Лимфаденопатия средостения – это увеличение лимфоузлов, локализующихся в области средостения. Патология с трудом поддается диагностике и называется также «медиастинальная лимфаденопатия». Не является самостоятельной, а служит признаком заболевания, протекающего в организме. По МКБ имеет код R59.
Средостение представляет собой пространство внутри грудной клетки, окруженное другими органами. В его структуру входит несколько групп лимфоузлов. Разрастание образований средостения бывает односторонним и двухсторонним.
Лимфаденопатия средостения (ЛС) имеет следующие формы:
- локальная, при которой поражается только одно иммунное звено;
- реактивная, возникающая в ответ на проникновение вирусов и бактерий. Обычно имеет слабовыраженную клинику и сходит на нет по мере устранения основной проблемы;
- генерализованная — самый тяжелый вид, затрагивающий сразу несколько групп лимфоузлов.
Заболевание носит острый или хронический характер. В последнем случае симптомы не выражены вовсе или клиническая картина проявляется слабо.
Паратрахеальная лимфаденопатия возникает при увеличении одноименной группы иммунных звеньев, локализующихся по всей длине трахеи. Также выделяют бифуркационные образования, находящиеся в районе деления трахеи (недалеко от главных бронхов). Лимфаденопатия паратрахеальных лимфоузлов выставляется при достижении ими размеров более 45-50 мм.
Причинами развития лимфаденопатии средостения являются:
- Лимфомы — злокачественные поражения лимфатической ткани. При активной форме этой патологии в процесс вовлекаются как лимфоузлы средостения, так и образования других областей, а также внутренние органы, в которых имеется лимфатическая ткань. Лимфомы с высокой степенью злокачественности иногда прорастают в другие анатомические области.
- Метастазы карцином — злокачественные новообразования, берущие начало из тканей эпителия. Лимфатические узлы средостения часто поражаются в случае рака легкого, реже — при опухолях груди, щитовидки и ЖКТ.
- Заболевания, которые не связаны с онкологическими опухолями. Так, при саркоидозе легких разрастание лимфоидной ткани спровоцировано появлением в ней особых гранулем.
Лимфаденопатия средостения легких в случае бронхогенного рака локализуется в основном с одной стороны. Саркоидоз чаще всего провоцирует увеличение корней легких с двух сторон. Метастазирование злокачественных новообразований, находящихся за пределами груди, способствует поражению медиастинальных лимфатических желез. Это обусловлено физиологическими особенностями лимфооттока.
Рак груди чаще всего затрагивает загрудинные образования, злокачественное поражение щитовидной железы — иммунные звенья верхней части средостения, а онкология органов пищеварительной системы — группы медиастинальных лимфоузлов, находящихся в непосредственной близости от позвоночника.
Нормальные размеры образований определяются их локализацией, возрастом пациента и местом его проживания. Традиционно норма диаметра лимфоузла средостения у взрослого составляет 1,0-1,5см. Показатели выше такой величины расцениваются как лимфаденопатия и требуют консультации врача.
На ранней стадии, разрастание лимфоидной ткани практически не ощущается. По мере увеличения иммунных звеньев, они начинают сдавливать соседние органы и ткани, провоцируя появление следующих признаков:
- болезненности в груди;
- охриплости голоса;
- кашля и проблем с дыханием;
- трудностям с проглатыванием пищи и слюны;
- отечности шеи, плеч и лица.
Указанные симптомы не являются обязательным признаком медиастинальной лимфаденопатии и могут свидетельствовать о иных отклонениях в организме.
По этой причине лицам, обнаружившим у себя перечисленные проявления, необходимо пройти обследование.
Если у пациента увеличились медиастинальные образования, то в идеале выполняется биопсия, по результатам которой судят о наличии или отсутствии злокачественного новообразования.
При разрастании лимфоидной ткани также могут возникнуть:
- усиленное отделение пота;
- чрезмерная утомляемость;
- похудение без существенной причины;
- слабость во всем теле;
- сбои сердечного ритма;
- отечность конечностей;
- повышение температуры тела.
Лимфаденопатия средостения у детей нередко проявляется чрезмерным отделением пота, особенно по ночам, а также сбивчивым дыханием.
