Аскаридоз является типичным паразитарным заболеванием, которое вызвано заражением аскаридами.
Этиология аскаридоза
Аскариды (лат. Ascaridae) — род паразитических круглых червей, нематод. Широко распространены в средних и южных широтах Старого и Нового Света.
Половой дефорфизм (различия обоих полов) выражается в размерах: самки достигают 40 см. в длину, самцы — всего 15-25 см. При этом, наименьшие особи женского пола, по длине равняются наибольшим особям мужского.
Обитают аскариды в тонком отделе кишечника приматов и хищных. А само заболевание, которое вызывается червями, называется аскаридоз. В зависимости от вида, нематоды живут от одного до трех лет.
Возбудителем аскаридоза человека, чаще всего, является Ascaris lumbicoides. Этот круглый червь имеет вытянутое тело с заостренными концами. «Хвостовая» часть отличается тем, что она сильнее закруглена. Причем, у самцов более чем у самок. Окраска равномерно белого цвета, с легких грязно-желтым оттенком.
Средняя продолжительность жизни составляет около года. За это время одна самка может отложить до 200 тыс. яиц. В день, от 500 до 800 штук.
Жизненный цикл аскариды
Взрослые особи паразитируют в тонком кишечнике, где питаются пищевыми волокнами. Здесь же, самка ежедневно откладывает яйца. Но для развития им необходим кислород. Поэтому, они выходят из организма с калом.
Если условия внешней среды являются оптимальными (то есть, влажность не менее 55% и средняя температура воздуха не опускается ниже 15 градусов Цельсия) через 2-4 недели из яиц вылупляются личинки.
Для дальнейшего развития им необходимо попасть в желудочно-кишечный тракт. Причем, их оболочка должна быть подвергнута кратковременному воздействию соляной кислоты. Это, как раз и происходит в желудке. Под действием кислоты оболочка размягчается и, уже в тонком кишечнике личинка выходит из нее. Затем ей необходимо внедриться в кишечник, а оттуда попасть в кровь, с током которой она идет через печень к правым отделам сердца. После чего, личинки с кровью заносятся в легкие. Там личинки обитают в течении нескольких недель.
«Повзрослев», личинки начинают продвигаться к бронхам и трахее. Так заканчивается легочная или миграционна фаза развития аскарид.
С мокротой, личинки могут быть проглочены и вновь попадут в желудок, а оттуда в тонкий кишечник. Через 2-3 месяца из них разовьются половозрелые особи и все начнется сначала.
Последнее носит название кишечной фазы аскаридоза.
Пути заражения аскаридами
Заражение аскаридами происходит фекально-оральным путем. Чаще всего, личинки попадают в организм через немытые овощи, ягоды и руки.
В земле яйца могут сохраняться до одного, реже двух лет. Достаточно хорошо переносят высыхание и низкие (до -18) температуры. Но, быстро погибают в горячей воде, при действии ультрафиолета и дезсредств.
Клиника и диагностика аскаридоза
Симптомы аскаридоза во время легочной фазы не дают четкой картины паразитарного заболевания. Они неспецифичны: повышение температуры тела, пульса и частоты дыхания, сыпь на коже стоп и кистей, влажный кашель с прожилками крови, боль в мышцах спины и нижних конечностях.
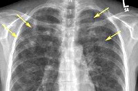
При инструментальном исследовании может сложиться впечатление пневмонии: хрипы в легких, наличие очагов инфильтрации на рентгенограмме грудной клетки.
А вот в лабораторных анализах данные вернее всего говорят о глистной инвазии. В общем анализе крови повышение содержания эозинофилов (эозинофилия более 5%) вплоть до 60%. Ускорение оседания эритроцитов — СОЭ. Оно может быть повышенно в 3-4 раза.
Кишечная фаза при аскаридозе также не дает четкой картины паразитарной инвазии. Все симптомы указывают на нарушения кишечного пищеварения: боли в животе (чаще в области пупка), снижение аппетита, частое вздутие живота, запоры или диарея.
К общим проявлениям относят признаки интоксикации. Это частые головные боли и головокружения, повышенная утомляемость.
Более характерным становится так называемая аллергизация организма — начало появления аллергических реакций на ранее хорошо переносимые раздражители (пыль, шерсть, сено, травы и т. п.) и пищу. Здесь важно отметить, что чем больше нематод обитает в кишечнике, тем больше вероятность появления аллергий. Но данное обстоятельство не является правилом.
В более тяжелых случаях или более выраженном нарушений иммунитета, человек заболевает такими заболеваниями как бронхиальная астма, рецидивирующая крапивница, отек Квинке.
В некоторых случаях, особенно это касается наличие аскарид у детей, аскаридоз, может давать такие осложнения как непроходимость кишечника.
Для диагностики аскаридоза на данном этапе (фазе) применяется анализ кала, как один из самых простейших и достоверных. Обнаружение яиц паразита говорит о 100% диагнозе.
Внекишечный аскаридоз
Расположение аскарид вне кишечника является не характерным, но в связи с тем, что их личинки разносятся кровью, они могут попасть в различные ткани и органы. Это приводит к так называемым внекишечным формам заболевания.
Наиболее часто, среди данных форм, аскариды встречаются в головном мозге, носовых ходах, глазах. Для каждого из них будет соответствующая клиника заболевания.
- При поражении глаз развивается ретинопатия, характеризующаяся различными нарушениями зрения и геморрагии (кровотечения).
- Поражение головного мозга приводит к появлению очаговой и менингиальной симптоматики. В данном случае, все зависит от степени инвазии и ее глубины.
Лечение аскаридоза
Для лечения аскаридоза (кроме легочной его стадии) применяются различные противоглистные препараты. Прежде всего, это альбендазол, левамизол, мебендазол и пепаразин. После курса этих лекарств, назначаются слабительные. К солевым клизмам прибегают в крайних случаях.
Среди нелекарственных методов, редко используется кислородная клизма — введение газа в полость кишечника. Данный метод является старым и, в некоторых случаях малоэффективным. Кроме того, у него имеется ряд противопоказаний, характерных для широкой группы людей.
Профилактика аскаридоза
Так как аскаридоз является паразитарным заболеванием, для его профилактики применимы все мероприятия для данной группы нозологий.
- активное выявление и лечение зараженных аскаридами.
- проведение санитарно-эпидемиологической обработки удобрений.
- соблюдение элементарных правил личной гигиены.
Определение аскаридоза.
Аскаридоз — гельминтоз, который известен со времен глубокой древности у населения стран с умеренным, теплым и жарким климатом при условии достаточной влажности на протяжении всего года. Аскаридоз является наиболее частым гельминтозом, распространенным по всему земному шару. В странах с сухим климатом встречается редко, отсутствует за Полярным кругом.
Актуальность аскаридоза .
Высокая заболеваемость детей, длительное паразитирование в организме больных, поражение печени и легких, низкая эффективность противогельминтных средств, возможность развития осложнений определяют актуальность.
Характеристика возбудителя аскаридоза .
Возбудителем аскаридоза является круглый гельминт — аскарида человеческая (Ascaris lumbricoides). Взрослые особи имеют веретенообразную форму. Живые или свежевыделившиеся из кишечника аскариды красновато-желтые, после гибели становятся беловатыми. Самец заметно меньше самки, длина его 15-25 смх2-4 мм и задний конец тела загнут крючком. Самка имеет прямое тело длиной 25-40 см и 3-6 мм в толщину; размер яиц 0,05-0,106х0,40-0,05 мм.
Основные проявления эпидермического процесса аскаридоза .
Человек, в кишечнике которого паразитируют самки и самцы аскарид, является источником инвазии. Самка живёт приблизительно 12 месяцев. Зрелость самки наступает приблизительного через 3 месяца после заражения яйцами аскарид и продолжается около 6 месяцев. Самка способна отложить до 245000 яиц в сутки, причем откладываться могут как оплодотворенные, так и неоплодотворенные яйца. Неоплодотворенные яйца не могут вызвать инвазию. Во внешнюю среду с калом выделяются незрелые яйца гельминтов и созревание их происходи! только при благоприятной для развития температуре и влажности. Личинка созревает внутри яйца в течение 9—42 дней при температуре 13-30°С (при оптимальной температуре —24-30°С продолжительность созревания составляет 16-18 дней). Подвижная личинка, сформировавшаяся в яйце, совершает линьку и только после этого приобретает инвазионную способность. При температуре ниже 12°С развития не происходит, но жизнеспособность яиц и начавших развиваться личинок сохраняется, поэтому в некоторых районах процесс созревания может продолжаться не один, а два теплых сезона. Личинки погибают все до окончания развития при 37- 38°С. Заражение происходит при проглатывании зрелых яиц. Эпидемиологическое значение имеют преимущественно овощи, на поверхности которых имеются частички почвы. В настоящее время большую опасность для распространения аскаридоза имеют садовоогородные участки, где порой происходит использование необезвреженных фекалий человека для удобрения почвы.
Патоморфогенез аскаридоза .
Из зрелых яиц, проглоченных человеком, в тонкой кишке выходят личинки, внедряются в стенку кишки и проникают в кровеносные капилляры, затем гематогенно мигрируют в печень и легкие. Помимо кишечника, печени и легких личинок аскарид находили в мозгу, глазу и других органах. Они интенсивно питаются сывороткой крови и эритроцитами. В легких личинка активно выходит в альвеолы и бронхиолы, продвигается по мелким и крупным бронхам с помощью реснитчатого эпителия до ротоглотки, где происходит заглатывание мокроты с личинками. Попадая в кишечник, личинка в течение ТО- 75 суток достигает половой зрелости. Продолжительность жизни взрослой аскариды достигает года, после чего происходит се гибель и вместе с калом она удаляется наружу. Поэтому наличие аскарид на протяжении нескольких лет у одного человека объясняется только повторными заражениями. В период миграции личинок симптоматика заболевания обусловлена в основном аллергическими проявлениями, которые возникают в ответ на сенсибилизацию продуктами обмена и распада личинок.
Тяжелые проявления наступают при проникновении аскарид в печень, поджелудочную железу и другие органы. Взрослые гельминты могут травмировать своими острыми концами стенку кишечника, а скопления аскарид иногда становятся причиной механической непроходимости. Раздражение нервных окончаний, токсическое влияние на них продуктами жизнедеятельности гельминтов порой становится причиной спастической непроходимости кишечника. При миграции аскарид в другие органы создаются условия для присоединения бактериальной инфекции с развитием осложнений гнойного характера (абсцессы, холангиты, панкреатиты и т. п.).
Клиника аскаридоза .
Клинические проявления аскаридоза зависят от локализации паразитов и интенсивности инвазии. В клиническом течении аскаридоза выделяют две фазы — раннюю (миграционную) и позднюю (кишечную). Первая фаза совпадает с периодом миграции личинок, тогда как вторая обусловлена паразитированием гельминтов в кишечнике и возможными осложнениями.
В ранней фазе аскаридоза клинические проявления порой мало выражены, заболевание протекает незаметно. Иногда начало болезни проявляется с выраженного недомогания, появляется сухой кашель или с незначительным количеством слизистой мокроты, реже слизисто-гнойной. Мокрота иногда приобретает оранжевую окраску и имеет небольшую примесь крови. Температура тела обычно нормальная или субфебрильная, редко поднимается до 38°С. В легких отмечаются сухие и влажные хрипы, у ряда больных обнаруживается укорочение перкуторного звука. В отдельных случаях возникает сухой или выпотной плеврит. Физикальные методы не всегда выявляют изменения в легких. Весьма характерны для этой стадии изменения на коже, которые часто проявляются в виде крапивницы и мелких пузырьков с прозрачным содержимым на кистях и стопах.
При рентгенологическом исследовании легких отмечается наличие округлых, овальных, звездчатых, фестончатых, многоугольных инфильтратов. Инфильтраты могут быть как одиночными, так и множественными, обнаруживаются в одной доле или по всему легкому. Контуры их неровные, расплывчатые. При наличии сопутствующего ателектаза они становятся ровными. Эозинофильные инфильтраты выявляются в пределах 2-3 недель; у отдельных больных, исчезнув, они появляются вновь спустя некоторое время, сохраняясь месяцами.
Количество лейкоцитов обычно нормальное и лишь иногда наблюдается лейкоцитоз. Характерна эозинофилия, достигающая у некоторых больных 60- 80%; она появляется, как правило одновременно с инфильтратами в легких, реже — позднее и еще реже — раньше их. СОЭ обычно нормальная, ускорение ее бывает редко.
Поздняя (кишечная) фаза аскаридоза связана с пребыванием гельминтов в кишечнике. Иногда она протекает субклинически. Значительно чаще, однако, больные отмечают повышенную утомляемость, изменение аппетита, обычно понижение его, тошноту, иногда рвоту, боли в животе. Последние возникают в эпигастрии, вокруг пупка или в правой подвздошной области и носят подчас схваткообразный характер. У некоторых больных бывают поносы, у других запоры или чередование поносов с запорами. Описаны дизентериеподобные, холероподобные и напоминающие брюшной тиф симптомы, но при этом следует учесть возможность сочетания аскаридоза с инфекционными заболеваниями.
Со стороны нервной системы при аскаридозе обычны головная боль, головокружение, повышенная умственная утомляемость. Наблюдаются беспокойный сон, ночные страхи, синдром Меньера, истерические припадки, эпилептиформные судороги, менингизм. В некоторых случаях отмечаются изменения со стороны глаз — расширение зрачков, анизокория, светобоязнь, амблиопия. Со стороны сердечно-сосудистой системы у части больных аскаридозом отмечается снижение артериального давления. Иногда пребывание аскарид в кишечнике становится причиной возникновения бронхита и бронхиальной астмы. В анализах крови часто выявляют умеренную гипохромную или нормохромную анемию; эозинофилия встречается не всегда.
Осложнения аскаридоза .
Частое осложнение аскаридоза — непроходимость кишечника, которая обусловлена закрытием просвета кишечника клубком из аскарид или вследствие нарушения нервно-мышечной регуляции тонуса кишки.
Тяжелым осложнением аскаридоза является проникновение гельминтов в желчные протоки и желчный пузырь. В этих случаях возникают сильные боли, которые не снимаются даже наркотическими анальгетиками. На фоне этих приступов часто возникает рвота и со рвотными массами иногда удаляются гельминты. В случаях возникновения холангиогепатита и механической закупорки аскаридами общего желчного протока возникает желтуха. Температура при развитии осложнений может быть септического характера с потрясающими ознобами. В результате присоединения бактериальной инфекции нередко возникают гнойный холангит п множественные абсцессы печени, которые в свою очередь могут осложниться перитонитом, гнойным плевритом, сепсисом, абсцессами в брюшной полости. Проникновение аскарид в протоки поджелудочной железы вызывает острый панкреатит. Попадание их в червеобразный отросток становится причиной аппендицита или аппендикулярных колик без воспалительных проявлений. В некоторых случаях аскариды, поднимаясь по пищеварительному тракту, достигают глотки и уже отсюда заползают в дыхательные шути, что становится причиной смерти от асфиксии. В редких случаях аскариды обнаруживаются в мочеполовых органах, слезно-носовом канале, евстахиевой трубе, среднем ухе, наружном слуховом проходе, околопочечной клетчатке.
Диагностика аскаридоза.
В миграционной стадии основывается на распознавании эозинофильных инфильтратов с учетом клинико- рентгенологических, гематологических и иммунологических данных. Рентгенологическая картина этих инфильтратов может симулировать туберкулез, пневмонию, опухоль легкого. Основное отличие инфильтратов при аскаридозе быстрое их исчезновение без каких-либо остаточных явлений. Подобные инфильтраты могут обнаруживаться и при других гсльм и птозах анкилостомидозах и стронгилоидозе.
Достоверное установление аскаридоза в первой фазе основано на обнаружении личинок аскарид в мокроте и постановке иммунологических реакций, обнаруживающих в крови больных специфические антитела. В кишечной стадии заболевания основным методом является исследование кала на яйца аскарид. Если яйца обнаруживаются в дуоденальном содержимом, то это может свидетельствовать о наличии паразитов в желчных и панкреатических протоках. Однако иногда в кишечнике находятся паразиты мужского пола, тогда обнаружить их можно рентгенологически. При наличии одних самок выделяются неоплодотваренные яйца. Отсутствие обнаружения яиц в кале не снимает диагноз возможного аскаридоза (незрелые самки и закончившие овуляцию). После приема больным контрастной массы аскариды в виде полосок просветления шириною 0,4-0,6 см выявляются на экране.
В последние годы стали применять ИФА — диагностику аскаридоза (специфические IgM, IgG).
Лечение аскаридоза .
Каждый инвазированный аскаридами подлежит лечению. Для дегельминтизации применяются кислород, левамизол, мебендазол, нафтамон, пиперазина адипинат, пирантел памоат, цветки пижмы, цветки полыни.
По клиническим протоколам лечения рекомендуют альбендазол 400 мг внутрь однократно или мебендазол 100 мг внутрь 2 раза/сут в течение 3-х дней, или пирантел 11 мг/кг внутрь (максимальная доза 1 грамм) 1 раз/сут однократно.
Ранее применяли кислород — весьма эффективное средство при аскаридозе. Его вводят утром натощак 2 дня подряд через желудочный или дуоденальный зонд в количестве 1,25-1,5 литра медленно, порциями по 100-200 мл в течение не менее 15 мин. Детям до 11 лет жизни количество газа рассчитыва¬ется, исходя из 100 мл на год жизни. Противопоказан при язвенной болезни, опухолях желудочно-кишечного тракта, воспалительных заболеваниях в брюшной полости, во 2 и 3 триместре беременности.
Левамизол (аскаридол, декарис, кетракс, левотетрамизол, тенизол) является препаратом выбора при аскаридозе. Хорошо переносится, стимулирует иммунную систему. Назначают на ночь в одной дозе 120-150 мг взрослому человеку, детям — 2,5 мг/кг массы тела. При необходимости лечение можно повторить через неделю. Левамизол противопоказан при лейкопении.
Нафтамон (алкопар) применяется для лечения аскаридоза в условиях стационара. Назначают за 2 часа до завтрака по 5 г взрослым и детям старше 10 лет, запивая молоком или фруктовым соком; детям от 3 до 5 лет — по 2-2,5 г, от б до 7 лет — по 3 г, от 8 до 9 лет — по 4 г в течение 3-5 дней. Повторный курс лечения возможен через 2-3 недели. Противопоказан при беременности, заболеваниях печени, выраженных анемиях. У препарата довольно выражены побочные эффекты: тошнота, рвота, головная боль, головокружение, иногда боли в животе.
Пиперазина адипинат (адипалит, антепар, вермикомпрен, гелмиразин) назначается внутрь взрослому — по 1,5-2 г 2 раза в день в течение 2 дней. Может быть назначен в последнем триместре беременности. Возможны побочные эффекты: тошнота, рвота, кишечные колики, понос, аллергические реакции, сонливость. Противопоказан при эпилепсии, болезнях печени, почечной недостаточности.
Цветки пижмы применяют в форме настоя по 1 столовой ложке 3 раза в день. Цветки полыни цитварной назначают по 5 г на прием (с сахаром, медом, вареньем) 3 раза в день за 2 часа до еды. Курс лечения 3 дня. В первый день — легкая диета, на ночь — слабительное, во 2-й и 3-й день дают препарат, после последнего приема дают слабительное на ночь.
Профилактика аскаридоза .
Профилактика аскаридоза включает комплекс лечебно¬профилактических и санитарно-профилактических мероприятий. Лечебно-профилактические мероприятия проводятся после определения уровня пораженности населения и числа микроочагов. В интенсивных очагах (пораженность 30% и выше) дегельминтизации подвергается все население не менее 1-х раз в год, в неинтенсивных — семьи, в которых выявлен хотя бы один больной аскаридозом. При использовании для массовой дегельминтизации пиперазина, активного в отношении не только половозрелых, но и неполовозрелых аскарид, дегельминтезацию целесообразно проводить в начале сезона массового заражения и в конце сезона. Этим самым достигается осовобождение от паразитов лиц, заразившихся в прошлом году, весной данного года и в сезон массового заражения.
Санитарно-профилактические мероприятия включают улучшение санитарного состояния населенных пунктов, охрану внешней среды от загрязнения и обезвреживание нечистот, идущих на удобрение огородов, а также дегельминтизацию почвы. Большую роль играет санитарно-просветительная работа среди населения, направленная на разъяснение путей заражения аскаридозом и мер по предупреждению инфицирования. Личная профилактика сводится к тщательному мытью овощей и фруктов, предохранению их от мух, соблюдению правил личной гигиены.
Структура ответа. Определение, актуальность, характеристика возбудителя, эпидемиология, клиника, осложнения, диагностика, лечение, профилактика.
Аскаридоз – глистное заболевание, этиологическими агентами которого выступают круглые черви – аскариды, паразитирующие в тонкой кишке человека. Ранняя фаза аскаридоза протекает с явлениями общего недомогания, лихорадкой, кожной сыпью, гепатоспленомегалией, лимфаденитом, сухим кашлем. В хронической фазе на первый план выходят симптомы поражения ЖКТ: снижение аппетита, тошнота, диарея, боли в животе. С целью выявления аскаридоза проводятся серологические реакции, исследование кала на яйца гельминтов. Терапия аскаридоза осуществляется противоглистными препаратами (вермокс, декарис, пирантел); дополнительно назначаются антигистаминные, ферментные препараты, пробиотики.
МКБ-10
Общие сведения
Аскаридоз – кишечный нематодоз, вызываемый аскаридой человеческой (Ascaris lumbricoides). Аскаридоз является широко распространенным антропонозным гельминтозом, уступающим по частоте только энтеробиозу. Заболевание встречается повсеместно, в различных климатических широтах (за исключением зон вечной мерзлоты и сухих пустынь); чаще поражает детей (65%). По сведениям ВОЗ, аскаридозом заражено около 1 млрд. людей на планете; среди населения регионов с теплым и влажным климатом аскаридоз выявляется в 30-90% случаев. Ввиду высокой восприимчивости населения и возможного риска развития тяжелых, в т. ч. хирургических осложнений, аскаридоз является предметом повышенного внимания инфекциологии, паразитологии, педиатрии.
Причины аскаридоза
Возбудитель аскаридоза — Ascaris lumbricoides (аскарида) принадлежит к классу круглых червей. Аскариды имеют вытянутую веретенообразную форму, желтовато-розовый цвет. Гельминты являются раздельнополыми: длина самки аскариды составляет 20-40 см, самца — 15-25 см, ширина – 4-6 мм. Ежедневно половозрелая особь аскариды способна откладывать более 200 тыс. неинвазионных яиц, которые выделяются с фекалиями во внешнюю среду. В почве, при благоприятных температурно-влажностных условиях в течение 12-14 дней происходит созревание яиц до инвазионной стадии, т. е. до состояния, способного вызывать заболевание.
Потенциальным источником распространения аскаридоза выступает зараженный гельминтами человек. Инвазия реализуется посредством фекально-орального механизма, алиментарным путем. Это означает, что выделенные во внешнюю среду и созревшие в почве до инвазионной стадии яйца попадают в организм нового хозяина через рот с немытых рук, предметов обихода, а также при употреблении в пищу загрязненных овощей, ягод, фруктов и т. д. при несоблюдении мер гигиены. Заболеваемости аскаридозом в большей мере подвержены дети, рабочие очистных сооружений, сельскохозяйственные работники, садоводы и др. Сезон повышенной опасности заражения длится с весны по осень.
Дальнейшее развитие аскарид происходит в организме хозяина, где проходят ранняя (миграционная) и поздняя (кишечная) фазы аскаридоза. В ЖКТ человека, а именно в тонкой кишке, из яиц выходят личинки аскариды, которые проникают в венозные сосуды, с током крови попадают в воротную вену и далее по кровеносным сосудам — в капиллярную сеть легких. Там личинки проникают в альвеолы, поднимаются в просвет бронхов, трахеи и глотки. Вместе с бронхиальным секретом и слюной они заглатываются и вновь возвращаются в тонкую кишку, где из них развиваются половозрелые особи. Полный цикл превращения инвазионного яйца в половозрелую аскариду составляет около 2,5-3 месяцев.
В раннюю фазу аскаридоза происходит сенсибилизация организма продуктами метаболизма личинок, а также механическая травматизация тканей кишечника, печени, сосудов, бронхолегочной системы. В позднюю фазу аскаридоза в большей степени выражено токсическое влияние на организм продуктов жизнедеятельности и распада взрослых аскарид, травмы тонкой кишки, нарушение всасывания питательных веществ, подавление иммунитета.
Симптомы аскаридоза
Клиническая симптоматика аскаридоза разнообразна и зависит от массивности инвазии, возраста больных, фазы заболевания. В фазу миграции личинок может развиваться аллергический, инфекционно-токсический, печеночный и легочный синдром. Этот этап аскаридоза у детей нередко протекает бессимптомно.
Аллергические проявления характеризуются везикулярными или уртикарными высыпаниями на туловище, кистях или стопах, сильным зудом. Инфекционно-токсический синдром при аскаридозе сопровождается фебрильной лихорадкой, слабостью, недомоганием, потливостью, лимфаденопатией. Признаками печеночного синдрома могут служить увеличение печени и селезенки, умеренная болезненность в правом подреберье, повышение активности печеночных ферментов и пр. Практически во всех случаях в миграционную фазу аскаридоза развивается бронхолегочной синдром (эозинофильная пневмония, синдром Лёффлера). Он протекает с сухим или влажным кашлем, одышкой, болями в груди, хрипами в легких. Нередко на этом фоне развивается экссудативный плеврит. При исследовании плеврального выпота, полученного в результате торакоцентеза, в большом количестве обнаруживаются эозинофилы, редко – личинки аскарид.
Поздняя (кишечная) фаза аскаридоза характеризуется развитием 2-х клинических синдромов — гастроинтестинального и астеновегетативного. Со стороны ЖКТ в этот период отмечается снижение аппетита, тошнота по утрам, рвота, боли в животе, диарея, запоры, вздутие живота, потеря веса. Токсическое воздействие на нервную систему может проявляться слабостью, нарушением сна, снижением памяти (у детей – задержкой психомоторного развития), явлениями менингизма, эпилептиформными судорогами.
Массивная глистная инвазия способна вызывать осложнения: так, при миграции аскарид в желчные и панкреатические протоки может развиваться механическая желтуха, гнойный холангит, множественные абсцессы печени, острый панкреатит, аппендицит, перитонит. Возможно развитие механической обструкции дыхательных путей гельминтами, приводящей к острой аскаридозной асфиксии. У детей аскаридоз чаще всего отягощается кишечной непроходимостью. Аскаридоз у беременных способствует тяжелому токсикозу, задержке развития плода, осложненному течению родов и послеродового периода.
Диагностика
В хроническую фазу основным методом диагностики аскаридоза служит исследование кала на яйца гельминтов. Однако таким способом выявить инвазию можно только спустя 3 месяца после заражения. Учитывая вероятность паразитирования только самцов, а также неполовозрелых самок или старых особей, яйца гельминтов в фекалиях могут отсутствовать: в этом случае проводится диагностическая дегельминтизация. При рентгенографии тонкого кишечника на фоне контрастной массы можно увидеть аскарид в виде светлых лент или клубков, расположенных в просвете кишки.
В ранней фазе аскаридоз необходимо отличать от пневмонии, туберкулеза, рака легких. В хроническую фазу дифференциальная диагностика, в первую очередь, требуется с дуоденитом, энтеритом, холециститом и другими заболеваниями пищеварительной системы.
Лечение аскаридоза
Лечение аскаридоза проводится под контролем инфекциониста (детского инфекциониста или педиатра) и складывается из организационно-режимных мероприятий, дегельминтизации, диспансерного наблюдения и профилактики повторного заражения. Общие рекомендации касаются, главным образом, соблюдения диеты с повышенным содержанием витаминов, животных белков и ограничением углеводов.
Медикаментозная терапия проводится противогельминтными препаратами, из которых в раннюю фазу аскаридоза назначаются тиабендзол или мебендазол, а в кишечную – левомизол, пирантел и др. Для снижения аллергизации одновременно с противогельминтными препаратами рекомендуется короткий курс приема антигистаминных средств. С целью нормализации пищеварительной функции используются ферменты (панкреатин). Коррекция микрофлоры кишечника проводится с помощью пробиотических препаратов. Контроль эффективности противогельминтной терапии осуществляется через 2 недели и 1 месяц после курса лечения трехкратно. За переболевшим аскаридозом пациентом устанавливается диспансерное наблюдение сроком на 3 года с ежегодной копроовоскопией.
Прогноз и профилактика
Профилактика аскаридоза должна быть направлена на своевременное выявление и дегельминтизацию больных, гигиеническое воспитание детей, повышение уровня санитарной культуры среди взрослых. Избежать заражения аскаридозом поможет соблюдение элементарных норм гигиены: мытье рук перед едой, после улицы, посещения туалета; тщательное промывание под проточной водой ягод, фруктов, овощей перед подачей на стол. При неосложненном течении аскаридоза прогноз благоприятный. В случае отсутствия повторной инвазии примерно через год происходит самоизлечение вследствие естественной гибели аскарид. Осложнения развиваются сравнительно редко, главным образом, у детей и у ослабленных пациентов.
Читайте также:

