитывается количество дней между первыми числами; нормальным показателем считается 28 дней;
- сколько дней длится менструация. Всё в норме, если проходит одинаково в каждом периоде – речь об обильности, характере и длительности выделений.
Календарь может также стать и расчётным: он поможет в ведении расчётов ожидаемой овуляции, если женщина планирует рожать. Пусть эти значения и будут приблизительны, учитывать их необходимо, как и наблюдать за своим состоянием. А составить женский календарь и сделать это на несколько месяцев вперёд можно, воспользовавшись специальным калькулятором.
С помощью календаря овуляции вы сможете вычислить наиболее благоприятный день для зачатия ребенка
Нерегулярность циклов
Если имеют место отклонения в периодичности менструального цикла (от шести дней и более), расчёты ведутся несколько иначе: с этим поможет врач. Однако, точность показателей при расчёте овуляции в случае нерегулярности циклов уменьшается.
Женщине необходимо, отталкиваясь от расчётной даты, проводить наблюдения за изменениями, происходящим в организме. Выявив вышеописанную симптоматику, можно регулярно вступать в половые акты.
Зачем знать сколько дней или часов длится овуляция?
Одни женщины — сильно хотят ребенка, а другие — очень возражают против такого развития событий. Информация про то, сколько дней идет овуляция даст подсказку о «плодотворности» или безопасности незащищенного полового акта в определенные дни менструального цикла. Как изменяются шансы забеременеть, в зависимости удаленности сексуального контакта от фертильного периода:
| Дней до овуляции | Шансы на беременность | Описание периода |
| 6—7 | вероятность крайне мала | При высокой жизнеспособности сперматозоидов имеются низкие шансы на то, что они могут дождаться созревания яйцеклетки. |
| 3—5 | 4—16% | В среднем, мужская половая клетка активна внутри женского тела около 3–4 суток, но бывают сперматозоиды живут и 5—7 дней. Так что, чем ближе к овуляции происходит половой акт, тем больше шансов на оплодотворение. С каждым днем шансы на зачатие угасают: сперматозоиды гибнут и становятся менее активными. |
| 1-2 | 27-31% | Большое количество женщин при незащищенном половом акте в этот отрезок времени беременеют после наступления овуляции, так как сперматозоид сразу оплодотворяет яйцеклетку. |
| в день | 33% | Яйцеклетка покинула фолликул и движется по маточным трубам в надежде быть оплодотворенной сперматозоидом. |
| спустя день | минимальны | Фертильный период заканчивается с гибелью яйцеклетки — максимум через 48 часов после выхода ее из фолликула. Но при сбое в работе яичников таких половых клеток может быть 2 и даже 3 — это редкий случай, они могут выйти в разные дни, а значит произойдет две овуляции. |
Таким образом, если пара планирует расширение семьи, то необходимо проявлять особую половую активность именно к моменту потенциального выхода яйцеклетки.
Как можно дополнительно определить овуляцию
Кроме вышеназванных расчётов и наблюдений, женщина может воспользоваться и дополнительными методами, которые с большой вероятностью позволяют определить день овуляции. В частности, это:
- тест-полоски;
- базальная температура;
- аппараты, анализирующие слюну;
- УЗИ.
Тест-полоски, определяющие овуляцию
Использование таких полосок, пожалуй, самый простой метод определения овуляции. Он позволяет распознать повысившийся уровень лютеинизирующего гормона в организме, что является сигналом наступления фертильного периода. Существуют бумажные, пластиковые тест-полоски, и цифровые дисплеи (последние представляют собой более дорогой вариант).
Тест на овуляцию лучше проводить с утра
Чтобы эффективно провести тестирование, необходимо не мочиться 4 часа: таким образом соответствующий гормон максимально концентрируется в моче. Поэтому большинство женщин считает, что пользоваться такими полосками лучше всего утром после сна.
Если результат оказывается положительным, и уровень гормона повышен, тест-полоска окрашивается в такой же цвет либо несколько темнее, что и контрольная. Как правило, овуляцию можно ждать максимум через 1-2 дня с начала повышения уровня лютеинизирующего гормона. Данный период наиболее благоприятен для зачатия.
Стоит отметить, что начало тестирования зависит от продолжительности цикла.
УЗИ
Данный вариант является наиболее верным и максимально точным. Однако, заметим, что прибегнуть к нему следует, если самостоятельно определить день появления клетки не выходит, например, в случае нерегулярности циклов, либо по причине отсутствия симптоматики, соответствующей овуляции.
Тогда врач проводит осмотр с помощью УЗИ на 7-й либо 9-й день цикла. В частности, ведётся наблюдение за процессом появления фолликула и тем, как быстро он растёт.
Осмотры с этой целью назначаются через день или два. Когда фолликул становится нужных размеров, врач сообщает дату выхода клетки и назначает дни для проведения половых актов, которые являются оптимальными для зачатия.
