Что такое эндометрий
Эндометрием называют специальные клетки эпителия, которые покрывают внутреннюю поверхность матки. Особенностью такой ткани является способность утолщаться в последние дни менструального цикла. В этот период кровоснабжение также становится более насыщенным. Все это необходимо для того, чтобы эмбрион мог надежно укрепиться в полости органа. Если же зачатие не происходит, то некоторая часть клеток отпадает. Выводятся они из организма с наступившей менструацией. В последующий цикл эндометрий снова восстанавливается.
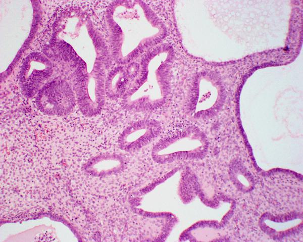
Типы полипов
Нередко на эндометрии можно наблюдать новообразования, которые имеют вид узелка (на ножке). Это полипоз эндометрия матки. Размер образований может быть до нескольких сантиметров. Выделяют несколько их видов. В тканях желез диагностируют железистые полипы. Фиброзные могут образовываться в соединительных клетках. Также могут соединяться оба типа – это так называемые железисто-фиброзные полипы. Существует еще одна группа новообразований – аденоматозные. В этом случае в структуре присутствуют атипичные клетки. Специалисты иногда называют такое заболевание предраковым состоянием. Чаще всего полипоз эндометрия диагностируется у женщин после 35 лет. Однако сегодня можно встретить даное заболевание и у подростков, и у молодых женщин. Иногда пациентки даже не подозревают о наличии у себя полипов.
Эндометрий представляет собой гормоночувствительную ткань, которая подвергается циклическим изменениям. Эндометрий — орган-мишень для половых гормонов, в связи с чем любые гормональные нарушения приводят к возникновению патологических изменений эндометрия — нарушению роста и дифференцировки его клеток и, как следствие, формированию полипов полости матки.
В патогенезе полипов эндометрия главную роль играют нарушения функции яичников, приводящие к развитию гиперэстрогении — дисбалансу гормонов в организме женщины, при котором отмечается увеличение количества женских половых гормонов — эстрогенов.
Выделяют два варианта гиперэстрогении: абсолютную и относительную [6][9][20][25][31]:
- Относительная гиперэстрогения — когда при нормальном количестве эстрогенов уменьшается выработка гестагенов.
- Абсолютная гиперэстрогения — при любом уровне гестагенов вырабатывается большое количество эстрогенов.
Ряд авторов утверждает, что в развитии данного процесса превалирует состояние абсолютной гиперэстрогении [18][34], большинство же считает решающим развитие относительной гиперэстрогении [28].
Нарушения рецепторного аппарата эндометрия играют одну из главенствующих ролей в развитии и формировании полипов. Исследования, посвящённые изучению рецепторного аппарата эндометрия в норме и при патологических его изменениях показали, что в патогенезе полипов эндометрия важная роль принадлежит нарушениям в системе гормон — рецептор [1][6].
Изменения рецепторного аппарата клеток эндометрия возникают в результате травматических повреждений слизистой оболочки матки при абортах, выскабливаниях полости матки. Не последнюю роль в этом процессе играют и частые воспалительные заболевания женских половых органов.
Работы последних лет показывают, что в патогенезе полипов эндометрия существенную роль играет изменение функции «иммунного надзора». В норме иммунитет контролирует размножение клеток, правильно распознаёт клетки собственного организма и устраняет аномальные. Гиперпластический процесс эндометрия происходит в том случае, когда этот механизм нарушается, когда иммунная система не «видит» патологически изменённые клетки и не уничтожает их. Выявленный сдвиг может быть как наследственно обусловленными, так и развившимися при экспрессии (переносе генетической информации) или мутациях соответствующих генов в течение жизни больных.
Особенностью иммунной системы эндометрия является то, что она обладает собственными иммунными механизмами и находится в тесном контакте с потоком микробного и аллергенного материала. При этом в эндометрии пациенток с подтверждённым аденоматозом (предраковым состоянием) кроме выраженного скопления лейкоцитов и лимфоцитов выявлены значительные изменения популяционного состава лимфоцитов и клеток моноцитарно-макрофагального ряда. В литературе также имеются сведения о возникновении вторичного иммунодефицитного состояния (проявляется снижением содержания в периферической крови общего количества Т- и В-клеток, особенно их активной фракции) и интерферонодефицитного состояния [38][39][40][41][13].
В патогенезе развития данного пролиферативного заболевания имеет место не только клеточная пролиферация (размножение), но и подавление процессов апоптоза (генетически запрограммированного процесса гибели клеток). Снижение процессов апоптоза приводит к накоплению изменённых клеток и, как следствие, формированию патологии эндометрия.
Установлено, что в формировании полипов эндометрия одну из основных ролей играет генетический фактор. В настоящее время уже подтверждена наследственная предрасположенность к образованию полипов, так как в большинстве случаев заболевание наблюдается у нескольких членов одной семьи. Доказано наличие хромосомной аберрации (изменения структуры хромосомы, вызванного её разрывом с последующим перераспределением, утратой или частичным удвоением генетического материала). Аберрация, в свою очередь, обусловлена изменением структуры некоторых хромосом, которые связаны с геном, отвечающим за возникновение полипов.
Таким образом, сложное взаимодействие общих системных процессов (нейроэндокринных, метаболических, иммунных) и локальных изменений (рецепторного и генетического аппарата эндометриальных клеток), участие ряда биологически активных соединений (факторов роста и апоптоза, цитокинов, простагландинов), а также наследственная предрасположенность обусловливают патогенез патологических процессов эндометрия [1][6].
Полипоз эндометрия. Причины возникновения
Конкретные причины возникновения заболевания неизвестны. Однако специалисты выделяют ряд факторов, способных спровоцировать данное состояние. Прежде всего, это нарушения гормонального фона. Наблюдаются такие изменения при переизбытке эстрогенов и недостаточном количестве прогестерона. Следующая возможная причина – механические повреждения полости матки. Произойти такое может вследствие проведенных абортов. Также спровоцировать полипоз эндометрия может усиленный рост кровеносных сосудов, которые находятся в полости матки. Инфекционные заболевания, наследственность – это также способно вызвать подобную болезнь. Также группу риска составляют люди, больные сахарным диабетом, и те, что имеют большой лишний вес.
Безоперационное лечение китайскими тампонами
При невозможности проведения хирургического вмешательства для того, чтобы удалить полип эндометрия, лечение без операции проводится консервативными методами — китайскими тампонами. Также они применяются в качестве профилактики рецидивов. Наиболее известны тампоны Clean Point, Бьютифул Лайф. Для прохождения курса лечения понадобится 10-12 тампонов, для профилактики — 2 тампона в месяц. Они состоят из натуральных растительных компонентов широкого спектра действия, нормализуют гормональный фон и борются с инфекционными заболеваниями. Народные средства наравне с медицинскими методами существуют и нетрадиционные способы, чтобы удалить полип эндометрия, народные средства показывают низкую результативность лечения. Одним из способов является использование чеснока – его необходимо раздавить, обернуть в бинт, сформировать тампон и обвязать нитью. Тампон вводят на ночь во влагалище в течение одного месяца. Многие, опробовавшие этот метод, подвергают критике народное лечение фиброзного полипа эндометрия, отзывы свидетельствуют о том, что выдержать даже четырех часов очень сложно, не говоря уже обо всей ночи. Таким образом можно сжечь слизистую оболочку влагалища.
Симптоматика
Нередко полип никак себя не проявляет, и женщина даже не подозревает о его наличии. Как правило, диагностируют болезнь случайно (при обследовании ультразвуком). Но могут проявляться и специфические симптомы. Стоит обратить внимание на обильные месячные, а также любые выделения крови посредине цикла. Нерегулярность менструации – еще один симптом заболевания. Если полип имеет большие размеры (более 2 см), то возможны специфические болевые ощущения. Также нередко женщина испытывает неприятные чувства во время занятия сексом. Если после наступления менопаузы происходят кровотечения, то специалист может заподозрить наличие новообразований.
Полипоз эндометрия и беременность также связаны. Как правило, женщине не удается зачать ребенка с данным диагнозом. Полип в организме ведет себя как внутриматочная спираль, то есть не дает возможности закрепиться оплодотворенной яйцеклетке в полости органа. Также он может блокировать фаллопиеву трубу, при этом сперма попасть внутрь не может.
Первые признаки и симптомы полипа эндометрия
Единичные полипы малых размеров часто формируются, не давая никакой симптоматики, и являются случайной находкой при ультразвуковом обследовании матки.
Основной признак наличия полипа эндометрия в матке — ненаступление желанной беременности и бесплодие на фоне общего здоровья.
Разрастание маточных полипов (множественные очаги, большие размеры) проявляется следующим образом:
- Периодически возникающая боль (резкая или ноющая) внизу живота, усиливается при половом акте;
- Бели — увеличенный по сравнению с обычным объем выделений беловатого цвета;
- Сукровичные выделения — скудные кровянистые выделения вне менструации, после полового акта;
- Кровотечения — возникают спустя 1-2 недели после окончания менструации;
- Болезненные, обильные менструальные кровотечения.
Разновидности проявления гиперплазии эндометрия:
Как диагностируется полипоз
При обычном осмотре у доктора полип обнаружить не удается (разве что его размеры настолько велики, что выходят за полость матки). Обычно полипоз эндометрия диагностируется при проведении ультразвукового исследования. При этом обнаруживается локализация новообразования, его размеры, а также оценивается состояние окружающих тканей. Бывают случаи, когда полип виден не четко. В таких ситуациях необходима гистероскопия. Суть данного метода заключается во введении в матку камеры и специального прибора. При таком исследовании врачу видна вся полость органа. Гистероскопия дает возможность отобрать кусочек эндометрия для дальнейших анализов, а также удалять полипы. Для подтверждения диагноза необходимо проведение гистологических исследований.
Основные рецепты
Эффективно проявляют себя следующие рецепты, которые проверены временем:
- Спринцевание отваром, приготовленным из крапивы и спорыша. Для приготовления отвара берут 5 столовых ложек спорыша и 1 столовую ложку сушеной крапивы, измельчают, заливают одним литром кипятка и продолжают кипятить в течение 3-5 минут. Затем остужают до комфортной температуры и выполняют процедуру 2 раза за один день, утром и вечером — на протяжении 15 дней.
- Из масла облепихи на ночь ставят пропитанные им тампоны и, помимо этого, используют его внутренне.
- Для приема внутрь используют настой красной щетки. Необходимо взять одну столовую ложку сухой травы, залить 1 стаканом кипятка. Настаивают 20 минут и процеживают. Принимают по одной столовой ложке 3 раза в день на протяжении 15 дней.
- Весьма эффективно проявляет себя настойка золотого уса. Необходимо взять 3 столовые ложки суставчиков этого цветка и залить их 0,5 л водки. Дать настояться 15 дней. Затем принимать по 22 капли такой настройки 2 раза за день, запивая водой. Курс необходимо выдержать 30 дней, затем сделать перерыв в 15 дней, и так повторять еще четыре раза.
- Тампоны можно делать с использованием лука и меда. Для этого лук натирают на терке для получения кашеобразного состояния и в пропорции 1:1 тщательно смешивают с медом. Затем окунают в этот состав тампон и вводят местно. Курс такого лечения составляет 10 дней.
- Эффективен и отвар из шиповника и ягод черной смородины. Для его приготовления берут 1/2 литра кипятка, которым заливают 1 чайную ложку сушеной черной смородины, 3 чайные ложки ягод шиповника и листья крапивы в свежем виде в количестве 2 чайных ложек или в сушеном виде — 1 чайную ложку. Настаивают приблизительно 30 минут, затем процеживают, принимают по 100 г 4 раза в день после приема пищи.
- Настойку из грушанки можно принимать как внутрь, так и делая из нее местные примочки. Для приготовления используют 1 столовую ложку сухого сырья и стакан кипятка. Траву необходимо настоять не менее 2 часов с последующим процеживанием. Для применения внутрь употребляют 1/2 стакана отвара 2 раза в день после приема пищи. Курс лечения — не менее 7 дней, но не более 15.
- Одним из самых эффективных средств, которые известны в народной медицине, является трава боровая матка. Она избавляет от полипов на разных стадиях развития болезни. Эффект можно усилить, если применять не только спринцевания, но и употребление отвара внутрь. Для его приготовления необходимо взять 10 г измельченной травы и залить 250 г кипятка. После этого надо настоять 30 минут и принимать по 100 граммов на протяжении 30 дней. Далее необходимо сделать перерыв и проконсультироваться у врача, который назначит прохождение анализов и скажет об эффективности такой терапии.
Интересно! Признаки и лечение дисбактериоза кишечника у женщин
Используя народные средства, можно эффективно лечить полипы эндометрия в матке, симптомы которых проявляются по-разному. Такое лечение народными средствами, по отзывам больных, достаточно эффективно избавляет от этого недуга женщин разных возрастов.
Каковы методы терапии
Гиперплазия, полипоз эндометрия – все эти состояния требуют своевременного лечения. Удаление полипа – вот единственный способ избавления от проблемы. Осуществляется оперативное вмешательство двумя методами. Выскабливание – процедура, которая проводится под местной или общей анестезией. Специальным инструментом расширяется область органа, и удаляется полип вместе с ножкой. Это важный момент, так как ее оставшаяся часть может заново отрасти. Если количество новообразований большое (полипоз эндометрия), то стенки матки выскабливают. Такая манипуляция способна повредить орган, поэтому существует альтернативный вариант – удаление с помощью гистероскопа. Такая операция довольно деликатна, полип удаляется четко и правильно (вместе с основанием). Камера дает возможность полностью контролировать хирургическое вмешательство.
Удалять ли полип в матке?
Каковы варианты действий?
Вариант 1 — Бдительное ожидание.
Вам может не потребоваться лечение, если у вас нет никаких симптомов и полип не имеет признаков рака. Вы можете подождать некоторое время и посмотреть, не исчезнет ли он сам по себе. Но если у вас наступила менопауза или у вас есть вероятность заболеть раком матки, то ваш врач порекомендует его удалить.
Конечно, при отсутствии признаков злокачественного процесса можно годами наблюдать за полипами, а имеющиеся симптомы устранять консервативным путем. Однако это не решит проблему, а только лишь поможет затормозить дальнейшее разрастание полипов, но при этом вовсе не исключает риск их малигнизации.
Вариант 2 — Медикаментозное лечение полипа в матке без операции.
Некоторые гормональные препараты, в том числе прогестины, могут ослабить симптомы полипа. Но принятие таких лекарств обычно в лучшем случае является краткосрочным решением. Симптомы обычно появляются вновь, как только вы прекращаете принимать лекарство.
Вариант 3 — Хирургическое удаление полипа в матке.
Во время гистероскопии инструменты, вводимые через гистероскоп — устройство, которое ваш врач использует для наблюдения внутри матки, — позволяют удалять полипы матки. Удаленный полип, вероятно, будет отправлен в лабораторию для микроскопического исследования.
Обнаружение аденоматозных полипов эндометрия требует их удаления в обязательном порядке!
Конечно же, решение о том, удалять ли полип в матке, принимает только ваш лечащий врач. Но, как правило, он будет рекомендовать вам хирургическое удаление полипа.
Восстановление после операции
При таком заболевании, как полипоз эндометрия, лечение требуется и после проведенной операции. Непосредственно после удаления полипа специалист может прижечь его основание жидким азотом. Это необходимо для того, чтобы в будущем рост новообразования не возобновился. Также назначается и гормональная терапия. Не применяется она в ряде случаев: полип фиброзного типа, при диабете, гипертензии, регулярном цикле. Подбор препаратов проводится индивидуально, гинеколог учитывает и наличие других заболеваний, и желание женщины забеременеть. Как правило, в послеоперационный период пациентке назначается прием антибиотиков (чтобы исключить воспалительные процессы).
Также в первые недели рекомендуется низкокалорийная диета и отсутствие половых контактов. В обязательном порядке все удаленные ткани направляются на дальнейшее исследование. Если в них обнаруживаются атипичные клетки, то тут уже необходима консультация онколога. В некоторых случаях при обнаружении злокачественных процессов специалист может назначить удаление матки. Важно помнить и то, что если диагностирован полипоз эндометрия, лечение народными средствами неуместно.
Методики лечения
Симптомы и лечение заболевания тесно взаимосвязаны между собой. Терапия подбирается индивидуально, в зависимости от тяжести клинического случая и интенсивности проявления признаков патологии.
Медикаментозное лечение практически не проводится по той причине, что лекарственные препараты могут лишь облегчить состояние женщины и временно приостановить дальнейшее развитие полипов, но не убрать их. Лечение методами народной медицины не применяется ввиду неэффективности данного метода.
Единственно эффективный метод лечения полипоза на эндометрии – хирургическое удаление патологических образований. После операции с целью предотвращения возможных осложнений и рецидива заболевания проводится медикаментозное лечение с применением гормональных препаратов.
Удаление и реабилитация
Хирургическое лечение полипоза на эндометрии проводится с помощью процедуры гистероскопии. Суть хирургического вмешательства заключается в удалении патологических образований с дальнейшим выскабливанием поврежденного маточного слоя эндометрия.
Вся процедура проводится под контролем специального прибора гистероскопа, представляющего собой шланг с оптикой на конце. Миниатюрная камера передает изображение на экран монитора, что позволяет врачу точно проводить хирургическую манипуляцию, не имея прямого доступа к оперированной области. Удаленные полипы отправляются на гистологическое исследование для определения их характера.
После хирургического лечения полипоза эндометрия у женщины будет присутствовать слабо выраженный болевой симптом в нижней части живота и скудные кровянистые выделения, объем которых будет с каждым днем уменьшаться. Данное состояние является нормальным и не требует принятия каких-либо мер.
В течение 2-3 недель после операции запрещено:
- лечить боль и пытаться остановить кровотечение с помощью методов народной медицины или приемом лекарственных препаратов, которые не назначал врач;
- вступать в половой контакт;
- использовать гигиенические тампоны;
- класть на живот грелку;
- проводить процедуры спринцевания;
- поднимать тяжести;
- заниматься спортом;
- посещать сауны, солярии;
- купаться в открытых водоемах, общественных бассейнах.
Если появились обильные кровотечения, повышенная температура тела, интенсивная боль в животе, ухудшение общего состояния, необходимо срочно обратиться к врачу.
Медикаментозная терапия
После удаления полипов на эндометрии лечение не заканчивается. Женщине назначается прием определенных лекарственных препаратов, направленных на восстановление гормонального фона, нормализацию работы органов репродуктивной системы. Медикаментозная терапия включает:
- прием гормональных противозачаточных средств;
- установка внутриматочной спирали Мирена;
- лекарства из группы гестагены.
В обязательном порядке назначается прием витаминов для укрепления иммунной системы.
Чем опасно несвоевременное лечение полипов
Нередко бывают случаи, что после постановки диагноза и проведения всех необходимых исследований женщина откладывает лечение на неопределенный срок. Полипоз считают легким заболеванием и не относятся к нему достаточно серьезно. Однако главная опасность таких образований заключается в том, что со временем они способны перерождаться в злокачественные. Помимо этого, нарушение менструации, обильные выделения также приносят массу неудобств. Большая потеря крови может стать причиной развития анемии.
Проблемы возникают и при зачатии ребенка. Но если беременность все же наступила, остается огромный риск ее прерывания. Новообразования существенно нарушают структуру эндометрия, поэтому оплодотворенная яйцеклетка не может правильно закрепиться. Из-за кровотечений, которые являются следствием данного заболевания, может произойти отслоение плаценты. Учитывая все перечисленные моменты, если женщине поставлен диагноз «полипоз эндометрия», лечение требуется незамедлительное и квалифицированное.
Полип эндометрия и беременность
То, что полип является причиной ненаступления беременности, не доказано. Однако четко прослеживается обратная связь: при бесплодии часто обнаруживаются гиперпластические разрастания эндометрия, после удаления которых проблемы с зачатием ребенка устраняются.
Даже многократное повторение процедуры ЭКО может не дать результата. Но и при наступлении желанной беременности маточный полип значительно повышает риск выкидыша и преждевременного родоразрешения. Удаление полипозного разрастания часто проводится уже после родов.
Методы профилактики
Для того чтобы снизить риск возникновения заболевания, необходимы регулярные осмотры у гинеколога. Все воспалительные или инфекционные процессы должны своевременно лечиться. Забота о своем здоровье принесет свои плоды. Специалисты рекомендуют грамотно подбирать средства контрацепции и планировать зачатие ребенка. Это существенно снизит вероятность проведения абортов, которые могут стать причиной такого состояния, как полипоз эндометрия. Любые сбои в работе организма должны немедленно насторожить женщину. При обнаружении проблемы откладывать визит к врачу нежелательно и опасно.
Симптоматическая картина
Какое-либо проявление болезни на ранних стадиях развития в большинстве случаев отсутствует. Когда полипы небольшие, и женщину ничего не беспокоит, патология может быть диагностирована случайно во время профилактического осмотра у гинеколога.
Первые симптомы полипоза эндометрия проявляются, когда патологические образования начинают увеличиваться в размере, приводя к нарушению состояния и функционирования органов женской репродуктивной системы. Общие симптомы полипоза матки выглядят следующим образом:
- сбивается менструальный цикл, объем кровянистых выделений увеличивается или, наоборот, становится аномально скудным;
- наличие маточных кровотечений, которые не имеют отношения к менструации, могут появляться в любой день цикла;
- боль в нижней части живота, носящая схваткообразный характер, усиливающаяся перед месячными;
- неприятное чувство дискомфорта и боль в животе во время секса и после полового акта;
- белесые выделения из влагалища;
- невозможность зачать ребенка в течение долгого периода времени.
При полипозе эндометрия признаки могут носить разную интенсивность, в зависимости от наличия или отсутствия сопутствующих заболеваний репродуктивной системы.