Патология зачастую указывает на отклонения в ткани легких. Обычно ее провоцирует туберкулез или саркоидоз. Причиной может быть метастазирование легких, а также их травматическое поражение. У пациента возникает болезненность во время глотания, одышка, частный кашель, лихорадка по ночам и боли в груди.
Лимфаденопатия легкого иногда имеет злокачественную природу. В случае метастазирования тканей, сначала атипичными клетками поражаются иммунные звенья легкого и его корня, затем процесс переходит на образования средостения.
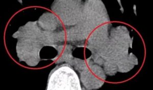
Изменения на снимках компьютерной томографии
Выявить заболевание на ранней стадии довольно сложно. Только при его развитии появляются первые клинические симптомы. Обследование пациента, обнаружившего у себя подозрительные изменения, должно проводиться быстро и иметь комплексный характер. Выполняются:
- ОАК, ОАМ;
- биохимия крови;
- рентген грудной клетки;
- ЭКГ и ЭХО-КГ (с целью исключить патологию сердца);
- КТ, МРТ;
- при подозрении на туберкулез — реакция Манту;
- если есть основания полагать саркоидоз — биопсия гранулемы;
- анализ крови на онкологические маркеры.
Терапия лимфаденопатии средостения направлена на устранение фактора, ее спровоцировавшего. Так, при инфекционной природе увеличения лимфоузлов показаны антибактериальные, противовирусные, противопаразитарные, антигрибковые средства. Дополнительно рекомендуются иммуномодуляторы, а также препараты, снимающие воспаление.
Пациентам, у которых был обнаружен туберкулез, требуется лечение в специализированном стационаре на протяжении нескольких месяцев. В этом случае обычно назначаются Рифампицин, Изониазид и др. лекарства. Борьба с саркоидозом предполагает использование системных глюкокортикостероидов и иммуносупрессоров, а также антиоксидантов.
Если лимфаденопатия возникла в результате онкологического процесса, то лечение проводится, исходя из его локализации и стадии. При опухолях маленького размера, а также отсутствии отдаленных очагов метастазирования, выполняется радикальное хирургическое вмешательство. Далее назначаются специальные препараты.
Профилактических мер в отношении лимфаденопатии средостения нет. Рекомендуется вести правильный образ жизни, отказаться от вредных привычек, заниматься спортом, уделять внимание правильному питанию и, при появлении жалоб, обращаться к врачу.
Источник: https://prolimfouzly.ru/grudnaya-polost/sredosteniya.html
Область средостения находится в середине грудной клетки. Лимфоузлы расположены рядом с органами средостения. Они призваны играть важную роль в защите иммунитета человека. Собственными силами проверить невозможно. Эту процедуру медики выполняют процедурами УЗИ (ультразвукового обследования) МРТ (магнитно-резонансной томографии). Дополнительно применяют биопсию.
Нужно тщательно следить за состоянием организма. Врачи рекомендуют знать место нахождения узлов, причины нарушения их деятельности. Это поможет вовремя диагностировать проблему, обратиться к доктору. Сигналы нарушения работы лимфоузлов похожи на ОРВИ, пневмонию, артериальную гипертензию. Почувствовав недомогание в грудной клетке, нужно пройти обследование.
В важной зоне средостения располагается большое количество лимфатических узлов. Верхние медиастинальные лимфоузлы находятся с двух сторон трахеи. Нижние средостенные – рядом с пищеводом.
Аортальные расположились промеж лёгочного ствола и аорты. К корневым лимфоузлам относятся узлы корня лёгкого.
Лимфатические узлы, в том числе и средостения, очищают ближайшие органы от инфекций, токсинов.
Воспаление или увеличение узлов – это реакция на сбой работы организма. Принимают на себя роль фильтра инфекционных распространений. Сердце, лёгкие, бронхи, трахея освобождаются с помощью лимфооттока по сосудам в ближайшие узлы. Этим образом происходит очищение перикарда, плевры, пищевода.
Росту лимфатических узлов средостения содействует курение, приём химических и медикаментозных препаратов на протяжении длительного времени; экологические опасные воздействия грязного воздуха, газов и вредных паров. Снижает иммунитет человека систематическое переохлаждение. Появляются разнообразные вирусные заболевания с многочисленными осложнениями.
Граница нормы зависит от возраста человека, географии проживания, сферы труда. Глубоко разместившиеся в средостении лимфоузлы нельзя прощупать пальцами. Давление изнутри растущих узлов на грудную клетку не приносит дискомфорта, не вызывает болевых ощущений. Нормальная величина узлов средостения составляет 1-3 мм. Норма параметров объёма верхних узлов лежит в пределах 5-7 мм.