Микроскопы
Это и есть аппарат для анализа слюны. Такие приборы гораздо удобнее, нежели вышеозначенные тест-полосы. Но, безусловно, в силу того, что допускается многоразовое использование микроскопов, стоимость их не мала. Этот вариант – для женщин, которые испытывают трудности с определением дня оплодотворения и, собственно, самим процессом. Прибор помогает по слюне разобраться с задачей.
Такие микроскопы хороши удобством и простотой в применении. Они очень компактны, а использовать их можно где угодно: следует лишь нанести мазок слюны на предметное стекло и взглянуть на него через микроскоп. Когда стенка фолликула разрывается, микроскоп показывает своеобразный рисунок в виде листа папоротника: такое изображение образуют соли в слюне.
Базальная температура
Конечно, составлять такой график – занятие трудоёмкое. Следует каждый день делать ректальные замеры и отмечать их в графике. Кривая покажет спад до овуляции и «пойдёт» вверх в процессе выхода клетки.
Соответственно, благоприятный момент наступит при характерных скачках. Но стоит заметить, что замеры должны быть очень точными, поскольку диапазон «пиков» составляет всего 0,4-0,6 градуса.
Измерение базальной температуры-один из способов определения овуляции
Сроки наступления
Зная о том, что зачатие возможно только тогда, когда у женщины в маточной трубе есть живая и активная половая клетка, не трудно понять, что к продолжению рода она способна только в овуляторный период. Когда же он наступает?
Описанные нами выше процессы созревания яйцеклетки происходят в период фолликулярной фазы женского цикла. Длится она у всех по-разному, поскольку очень зависима от гормонального фона, состояния здоровья, возраста женщины и массы других факторов, которые могут отразиться на смещении дня овуляции как в большую, так и в меньшую сторону.
Медицинские издания и официальные источники утверждают, что овуляция происходит в середине цикла, и правильнее было бы вести отсчет с другой стороны — не с начала, а с конца цикла, вычитая из общей длительности цикла 14 дней.
Это число вполне объяснено и обоснованно. Если у женщин первая половина цикла не отличается стабильностью и может варьироваться по продолжительности, то вторая фаза цикла, период после овуляции, который проходит под действием прогестерона, длится обычно вполне стандартные 14 дней. Погрешность невелика — не более суток в плюс или минус.
Во второй половине цикла влияние внешних и внутренних факторов на гормональный фон минимизировано, именно поэтому у женщин с разными по длительности циклами вторая фаза (лютеиновая) почти всегда длится одинаковое количество дней — 14.
Зная это, можно высчитать предположительный день овуляции. При 28-дневном цикле момента выхода ооцита стоит ожидать на 14 день, при 30-дневном цикле — на 16 день и так далее.
Конечно, на практике важный день способен смещаться, и это зависит от длины первой фазы. Она может быть ранней или поздней, к тому же нет гарантий, что яйцеклетка в текущем цикле вообще созреет и покинет фолликул.
Циклы без овуляции называются ановуляторными, и в норме такое явление происходит у здоровых женщин несколько раз в год. С возрастом количество «пустых» циклов возрастает, что объясняет, почему бывает сложно забеременеть совершенно здоровой даме после 36-38 лет.
Смещение дня овуляции возможно при гормональном сбое, различных эндокринных заболеваниях, нарушении работы надпочечников, щитовидной железы, при некоторых новообразованиях, при патологии яичников, а также вследствие несбалансированного питания, резкого похудения или набора веса, сильных переживаний и стресса, перенесенного гриппа или ОРВИ.
Смещается цикл и в случае путешествий, в которых женщина испытала сбой внутренних биологических ритмов при смене часовых или климатических поясов. Недостаточный ночной сон, работа на вредном производстве, непомерные физические нагрузки и даже нерегулярная половая жизнь — это далеко не самый полный перечень причин, по которым сам день овуляции может случиться раньше или позднее рассчитанного срока.
Уточнить данные, полученные в ходе расчетов, не так сложно. Женщина может воспользоваться домашними тестами на овуляцию. Они продаются в аптеках и очень просты в использовании. При появлении двух полосок можно считать, что овуляция произойдет в период от 12 до 48 часов.
Субъективные ощущения при овуляции
Менструация – очень хрупкий процесс и сбить его не составляет труда, а вот восстановлению и чёткому выделению фаз он поддаётся сложно. Ориентироваться в данном вопросе нередко помогают личные ощущения женщины. Но дабы информация была наиболее достоверной, наблюдать за тем, что происходит в организме, следует не один месяц.
Помимо уже перечисленных, непременно сопровождающих процесс овуляции ощущений, возможны и появление субъективных:
- повышение физической выносливости, работоспособности;
- ощущение спокойствия, умиротворённости и внутренней уверенности;
- перед самой овуляцией женщина может заметить, что её связки, мышцы отлично тянутся и стали более гибкими. Особенно это отмечают особы, занимающиеся гимнастикой, танцами либо йогой;
- особо чувствительным в этот период может стать и само влагалище, и тогда занятия любовью сопровождают более яркие эмоции, эрогенные зоны женщины отзываются даже на самые поверхностные прикосновения.
Обычно овуляция происходит на 14-15-16 день цикла. Продолжается она несколько дней, а к наступлению беременности приводит законченный половой акт.
Болезненность груди может тревожить женщину при наступлении овуляции
Эмоциональное состояние
Как почувствовать овуляцию? Признаки этого процесса выражаются также и в эмоциональном состоянии женщины. Овуляция протекает под влиянием определенных гормонов. Если почувствовать разрыв фолликула практически невозможно, то выброс гормонов может привести к определенным ощущениям в теле, а также оказывает влияние на эмоциональное состояние.
Нужно обязательно научиться понимать свой организм. За сутки до наступления овуляции резко повышается уровень эстрогена. Этот гормон положительно влияет на психологическое состояние женщины. Наблюдается повышение активности, чувство уверенности в себе, удовлетворенности. Кроме того, повышается сексуальное влечение. И это совершенно не случайно, так как в этот момент вероятность зачатия становится наиболее высокой, а значит, требует активности и желания.
Эстрогены – очень сильные гормоны, которые применяются для лечения различных депрессивных состояний. Чем выше уровень эстрогенов, тем лучше самочувствие.
Признаки завершения овуляции
Таких особых признаков – несколько, и они не дают повода усомниться в том, что овуляция на самом деле завершилась. Признаки следующие:
- изменяется характер выделений – в овуляционный период они обильные и жидкие, после него – это липкие беловатые массы;
- нормализуется общее состояние – исчезают прыщики, если они появлялись, становится более мягкой грудь;
- постепенно снижается базальная температура.
Определить завершение овуляционного периода календарным способом также достаточно просто. Для этого следует знать день его начала и прибавить к нему 48 часов. Этот день по расчёту можно считать завершающим для овуляции.
Успешное зачатие, каковы его симптомы
Определить, завершилась ли овуляция зачатием, можно по следующим признакам:
- задержка менструации;
- набухание груди и болезненные ощущения в ней;
- тошнота и рвота;
- головная боль;
- повышенная потребность в еде;
- учащенное мочеиспускание.
Среди симптомов овуляции преимущественно выделяют…
- Увеличение интенсивности выделений из влагалища, а также и изменения в их консистенции (прим. – они становятся более вязкими и густыми). Возможны и выделения с кровью.
- Болезненность в низу живота («тянет» живот, практически как перед менструацией).
- Повышенное газообразование.
- Появление болезненности или ощутимое повышение чувствительности груди.
- Резкие изменения вкусовых пристрастий, повышение чувствительности даже к привычным запахам.
- Повышенное влечение.
Все эти симптомы проявляются по одному-два — или сразу одновременно, после овуляции они обычно проходят.
Но полагаться только лишь на эти симптомы, конечно, не следует! Важно понимать, что данные признаки могут появляться и по причине заболеваний, отражающихся на гормональном фоне женщины.
Ну и, кроме того — овуляция может проходить и вовсе бессимптомно.
Симптомы заболевания
Нередко именно в овуляционный период у женщины легче всего определить наличие тех или иных гинекологических заболеваний.
В частности, возможно появление воспалений, кист в яичнике, спаек либо полипов – такие патологические процессы препятствует нормальному ходу овуляции.
Признаки, сопровождающие гинекологические болезни, могут быть следующими:
- повышение температуры;
- интенсивные боли в момент выхода клетки;
- довольно продолжительные боли (от 3-х дней).
Какие выделения принято считать нормой
Перед овуляцией увеличивается показатель эстрогена. Это приводит к изменению характера слизи. Выделения постепенно разжижаются и становятся липкими и клейкими. Нормальным считается секрет:
- прозрачный с желеобразной консистенцией;
- в малом количестве;
Выделения при овуляции не должны иметь запаха и интенсивного окраса
- не имеющий постороннего запаха;
- не оказывающий раздражающего действия на кожный покров;
- который не сопровождается зудом или повышением артериального давления.
По мере созревания клетки слизь становится более жидкой. Это необходимо для нормального оплодотворения и беспрепятственного проникновения сперматозоидов.
Когда возникают кровянистые выделения
Насыщенные кровянистые выделения в большом количестве – не признак овуляции. Обычно симптом патологический и может быть связан с:
- полипами;
- гиперплазией эндометрия;
При раке могут быть кровянистые выделения
- миомой;
- раком шейки матки;
- поликистозом яичников;
- гормональными нарушениями;
- гематологические патологии.
Установить истинную причину можно только благодаря комплексной диагностике.