Малейшие изменения размеров лимфоузлов средостения опасны для здоровья. Данная группа узлов проявляет реакцию только на серьёзные противоестественные процессы, протекающие в ближайших органах.
Патологии – гиперплазия, изменение оттока лимфы, воспаление – диктуют срочное выяснение основания проблемы развития. Грудные узлы отзываются именно на развивающуюся патологию, текущую в соседних органах.
Для увеличения размеров лимфоузлов средостения характерны следующие процессы:
- ответ организма на хроническое воспаление;
- гиперплазия – деление клеток при онкологии;
- инфекции в организме провоцируют изменение оттока лимфы.
При симптомах появления боли в грудной области, нарушении дыхания, ночной потливости полагается незамедлительно обратиться к доктору. Может произойти увеличение параметров печени, селезёнки.
Изменение их размера также требует повышенного внимания. Симптоматика воспаления или увеличения узлов имеет нечёткие границы, неясное проявление.
Этот факт мешает обратиться за помощью вовремя, затрудняет диагностику болезни.
По временному признаку течения заболевания существует три стадии течения диагноза: острая, хроническая, рецидивирующая. Третья связана с повторным приступом заболевания.
Лимфаденопатия средостения обладает неясной симптоматикой. Когда обнаруживается, что у пациента увеличены лимфоузлы, у больного вызывает этот факт тревогу и беспокойство. Увеличение на ранней стадии распознается по следующим показателям: беспокойство две недели без проявления других признаков. Этот вид патологии не опасный, не доставляет дискомфорта.
Обследование лимфатических узлов
Клиника лимфаденопатии разнообразна и обусловлена этиологическими факторами. Характерные черты общего состояния:
- дискомфорт в области грудной клетки;
- ночная потливость;
- тахикардия;
- головные боли;
- необъяснимая лихорадка больше 38 градусов по Цельсию;
- беспричинная потеря веса пациента за последние 6 месяцев;
- осиплость голоса;
- кашель;
- слабость.
Важно! Увеличение лимфоузлов – не отдельный диагноз. Причина, которая способствует увеличению, таится в различных патологиях.
Большие узлы сдавливают близкорасположенные структуры. Симптоматика становится характерной для сдавленного органа. К примеру, нарушение движения пищи в желудок (дисфагия) наступает при механическом действии. Причиной характерной одышки может стать обструкция трахеи.
Причиной увеличения лимфоузлов становятся: туберкулёз, лимфома, саркоидоз, инфекционный мононуклеоз, заболевания органов дыхания. Увеличение лимфоузлов груди – первый признак туберкулёза. Лимфаденопатия в ряде случаев выступает осложнением острых респираторных вирусных инфекций, пневмонии и гриппа с осложнением на бронхи.
Саркоидоз – воспалительное заболевание, при котором скапливаются воспалительные клетки. Чаще поражают лёгкие. Недуг сопровождается повышением нормы лимфатических узлов средостения. Дефицит соответствующего лечения станет причиной дыхательной недостаточности. Мононуклеоз – болезнь, вызванная вирусом Эпштейна-Барра.
Эта инфекция тоже сопровождается лимфаденопатией средостения.
Лимфома – группа гематологических болезней лимфатической системы – рак лимфатических узлов. Он может стать причиной увеличения лимфоузлов средостения. Когда станут понятны источники изменения размеров, тогда приступают к мерам по лечению болезни.
Профилактика лимфаденопатии средостения отсутствует. Специалисты рекомендуют вести полезный для здоровья образ жизни, уделять внимание спорту и правильному питанию, отказаться от губительных привычек.
Лимфаденит сопровождается воспалением лимфоузлов, при котором размеры увеличиваются в несколько раз. Патология проявляет гнойный характер при неспецифическом лимфадените. Инфекция (стрептококки и стафилококки) по крови или лимфе от заражённых внутренних органов поступает к лимфатическим узлам.
Причины неспецифического лимфаденита:
- тонзиллит;
- пневмония;
- скарлатина;
- дифтерит;
- фурункулёз;
- мастит гнойный.
Причины специфического лимфаденита:
- туберкулёз;
- гонорея;
- сифилис;
- чума;
- сибирская язва.
Признаки лимфаденита обнаруживают себя отчётливо. Это – боль в месте воспаления лимфатического узла; лихорадочные признаки; интоксикация; усиленное потоотделение, чаще ночью; тахикардия; упадок сил; увеличивается печень и селезёнка. Нагноение лимфатических узлов сопровождается повышением температуры тела (до 41 градуса). При этом отравление сопровождается тошнотой с рвотой.
Увеличение размеров лимфатических узлов средостения сопровождает незначительная боль. Укрупненный лимфоузел сдавливает нервные окончания. При этом боль отдает в спину, область сердца, нижнюю часть груди.
Для лимфаденита характерны сильные и постоянные болезненные ощущения. Болевая чувствительность усиливается при резких движениях, повышенных нагрузках. Пациент при воспалении с гнойными проявлениями чувствует повышенное давление на грудную клетку.
Если у человека при увеличении лимфоузлов органы средостения болят, опухоль не исключается.
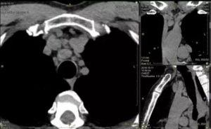
После комплексной диагностики врач определяет причины, которые повлекли увеличение узлов средостения. Лабораторные и инструментальные способы определят движущие силы нарушения. Данная патология исследуется способом компьютерной томографии (КТ), УЗИ (ультразвуковое исследование) грудной клетки, проведением МРТ (магнитно-резонансной томографии).
Больного с положительным результатом на иммунологический тест отправляют на КТ обязательно. Грудная клетка подвергается линейной томографии в исключительных случаях, когда нет альтернативы. Делают флюорографию, рентгеноскопию, выводят на табло прибора трёхмерный снимок.
Сегодня для диагностики средостенной лимфаденопатии применяют компьютерную визуализацию. При этой процедуре специалисты получают самую достоверную информацию. С помощью бронхоскопии медики получают материал для исследования трахеи, бронхов, туберкулёза. Радиография исследует кровообращение и вентиляцию лёгких.
Для постановки верного диагноза проводят следующие лабораторные исследования:
- общий анализ крови и биохимический;
- группы туберкулиновых проб;
- миелограмму (исследование клеточного состава пунктата костного мозга);
- микрореакцию крови (проба на сифилис).
Завершающим методом является проведение биопсии и гистологическое обследование. Одинаковой схемы лечения пациентов нет. Она подбирается индивидуально, зависит от причин воспаления или увеличения лимфатических узлов средостения.
Лечение увеличения лимфатических узлов средостения зависит от причин и характера диагноза. Ключевой способ – иссечение патологий, остается здоровая ткань.
Терапия вероятных патологий:
- Туберкулёз. Стационарное длительное антибактериальное лечение проводится в течение 6 месяцев. Затем проводится амбулаторно до 1,5 лет. Пациент принимает 3-4 противотуберкулёзных препарата. Распространение очага даёт право врачу увеличивать дозы лекарства.
- ОРВИ, грипп, тонзиллит, отит. Для лечения используются противовирусные препараты, используют иммуномодуляторы. Антибиотики назначаются при бактериальном воспалении. Врач подбирает общеукрепляющие средства и средства против воспалений.
- Саркоидоз. Этот недуг лечится глюкокортикостероидами. Один из таких препаратов Преднизолон – синтетический аналог гормонов кортизона, гидрокортизона. Важно! Схема приёма лекарственного средства, дозировка, срок приёма назначает врач строго индивидуально.
- Фурункулы грудной области. Консервативная терапия предполагает использование мазей. Хирургическое вмешательство – рассечение фурункула, очищение, накладывание швов.
- Гнойный мастит. Лечение проходит в стационаре комплексно. Сочетаются методы антибиотикотерапии и хирургии. На начальной стадии лечение проходит без операции.
- Лимфома злокачественная. На ранних сроках эффективно проходит терапия моноклональными антителами. Удаление лимфоузла производят при появлении метастазов. Применяется метод химической и лучевой терапии.
При увеличении лимфоузлов средостения требуется витаминизированная диета с содержанием микроэлементов. В продуктовый набор нужно включать нежирное мясо, овощи, в любом виде фрукты, орехи, каши из зерновой крупы, молочные продукты.
Повышению иммунитета помогают настои шиповника, масло животного происхождения, печень говяжья. Цитрусовые содержат много нужных для восстановления витаминов. Для саркоидоза приём кальция ограничен.
Витаминные комплексы Е, D, С, омега-3 необходимы ослабленному организму.
Ценители народных способов лечения увеличенных узлов средостения предпочитают травяные сборы. Аптеки предлагают сбалансированные составы для ликвидации очагов заболеваний.
Лёгкому протеканию лечения инфекционных заболеваний (пневмонии, туберкулёза, саркоидоза) помогает приём чаев, отваров на основе цветков липы, бузины, лесные и садовые ягоды, лекарственные травы.
Сборы с мать-и-мачехой, солодкой, подорожником, шалфеем, чистотелом, крапивой, календулой облегчат страдания инфекционных больных. Предупреждение болезни легче её лечения. Размеры лимфоузлов при лимфаденопатии восстановятся после того, как причина устранена.
При обнаружении симптомов воспаления лимфатических узлов средостения не стоит паниковать раньше времени. Этиология болезни различна по характеру. На каждый частный случай выпадает множество факторов.
Это комплекс индивидуальных особенностей организма человека и данных обследования. Все назначенные медиками обследования обязательны. От этого зависит скорость постановки диагноза для быстрого выздоровления.
Серьёзное заболевание, повлёкшее патологию, нужно лечить на начальной стадии.
Источник: https://onko.guru/termin/limfouzly-sredosteniya.html
Эндокринолог высшей категории Анна Валерьевна
37706
Дата обновления: Март 2020
Средостением называется область в центре грудной клетки, между сердцем, аортой и бронхами. В этой зоне расположены узлы лимфатической системы, увеличение которых является тревожным симптомом. Лимфаденопатия средостения – так называется увеличение узлов этой зоны – требует детального обследования для выявления причины нарушения.
Среди явных проявлений патологии отмечается боль, локализующаяся в центре грудной полости
Лимфаденопатия средостения – одна из опасных форм патологии. Дело в том, что лимфаденопатия никогда не является самостоятельным заболеванием, а увеличение лимфатических узлов происходит в ответ на патологические процессы, протекающие в организме.
Из-за особенностей расположения узлов лимфаденопатию средостения и легких относят к потенциально опасным симптомам, которые могут указывать на злокачественные новообразования или тяжелые инфекционные заболевания.
С таким нарушением может столкнуться абсолютно любой человек, так как лимфаденопатия не имеет возрастных или гендерных особенностей и встречается одинаково часто и у детей, и у взрослых.
Международная классификация болезней МКБ-10 не выносит лимфаденопатию средостения в категорию отдельных заболеваний, поэтому ее код – R59. Эти кодом обозначают увеличение любых лимфатических узлов, независимо от локализации. В случае поражения одного узла средостения патология будет обозначаться как R59.0, при генерализованной форме болезнь маркируют кодом R59.1.
Разобравшись, что это такое – лимфаденопатия средостения, следует знать ее типичные симптомы. Проблема этого нарушения заключается в отсутствии яркой симптоматики, что позволило бы безошибочно поставить диагноз самостоятельно.
Из-за особенностей расположения лимфоузлов средостения лимфаденопатия этой области не имеет выраженных признаков, как, например, лимфаденопатия шеи или паховой области.
Узлы средостения нельзя прощупать самостоятельно, увеличение выявляется только посредством УЗИ или МРТ.
Обратиться к врачу нужно при появлении следующих симптомов:
- лихорадка;
- цефалгия (головная боль);
- одышка;
- кашель;
- тахиаритмия;
- артериальная гипертензия;
- боль в груди;
- сдавливание пищевода;
- ночная потливость;
- слабость;
- упадок сил;
- ухудшение аппетита.
Таким образом, патология описывается общими симптомами. Нередко пациенты связывают недомогание с заболеванием верхних дыхательных путей.
Дополнительные симптомы зависят от точной локализации пораженных узлов. Так, лимфаденопатия корней легких сопровождается кашлем и подъемом температуры, симптомы во многом напоминают пневмонию.
Количественная лимфаденопатия средостения, характеризующаяся увеличением большого количества лимфоузлов, сопровождается дискомфортом в пищеводе, грудном отделе позвоночника и болью в грудной клетке.
Эту форму нарушения легко ошибочно принять за межреберную невралгию из-за схожести симптомов.
При лимфаденопатии этой зоны наблюдаются нарушения в работе сердечно-сосудистой системы. Необходимо пройти обследование для исключения гипертонии и атеросклеротических изменений сосудов, которые могут сопровождаться тахиаритмиями.
Обратите внимание! Типичная ошибка пациентов – это попытки самостоятельного лечения сердечно-сосудистой системы при лимфаденопатии. Необходимо обратиться к врачу для точной постановки диагноза, самолечение может обернуться рядом осложнений.
Температура тела при лимфаденопатии повышается незначительно. Исключение составляет воспаление узлов – лимфаденит средостения. В этом случае температура тела находится в пределах 37.5-38.5. градусов, а при бактериальном инфицировании узлов может повышаться до 41 градуса. Это опасное состояние, которое требует госпитализации.
Чаще всего отмечается острая и хроническая форма лимфаденопатии средостения
Разобравшись, что такое лимфаденопатия средостения, следует знать, какие формы нарушения бывают.
По количеству пораженных узлов выделяют локальную, регионарную и генерализованную форму заболевания. Все узлы, расположенные в одной зоне или системе, называются регионарными.
Локальным называют увеличение одного лимфоузла в регионарной области. Регионарной лимфаденопатией является увеличение сразу нескольких узлов в одной зоне (в данном случае в средостении).
Генерализованной формой нарушения является увеличение узлов сразу в нескольких регионарных зонах.
Также лимфаденопатию классифицируют по характеру течения. Она бывает острой, хронической и рецидивирующей. Стоит отметить, что увеличение узлов средостения носит чаще всего острый или хронический характер из-за специфики причин, провоцирующих эту форму болезни.
- Острой лимфаденопатией называется впервые проявившееся увеличение узлов, сопровождающееся яркой симптоматикой.
- Хроническая форма болезни характеризуется отсутствием выраженных клинических симптомов при постоянном увеличении узлов. Эта форма болезни диагностируется в том случае, если острая лимфаденопатия не была своевременно обнаружена и вылечена.
- Рецидивирующей формой называется повторное увеличение узлов в той же зоне. Обычно это происходит при обострении хронических заболеваний, которые провоцируют увеличение узлов лимфатической системы. Рецидивирующая лимфаденопатия средостения встречается крайне редко.
Одной из самых опасных причин увеличения узлов средостения являются злокачественные новообразования (карцинома, рак).
Увеличение лимфатических узлов в этом случае может выступать специфической реакцией организма на протекающий злокачественный процесс. Также существует риск распространения метастазов в узлы средостения, например, при раке легких и бронхов.
По МКБ-10 злокачественные новообразования легких и бронхов обозначаются кодом С34. Такие патологии очень опасны, так как быстро прогрессируют и сложно лечатся. Своевременное выявление и лечение болезни на ранней стадии дает достаточно высокий шанс на излечение (“пятилетняя выживаемость” составляет около 90%). При наличии метастазов прогноз неблагоприятный.
Лимфогранулематоз – это злокачественное заболевание лимфоидной ткани, при которой происходит поражение лимфатических узлов
Еще одно злокачественное заболевание, приводящее к увеличению узлов средостения – лимфома Ходжкина, или лимфогранулематоз. По МКБ-10 патология обозначается кодом С81. Болезнь характеризуется злокачественным перерождением клеток лимфоидной ткани.
Первичным симптомом этой опасной патологии является увеличение узлов средостения. Этот симптом наблюдается в половине случаев уже на начальной стадии лимфомы. Заподозрить онкопатологию можно по симптомам, характерным для лимфаденопатии средостения.
Рекомендуется обратиться к врачу при появлении таких симптомов, как затрудненное дыхание, одышка, тахиаритмия, боль в грудной клетке, так как эти признаки наблюдаются на ранних стадиях лимфогранулематоза.
Увеличение узлов в грудной клетке – типичный симптом ранней стадии туберкулеза. Причем узлы могут увеличиваться даже при отсутствии других симптомов, характерных для этой болезни, например, кашля.
В МКБ-10 болезнь обозначается кодами А15-А19, в зависимости от клинической формы. Это патология бактериального характера, вызываемая палочкой Коха. Болезнь отличается высокой степенью заразности и очень опасна, поэтому требует своевременного лечения.
Эта патология относится к доброкачественным, проявляется воспалительным процессом и изменениями в тканях пораженного органа. По МКБ-10 болезнь обозначают кодом D86.
Симптомы патологии:
- лихорадка;
- кашель;
- боль в груди;
- снижение веса;
- артралгия.
Болезнь также сопровождается дерматологическими проявлениями. Патология требует своевременного лечения, так как потенциально опасна развитием эмфиземы легких и дыхательной недостаточности.
Методы лечения лимфаденопатии средостения зависят от причины увеличения лимфоузлов. При раке назначают курс химио– и лучевой терапии, прием специальных препаратов. Прогноз зависит от того, на какой стадии находится злокачественное новообразование.
При туберкулезе лечение осуществляется с помощью антибактериальных препаратов. Назначают 5 различных антибиотиков сроком на полгода и больше.
Саркоидоз лечат с помощью кортикостероидов. Дополнительно могут быть назначены иммунодепрессанты.
Самостоятельно определить причину патологии невозможно, как и точно выявить увеличение узлов внутри грудной клетки. Рекомендуется не терять время на самолечение, а обратиться к врачу как можно раньше, заметив первый дискомфорт в грудной клетке.
Источник: https://limfouzel.ru/zabolevaniya/limfadenopatiya-sredosteniya/
Патологическое увеличение лимфоузлов в средних отделах грудной полости в медицинской практике называют лимфаденопатия средостения. Такой диагноз не является заболеванием, а только симптомом, свидетельствующим о присутствии в организме первичной патологии.
Согласно статистике, данное заболевание диагностируется у 45% больных, которые страдают от пневмоний, рака, саркоидоза. Не всегда лимфаденопатия является признаком онкологии, поэтому при выраженном воспалении и увеличении лимфоузлов, важно пройти полное комплексное обследование.
Причины
Лимфатические узлы — органы лимфатической системы. В человеческом организме их насчитывают около 600, при этом пропальпировать можно только поверхностные, которые находятся под мышками, на шее или под челюстью.
Лимфоузлы выполняют важнейшую роль в организме – вырабатывают белые клетки крови, которые служат барьером для различных инфекций.
При длительном инфекционном процессе их функция нарушается, что и приводит к поражению лимфатической системы и организма в целом патогенными возбудителями.
Если диагностирована лимфаденопатия средостения, это верный признак заболеваний легких или следствие злокачественных образований не только в легочной ткани, но и молочных железах, желудке, щитовидке или гортани.
В основе этиологии лимфаденопатии лежит бактериальная флора, а также болезни инфекционного генеза:
- бронхопневмония;
- туберкулёз;
- сифилис;
- кокцидиомикоз;
- ВИЧ;
- гепатит;
- токсоплазмоз;
- травмы соединительных тканей;
- ревматоидный артрит;
- метастазы при раке.
Помимо вышеперечисленных заболеваний, спровоцировать увеличение лимфоузлов может и длительный прием сильнодействующих препаратов, в частности антибиотиков, сульфаниламидов, препаратов золота.
Увеличить риск данного состояния могут и некоторые факторы риска:
- курение;
- длительное вдыхание токсических паров;
- снижение иммунитета на фоне частых простуд, которые осложняются пневмонией;
- наследственность.
В независимости от причины, важно вовремя выявить первичный очаг болезни, пройти ряд обследований и необходимое лечение. Если игнорировать симптоматику, прогноз весьма неблагоприятный.
Выделяют несколько форм лимфаденопатии, каждая из которых имеет свои особенности:
- локальное – поражается только 1 группа лимфоузлов;
- региональное – страдают несколько групп лимфатических узлов смежных между собой;
- генерализованное – поражается большая часть лимфатических узлов.
Патологию квалифицируют на стадии:
- Острая – имеет выраженную симптоматику;
- Хроническая – симптомы отсутствуют, но часто случаются рецидивы.
В начале развития патологии, лимфаденопатия не имеет выраженной клиники, но по мере распространения инфекции в организме и поражении лимфатической системы, симптомы становятся выраженными, сопровождаются не только увеличением лимфоузлов, но и другими признаками:
- повышенная температура тела до субфебрильных или фебрильных показателей;
- лихорадка;
- боль в области лимфоузла;
- резкая потеря веса;
- повышенная потливость в ночное время;
- увеличение печени и селезенки;
- охриплость голоса;
- приступообразный кашель;
- отдышка;
- отечность лица, шеи.
В зависимости от первичного очага воспаления, симптомы могут немного разниться, иметь разную интенсивность и специфические проявления.
Лимфаденопатия груди часто свидетельствует о развитии рака молочных желез или метастазах при поражении легких. При увеличении узлов в верхней части грудной железы, речь может идти о доброкачественном течении, но если присутствует увеличение узлов в нижней области груди – это признак онкопроцесса.
Лимфоденопатия в полости грудной клетки развивается чаще всего, при этом часто поражает не только плевральные полости, но и соседние органы. Патология сопровождается выраженными клиническими проявлениями. Нарушается дыхательная функция, присутствуют приступы кашля, боль при глотании и другие симптомы.
Спровоцировать заболевание может саркоидоз, туберкулез, травмирование. При хроническом течении болезни отмечаются отеки, хроническая слабость, нарушение сердечного ритма, также увеличение печени и селезенки.
Во врачебной практике часто диагностируется лимфаденопатия корней легких, которая может быть односторонней или двухсторонней. Укрупнение корней легких является сигналом о том, что присутствуют метастазы в другие органы или системы. Поэтому очень важно провести ряд лабораторно-инструментальных исследований.
Данное патологическое состояние сопровождается увеличением лимфоузлов в подчелюстном пространстве. Подчелюстная лимфаденопатия часто протекает бессимптомно, поскольку локализуется вблизи основного очага воспаления. Прогноз при своевременном лечении благоприятный, но если игнорировать врачебные предписания, повышается риск развития осложнений.
Лимфаденопатия паховая является последствием инфекционного поражения или травмы подмышечной области. Патологический процесс часто сигнализирует в воспалении в молочных железах, включая онкопоражения. Поэтому при их увеличении важно как можно быстрее обращаться к врачу.
При поражении шейных лимфоузлов происходит их укрупнение узлов, отмечается увеличение зоны подбородка, шеи, затылка и околоушного пространства. Симптоматика при данном недуге выраженная. При своевременном лечении болезнь можно купировать, избежать осложнений.
Лимфаденопатия брюшной полости является следствием воспалительного процесса, реже онкологическим маркером. Клиника характерна для болезни, но могут присутствовать нарушения со стороны работы кишечника, увеличивается в размерах живот. Больной страдает от болей, дискомфорта, нарушается стул.
У детей изредка диагностируется брыжеечная лимфаденопатия, которая своими симптомами напоминает приступ аппендицита. У детей болезнь может вызываться вирусами или бактериями. Лечение болезни комплексное, состоит из приема лекарственных препаратов, физиотерапии и диетического питания.
К более грозным разновидностям болезни относится забрюшинная лимфаденопатия, которая является верным признаком опухолевидного процесса в ЖКТ.
Лимфаденопатия ворот печени – опасное состояние, которое в подавляющем большинстве свидетельствует о злокачественности болезни. Клиника достаточно выраженная, напоминает гепатит или обструкцию желчных протоков.
Патология способна проявляться на фоне любого инфекционного заболевания печени или быть признаком опухоли. Лечение проводят в условиях стационара, где больной проходит полное обследование, провести качественное лечение.
Терапия заболевания подбирается индивидуально и зависит от локализации лимфаденопатии, а также основного этиологического фактора. При наличии метастазов, врач онколог назначает химиотерапию, лучевую терапию или операцию. Если онкология не подтверждена, для устранения воспалительного процесса назначаются лекарственные препараты:
- антибиотики широкого спектра действия;
- противовирусные средства;
- противовоспалительные и обезболивающие препараты;
- УВЧ;
- иммунотерапия.
Прогноз при лимфаденопатии зависит от первопричины. Когда воспалительная реакция в лимфоузлах развивается на фоне вирусной или бактериальной инфекции, болезнь можно вылечить без последствий для здоровья. Когда причиной являются онкологические процессы, прогноз не всегда радужный, все будет зависеть от стадии болезни, вида процесса и лечения.
Специальной профилактики для лечения лимфоденопатии не существует, но снизить риск развития болезни поможет правильный и здоровый образ жизни, своевременное и правильное лечение всех сопутствующих заболеваний.
Источник: https://OtekHelp.ru/lechim/limfadenopatiya-sredosteniya-vidy-simptomy-i-lechenie.html
Поделиться:



